Peripheral Blood Cells

Peripheral Blood Cells

The human circulatory system is a complex network that relies on various components to maintain homeostasis, fight off infections, and deliver essential nutrients throughout the body. At the heart of this physiological machinery are peripheral blood cells. These cells, which circulate freely within the blood vessels outside of the bone marrow, serve as the frontline defenders and transporters of the human body. Understanding the composition, function, and clinical significance of these cells is crucial for medical professionals, researchers, and anyone interested in hematology and overall health.

What Are Peripheral Blood Cells?

Peripheral blood cells refer to all the cellular components found in the circulating blood, as opposed to those sequestered within hematopoietic tissues like the bone marrow or lymph nodes. When a blood sample is drawn, such as during a routine complete blood count (CBC), it is these cells that are analyzed to provide a snapshot of an individual's health status. They are broadly categorized into three primary types: red blood cells (erythrocytes), white blood cells (leukocytes), and platelets (thrombocytes).

Each type of cell plays a specialized role, and any deviation in their concentration, shape, or functionality can indicate underlying health conditions ranging from nutritional deficiencies to severe systemic infections or cancers.

The Three Pillars of Circulating Blood

The classification of peripheral blood cells is fundamental to understanding how the body maintains its internal environment. Below is a breakdown of the primary cell types found in peripheral circulation:

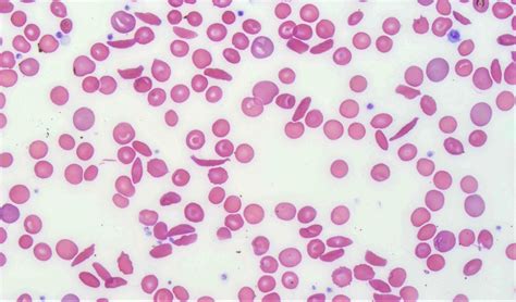
  • Red Blood Cells (Erythrocytes): These are the most abundant cells in the blood. Their primary function is to transport oxygen from the lungs to body tissues and carry carbon dioxide back to the lungs for exhalation. They contain hemoglobin, an iron-rich protein that gives them their characteristic red color.
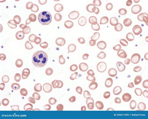
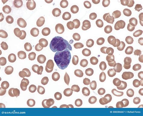
  • White Blood Cells (Leukocytes): These are the primary components of the immune system. They protect the body against infectious diseases and foreign invaders. There are several subtypes of white blood cells, including neutrophils, lymphocytes, monocytes, eosinophils, and basophils, each with distinct immune functions.
  • Platelets (Thrombocytes): Though technically cell fragments rather than whole cells, platelets are essential for the blood clotting process (hemostasis). When a blood vessel is injured, platelets aggregate at the site to form a plug, preventing excessive blood loss.

💡 Note: The ratio of these cell types in a healthy individual remains relatively constant, but it can fluctuate significantly in response to physiological stress, illness, or medical intervention.

Clinical Significance and Diagnostic Value

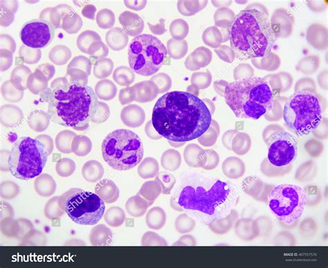
The analysis of peripheral blood cells is one of the most common and informative diagnostic procedures in modern medicine. Through a peripheral blood smear, clinicians can visually inspect the morphology of these cells. This allows for the identification of anomalies that automated analyzers might miss.

For instance, observing the shape and size of red blood cells can help diagnose different types of anemia. Similarly, an elevated count of specific white blood cells can point toward a bacterial versus a viral infection. In more severe cases, the presence of immature or malignant cells in the peripheral circulation can be a hallmark of leukemia or other hematological malignancies.

Cell Type Primary Function Typical Clinical Abnormality
Erythrocytes Oxygen Transport Anemia (Low count)
Leukocytes Immune Defense Leukocytosis (High count - infection)
Thrombocytes Blood Clotting Thrombocytopenia (Low count - bleeding risk)

The Role of Peripheral Blood Mononuclear Cells (PBMCs)

In research and advanced therapeutic settings, a specific subset known as peripheral blood mononuclear cells (PBMCs) receives significant attention. PBMCs consist primarily of lymphocytes (T cells, B cells, and NK cells) and monocytes. These cells are essentially the white blood cells that have a single, round nucleus. Because they are vital for immune responses, they are frequently isolated and studied in immunology, vaccine development, and immunotherapy research.

The ability to isolate these cells from peripheral blood has revolutionized how we develop treatments for autoimmune diseases and cancer. By manipulating these cells ex vivo (outside the body), scientists can engineer therapies like CAR-T cell therapy, which re-educates the patient’s own immune cells to target and destroy cancer cells more effectively.

💡 Note: Proper handling and processing of peripheral blood samples are critical, as these cells are sensitive to temperature changes and can degrade if not analyzed or preserved within a specific timeframe.

Factors Influencing Peripheral Blood Composition

Several factors can cause variations in peripheral blood cells. Some are benign, while others warrant medical investigation. Age, gender, pregnancy, and geographic altitude all play a role in baseline blood cell counts. For example, individuals living at high altitudes often have higher red blood cell counts to compensate for lower oxygen levels in the air. Furthermore, lifestyle choices, including diet, exercise, and smoking, can subtly or significantly alter the blood profile. Inflammation and chronic stress are also known to trigger changes in the white blood cell population, highlighting the intimate connection between lifestyle and physiological health.

Future Perspectives in Hematology

As technology advances, our ability to analyze peripheral blood cells at the single-cell level is improving at an unprecedented rate. Technologies such as single-cell RNA sequencing allow researchers to look beyond the physical characteristics of the cells and understand their gene expression profiles. This provides a granular view of how blood cells function in both health and disease. In the future, we may see more personalized medical approaches based on the unique genetic signatures of an individual’s peripheral blood, potentially leading to earlier diagnosis of diseases and more tailored treatment plans.

The intricate balance of these cellular components is a testament to the sophistication of the human body. From the oxygen-delivering red blood cells to the specialized immune-fighting leukocytes and the essential clotting platelets, each component serves a purpose that is vital for survival. The study of these cells continues to be a cornerstone of medical science, offering essential insights that guide diagnostics, treatment, and our broader understanding of human physiology. By maintaining awareness of how these cells function and what their counts signify, we gain a better perspective on our own health and the importance of regular medical monitoring to catch potential issues before they escalate.

Related Terms:

  • plasma cell peripheral blood smear
  • plasma cell on peripheral smear
  • plasma cell myeloma pathology outlines
  • plasma cells on blood smear
  • plasma cell neoplasm pathology outlines
  • cd19 positive plasma cells