Papillary Serous Carcinoma

Papillary Serous Carcinoma

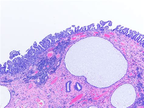
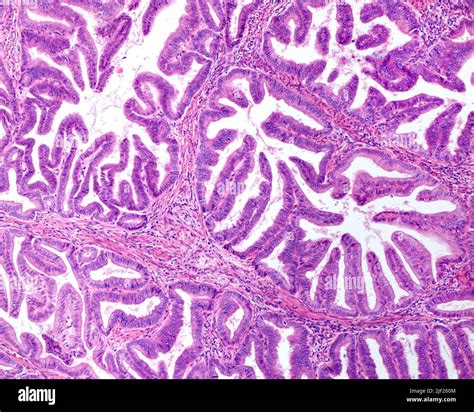
Receiving a diagnosis of Papillary Serous Carcinoma can be an overwhelming and life-altering experience. As a subtype of epithelial cancer that most commonly originates in the ovaries, fallopian tubes, or the peritoneum, it is characterized by its distinct cellular structure under a microscope, where the cells form small, finger-like projections known as papillae. Understanding the nature of this malignancy is the first step toward navigating treatment options, communicating with your medical team, and advocating for your own health journey. By breaking down the complexities of this condition, patients and caregivers can better grasp the diagnostic processes, treatment pathways, and the ongoing support structures available.

Understanding the Nature of Papillary Serous Carcinoma

Medical concept

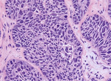
At its core, Papillary Serous Carcinoma is considered an aggressive form of cancer because it often presents at a later stage. Because the symptoms are frequently subtle—or even non-existent—in the early phases, the disease often spreads throughout the abdominal cavity before it is detected. The term "serous" refers to the fluid-producing cells from which the tumor arises, and "papillary" describes the architectural pattern of the cells.

While often associated with ovarian cancer, it is essential to distinguish between localized disease and primary peritoneal carcinoma. In many modern clinical settings, these are treated with similar protocols because the underlying biological behavior of the malignant cells is remarkably similar. Key characteristics of this cancer include:

  • Rapid Cell Proliferation: The cells divide and grow at an accelerated rate compared to healthy tissue.
  • Peritoneal Spread: It has a high affinity for spreading across the lining of the abdomen (the peritoneum).
  • High-Grade Classification: Most cases are categorized as high-grade, meaning the cells look significantly different from normal cells.

Diagnostic Approaches and Staging

Diagnosing Papillary Serous Carcinoma usually involves a multidisciplinary approach. Because the symptoms, such as bloating, pelvic pain, or changes in bowel habits, can mimic less serious conditions, medical professionals rely on a combination of imaging and diagnostic procedures.

Diagnostic Tool Purpose
Transvaginal Ultrasound Initial visualization of ovaries and pelvis.
CA-125 Blood Test Measures a protein often elevated in these cancers.
CT/PET Scans Used for staging and identifying metastasis.
Biopsy Definitive diagnosis via tissue analysis.

⚠️ Note: While the CA-125 test is a valuable monitoring tool, it is not diagnostic on its own, as other inflammatory conditions can also cause elevated levels.

Standard Treatment Modalities

Treatment for Papillary Serous Carcinoma is typically aggressive, aiming to remove as much of the tumor as possible. The most common standard of care involves a combination of surgery and chemotherapy. The surgical goal is usually "optimal debulking," which means the surgeon attempts to remove all visible tumors throughout the abdomen.

Surgical Intervention

The surgery, often a total hysterectomy with bilateral salpingo-oophorectomy (removal of the uterus, tubes, and ovaries), is frequently paired with an omentectomy and the removal of suspicious lymph nodes. The goal is to reduce the “tumor burden” so that subsequent therapies can be more effective.

Systemic Chemotherapy

Following surgery, patients generally undergo chemotherapy. The most common regimen involves platinum-based agents, such as carboplatin, often combined with paclitaxel. These drugs work by attacking rapidly dividing cells throughout the body.

Targeted and Maintenance Therapies

Recent advancements have introduced targeted therapies that improve outcomes for many patients. PARP inhibitors, for example, have become a pillar of maintenance therapy for those who have responded to initial chemotherapy. These drugs interfere with the cancer cells’ ability to repair their own DNA, effectively forcing them to die.

💡 Note: Always discuss genetic testing, such as BRCA1 and BRCA2 mutation status, with your oncologist, as these results significantly influence the choice of maintenance therapy.

Managing Life During and After Treatment

Living with Papillary Serous Carcinoma requires a holistic approach to well-being. Physical recovery is only one component; emotional, nutritional, and psychological health are equally vital. Patients often report fatigue, nausea, and emotional strain as the most challenging side effects. Implementing a support system early can mitigate these stresses.

  • Nutrition: Working with a specialized oncology dietitian to manage weight and energy levels.
  • Physical Activity: Gentle movement, such as walking or yoga, as approved by your care team, to combat cancer-related fatigue.
  • Psychological Support: Joining support groups or seeking counseling to navigate the complex emotions associated with a chronic or life-threatening diagnosis.
  • Integrative Therapies: Exploring options like acupuncture or mindfulness meditation to help manage stress and certain treatment side effects.

Future Directions in Research

The medical community is constantly evolving in its fight against this malignancy. Clinical trials are currently investigating the efficacy of immunotherapy, which harnesses the body's own immune system to identify and destroy cancer cells. Additionally, researchers are exploring how to better identify Papillary Serous Carcinoma in its nascent stages through liquid biopsies, which detect trace amounts of tumor DNA in the bloodstream before a physical tumor can be seen on a scan.

While the path forward after a diagnosis of Papillary Serous Carcinoma is undoubtedly rigorous, the rapid pace of medical innovation provides significant reasons for optimism. By integrating traditional surgical and chemotherapeutic approaches with modern maintenance therapies and personalized medicine, oncologists are seeing improved quality of life and better progression-free intervals for many patients. Empowerment through information, diligent coordination with your healthcare team, and a focus on supportive care form the foundation of a balanced strategy against this illness. Maintaining consistent surveillance and open communication with specialists remains the most effective way to navigate this journey, ensuring that any changes in status are addressed with the most current and evidence-based interventions available today.

Related Terms:

  • papillary serous adenocarcinoma
  • metastatic papillary serous carcinoma
  • papillary serous carcinoma of peritoneum
  • papillary serous carcinoma pathology outlines
  • papillary serous carcinoma ovary
  • papillary serous carcinoma icd 10