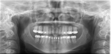
Panoramic Xray Teeth

Panoramic Xray Teeth

When you visit a dentist for a comprehensive oral health assessment, you might be asked to undergo a specific type of imaging known as a panoramic Xray teeth scan. Unlike standard bitewing X-rays that focus on a few teeth at a time, this diagnostic tool captures a wide-angle view of your entire mouth, including the upper and lower jaws, the temporomandibular joints (TMJ), and the surrounding bone structures. Understanding what this procedure entails can help alleviate any anxiety you might feel before your dental appointment, as it is a safe, painless, and highly efficient way for your dentist to gain a complete picture of your oral health.

Why Dentists Recommend a Panoramic Xray Teeth Scan

The primary advantage of a panoramic X-ray is the sheer volume of information it provides in a single image. While localized dental X-rays are excellent for detecting small cavities between teeth, they often miss larger issues hiding deep within the jaw or under the gumline. A panoramic Xray teeth image serves as a baseline for your dental history and is often the first step in creating a long-term treatment plan.

Dentists rely on this imaging for several critical reasons:

  • Orthodontic Planning: It allows orthodontists to see the position of all teeth, including those that have not yet erupted, such as wisdom teeth.
  • Jaw Health: It is instrumental in identifying issues with the TMJ, which can cause chronic headaches and jaw pain.
  • Disease Detection: The scan helps visualize cysts, tumors, abscesses, or infections within the jawbone that might be asymptomatic.
  • Implant Planning: Surgeons use the detailed view to assess bone density and height before placing dental implants.
  • Trauma Assessment: If a patient has suffered a facial injury, the panoramic view helps identify fractures in the mandible or maxilla.

💡 Note: A panoramic X-ray does not provide the same level of detail as a periapical X-ray regarding individual cavities between teeth, which is why dentists often combine both types of imaging for a complete diagnosis.

What to Expect During the Procedure

Many patients are surprised by how different the process is compared to traditional dental X-rays. Because the panoramic Xray teeth machine is designed to rotate around your head rather than placing a film inside your mouth, there is no discomfort associated with bulky plastic sensors or gagging sensations.

The process generally follows these simple steps:

  1. You will be asked to remove any metallic objects, such as earrings, necklaces, or eyeglasses, as these can create "ghost images" or artifacts on the X-ray.
  2. You will stand in front of the machine and place your chin on a small plastic rest.
  3. The dentist or technician will adjust the height to ensure your head is perfectly positioned.
  4. You will be asked to bite down gently on a small disposable tab, which helps align your teeth correctly.
  5. The machine’s rotating arm will glide smoothly around your head for approximately 15 to 20 seconds. During this time, it is vital to remain perfectly still to ensure the image remains crisp and clear.

Comparison of Dental Imaging Techniques

It is helpful to understand how panoramic imaging compares to other common diagnostic tools. The following table illustrates the key differences to help you understand why your dentist might order a specific scan.

Feature Bitewing X-ray Panoramic X-ray
Scope 4-8 teeth Entire mouth
Primary Use Cavities between teeth Jaw, TMJ, and impacted teeth
Patient Experience Sensor inside mouth Outside the mouth
Radiation Level Very Low Low

⚠️ Note: If you are pregnant or suspect you might be, always inform your dental office before any X-ray procedure. While the radiation exposure from a panoramic X-ray is minimal, precautions are always recommended.

Interpreting Your Results

Once the image is captured, it is processed digitally and appears almost instantly on the dentist's monitor. The panoramic Xray teeth view allows your dentist to zoom in and out, highlighting specific areas of interest. You might see lines or shadows that seem confusing, but your dentist will walk you through the image, pointing out the health of your bone structure and the orientation of your tooth roots. This visual aid is an excellent educational tool, as it allows you to see exactly what the dentist sees, making it easier to understand the necessity of recommended treatments.

For example, if you have wisdom teeth, the dentist will point out their proximity to the inferior alveolar nerve—a crucial piece of information for a safe extraction. If you are experiencing jaw popping or clicking, the dentist will show you the TMJ condyles to ensure they are moving smoothly within the joint socket.

Safety and Radiation Exposure

One of the most common concerns regarding dental imaging is radiation. It is important to know that modern digital panoramic Xray teeth machines are designed to operate with highly controlled, low-dose radiation. The amount of radiation exposure from a single panoramic scan is roughly equivalent to a few days of natural background radiation from the environment. Because these images provide such comprehensive data, the diagnostic benefit far outweighs the negligible risk associated with the exposure.

Most modern offices have transitioned to digital sensors, which further reduce the required exposure time compared to older film-based methods. This commitment to technology ensures that your dental care remains as safe as it is thorough.

The panoramic X-ray stands as a cornerstone of modern dentistry, providing a window into the health of your entire oral cavity that other forms of imaging simply cannot match. By offering a detailed look at the jaw, teeth, and supportive structures, it enables early intervention for potential problems, saving you time and discomfort in the long run. Whether you are prepping for orthodontic work, checking for wisdom teeth, or simply maintaining your routine oral health, this scan is a safe and vital component of your dental wellness journey. With the procedure being quick, non-invasive, and highly informative, there is no need to feel apprehensive. Embracing this diagnostic tool allows you to stay proactive, ensuring that any dental concerns are identified early so you can continue to smile with confidence and maintain a healthy, functional bite for years to come.

Related Terms:

  • panoramic x ray cost
  • panoramic x ray teeth cost
  • normal panoramic x ray
  • dental panoramic x ray cost
  • panoramic x ray images
  • purpose of panoramic x ray