Papilloma Tumor Breast

Papilloma Tumor Breast

Discovering a lump or experiencing unusual symptoms in the breast can be an anxiety-inducing experience for anyone. Among the various non-cancerous conditions that can affect breast tissue, a papilloma tumor breast—often referred to as an intraductal papilloma—is a condition that many women encounter. While the word "tumor" often immediately triggers concerns about malignancy, it is crucial to understand that an intraductal papilloma is typically a benign, wart-like growth that forms within the milk ducts of the breast. Understanding what this condition entails, how it presents, and the steps for diagnosis and management is essential for peace of mind and maintaining breast health.

What is a Papilloma Tumor Breast?

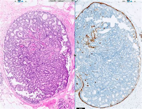
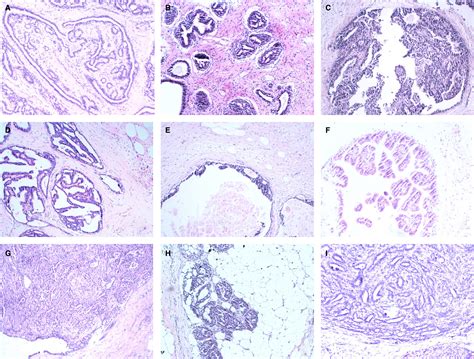
An intraductal papilloma is a small, benign growth that develops inside a milk duct. It is composed of glandular tissue, fibrous tissue, and blood vessels. These growths can occur anywhere along the ductal system, though they are frequently found near the nipple. They are most commonly diagnosed in women between the ages of 35 and 55.

While these growths are non-cancerous, they are often brought to a woman's attention because they can cause nipple discharge or sometimes be felt as a small lump behind or near the nipple. Because the symptoms of a papilloma tumor breast can sometimes overlap with those of breast cancer, thorough investigation by a healthcare professional is always necessary to ensure an accurate diagnosis.

Symptoms and Clinical Presentation

The clinical presentation of an intraductal papilloma can vary depending on its size and location. Some women may have no symptoms at all, and the growth is only discovered during a routine screening mammogram or ultrasound. When symptoms do occur, they typically include:

  • Nipple Discharge: This is the most common symptom. The discharge may be clear, milky, yellow, or bloody. It typically comes from a single duct.
  • Palpable Lump: In some cases, a small lump may be felt near or directly beneath the nipple. It is usually firm and can sometimes feel movable.
  • Breast Pain: While less common, some women may experience localized discomfort or pain in the affected area.
  • Inversion or Retraction: Very rarely, if the papilloma is large or causing ductal contraction, it might cause the nipple to turn inward.

⚠️ Note: While nipple discharge is a common symptom of a benign papilloma, it is also a potential sign of breast cancer. Always consult a doctor if you notice any spontaneous nipple discharge, especially if it is bloody or occurs from only one breast.

Diagnosing Intraductal Papilloma

Because clinical examination alone cannot definitively distinguish a benign papilloma from other breast conditions, including breast cancer, imaging and diagnostic procedures are required. A breast specialist will typically follow a systematic approach to diagnosis:

Diagnostic Tool Purpose
Clinical Exam Physical assessment of the breast to check for lumps and document discharge characteristics.
Mammography Screening or diagnostic imaging to visualize the internal structure of the breast.
Breast Ultrasound High-resolution imaging used to evaluate lumps and look inside the ducts for abnormal growth.
Ductogram (Galactogram) A specialized test where contrast dye is injected into the affected duct to visualize the blockage or growth.
Core Needle Biopsy Removing a small tissue sample for laboratory analysis to confirm the diagnosis definitively.

Treatment Options and Management

Once a diagnosis of a papilloma tumor breast has been confirmed through biopsy, the primary goal of treatment is to remove the growth, both to alleviate symptoms and to confirm that the tissue does not contain any hidden areas of atypical cells or cancer. The most common approach is surgical excision.

  • Microdochectomy: This procedure involves the surgical removal of the specific milk duct containing the papilloma. This is typically done if the papilloma is causing discharge.
  • Excisional Biopsy (Lumpectomy): If the papilloma is palpable as a lump, the surgeon will remove the growth along with a small margin of healthy tissue surrounding it.

Following surgical removal, the tissue is sent to a pathologist for microscopic examination. In the vast majority of cases, these tumors are completely benign. However, if the pathology report indicates the presence of atypical hyperplasia (abnormal, but not cancerous cells) within the papilloma, the doctor may recommend closer monitoring or further treatment, as this may slightly increase the long-term risk of breast cancer.

💡 Note: Surgical excision is generally a straightforward outpatient procedure, often resulting in minimal scarring and a quick recovery time.

Breast Health and Follow-Up

After treatment for a papilloma tumor breast, it is essential to maintain a regular breast health maintenance schedule. While a benign papilloma does not typically recur after complete surgical removal, women who have had this diagnosis should continue to be diligent about their breast health.

This includes adherence to recommended screening guidelines, which for many women involves annual mammograms. Discussing your personal and family history of breast health with your healthcare provider will help establish the most appropriate screening schedule for your specific risk profile. Being familiar with your own breasts—often referred to as breast self-awareness—is also a proactive step that allows you to recognize changes quickly and report them to your physician immediately.

Navigating the diagnostic process for any breast abnormality requires clear communication with your medical team and, when necessary, seeking a second opinion. Remember that most breast lumps, including papillomas, are non-cancerous, and modern diagnostic techniques are highly effective at providing accurate answers. By understanding what a papilloma tumor of the breast is and proactively managing your breast health through regular check-ups and screenings, you can effectively address this condition and ensure continued wellness. Staying informed and alert to changes in your body remains the most powerful tool in maintaining long-term health and addressing any concerns as they arise.

Related Terms:

  • what causes breast papilloma
  • can breast papillomas become cancerous
  • benign breast papilloma treatment
  • papilloma breast cancer symptoms
  • breast papilloma treatment
  • intraductal papilloma pictures