Pd Catheter Placement

Pd Catheter Placement

For patients diagnosed with end-stage renal disease (ESRD), selecting a dialysis modality is a life-altering decision. Peritoneal dialysis (PD) offers a flexible, home-based alternative to traditional hemodialysis, allowing individuals to maintain a greater sense of autonomy. A critical prerequisite for beginning this treatment journey is Pd Catheter Placement. This surgical procedure serves as the essential gateway for the dialysis fluid to enter and exit the abdominal cavity, acting as the lifeline for long-term renal replacement therapy. Understanding the intricacies of this placement, from pre-operative preparation to post-operative recovery, is vital for ensuring long-term success and minimizing potential complications.

Understanding the Role of PD Catheter Placement

The peritoneal dialysis catheter is a flexible, soft, silicone tube that is surgically implanted into the peritoneal cavity, located in the abdomen. Unlike hemodialysis, which requires permanent vascular access, PD relies on the body’s own peritoneal membrane to filter waste products from the blood. The Pd Catheter Placement is designed to remain in the body for the duration of the patient’s treatment, making the quality of the surgical site and the integrity of the catheter critical factors in preventing infection and dysfunction.

The primary goals of a successful placement include:

  • Providing reliable, long-term access to the peritoneal space.
  • Minimizing the risk of exit-site and tunnel infections.
  • Ensuring the catheter remains in a position that facilitates optimal fluid drainage.
  • Reducing the likelihood of mechanical complications, such as catheter migration or blockage.

Surgical Techniques and Preparation

There are several methods used for Pd Catheter Placement, each chosen based on the patient's anatomy, previous abdominal surgeries, and the surgeon's preference. Common techniques include open surgical placement, laparoscopic-assisted placement, or percutaneous methods performed under fluoroscopic guidance. Regardless of the surgical approach, preparation is a fundamental component of a successful outcome.

Patients typically undergo a comprehensive physical assessment, which may include imaging studies to map out the abdominal wall and pelvic region. Surgeons often identify the ideal "exit site"—the area where the catheter emerges from the skin—to ensure it does not interfere with clothing, belts, or skin folds, which are prone to irritation and bacterial buildup.

Method Primary Benefit Ideal Candidate
Laparoscopic Visual confirmation of placement Patients with prior abdominal surgeries
Open Surgical Standardized procedure General uncomplicated cases
Percutaneous Minimally invasive Patients requiring rapid access

💡 Note: Pre-operative bowel preparation is often required to ensure the abdomen is clear, reducing the risk of accidental puncture or contamination during the procedure.

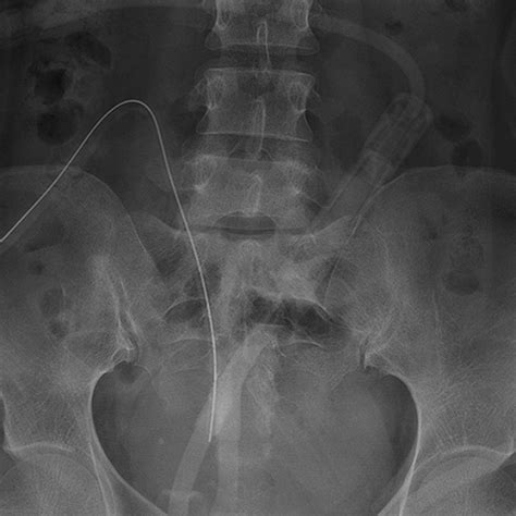
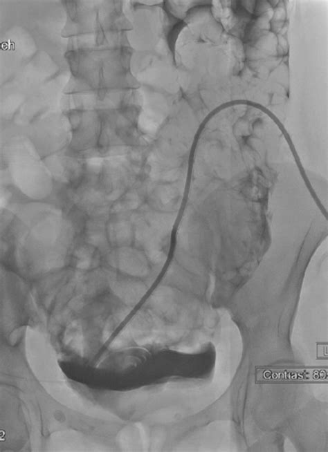
The Procedure: What to Expect

On the day of the Pd Catheter Placement, the procedure is performed in a sterile operating room environment. After anesthesia is administered—which may be local, regional, or general depending on the surgical approach—the surgeon creates a small incision. The catheter is carefully threaded into the peritoneal cavity, typically targeting the Pouch of Douglas, which is the lowest point in the abdominal cavity to ensure gravity-assisted drainage.

Once positioned, the catheter is anchored with internal cuffs. These cuffs are critical because they encourage tissue ingrowth, which effectively seals the tract and prevents bacteria from traveling along the outside of the tube into the peritoneal space. The tube is then tunneled subcutaneously before emerging at the exit site. This subcutaneous tunnel acts as an additional barrier against infection.

Post-Operative Care and Healing

Recovery following the Pd Catheter Placement is a staged process. Immediately following surgery, the focus is on wound healing and preventing tension on the catheter. Patients are usually advised to avoid strenuous activity, heavy lifting, or any movements that may strain the abdominal muscles for several weeks. Keeping the surgical site clean and dry is non-negotiable.

Crucially, there is often a "break-in" period. While some programs initiate low-volume dialysis early, many surgeons recommend waiting 10 to 14 days before utilizing the catheter for full-strength exchanges. This allows the tissues to adequately grow into the Dacron cuffs, creating a permanent, leak-proof seal around the tube.

💡 Note: Always monitor the exit site for signs of infection, such as increased redness, swelling, drainage, or persistent pain, and report these to your medical team immediately.

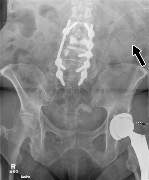
Troubleshooting Common Complications

While most procedures are highly successful, patients should remain vigilant regarding potential issues. One common complication is catheter migration, where the tip of the tube moves out of the optimal position, causing drainage issues. Another concern is "one-way obstruction," where fluid flows in but fails to flow out, often due to omental wrapping—a condition where internal tissues wrap around the catheter tip.

Maintenance strategies to prevent complications include:

  • Regular flushing of the catheter as instructed by your PD nurse.
  • Maintaining a strict sterile technique during all dialysis exchanges.
  • Securing the catheter with a stabilization device to prevent tugging or accidental trauma.
  • Managing constipation, which can affect the position and flow of the catheter.

Long-Term Success Factors

The success of Pd Catheter Placement is not merely defined by the surgery itself but by the ongoing care provided in the months and years that follow. A multidisciplinary team, consisting of nephrologists, PD nurses, and surgeons, works closely with the patient to ensure the site remains healthy. By adhering to standardized exit-site care protocols—which often involve using specific antiseptic solutions and dressings—patients can significantly extend the lifespan of their access device.

Furthermore, patient education plays a pivotal role. Those who understand the "how and why" of their PD catheter are significantly more likely to identify early warning signs of infection or malfunction. When patients take an active role in their care, the catheter becomes a stable, reliable tool that facilitates a high quality of life, allowing them to travel, work, and engage in daily activities while managing their renal health effectively.

In summary, the journey toward successful peritoneal dialysis begins with the careful planning and execution of the catheter placement procedure. By selecting the appropriate surgical technique, following strict post-operative protocols, and maintaining a disciplined approach to daily hygiene, patients can establish a durable access point for their treatment. While the prospect of surgery may feel daunting, understanding the process and the support structures available ensures that individuals can confidently transition into home-based dialysis therapy, ultimately empowering them to manage their health with greater flexibility and long-term success.

Related Terms:

  • pd catheter replacement
  • dialysis catheter placement diagram
  • peritoneal dialysis catheter used for
  • where is peritoneal catheter placed
  • peritoneal dialysis catheter placement surgery
  • where does pd catheter go