Ovarian Torsion Ultrasound

Ovarian Torsion Ultrasound

Sudden, sharp pelvic pain is a symptom that should never be ignored, particularly when it presents rapidly. One of the most critical gynecological emergencies that physicians look for when a patient presents with these symptoms is ovarian torsion. This condition occurs when an ovary twists around the ligaments that hold it in place, cutting off its blood supply. Because this is a medical emergency that can lead to permanent damage or loss of the ovary, rapid diagnosis is essential. The primary diagnostic tool utilized in this scenario is an ovarian torsion ultrasound. This imaging modality is the gold standard for evaluating pelvic pain, allowing doctors to visualize the structures within the pelvis and assess the vital blood flow required to save the ovarian tissue.

Understanding Ovarian Torsion and Its Clinical Presentation

Ovarian torsion is not merely painful; it is a time-sensitive condition. If the blood flow is completely obstructed for too long, the ovarian tissue will begin to die (necrosis). Patients typically describe the pain as sudden, severe, and often radiating to the back, flank, or groin. It is frequently accompanied by nausea and vomiting, which can sometimes lead to an initial misdiagnosis of appendicitis or kidney stones.

Several factors increase the risk of developing this condition, most notably the presence of an ovarian cyst or a benign mass, such as a dermoid cyst, which makes the ovary heavy and prone to twisting. During a physical examination, the physician will assess for tenderness, but because the symptoms can be vague, imaging is required to confirm the diagnosis and rule out other potential causes, such as ectopic pregnancy or pelvic inflammatory disease.

Why Ovarian Torsion Ultrasound Is the Diagnostic Standard

When a patient presents to the emergency department with suspicious symptoms, an ultrasound is almost always ordered immediately. There are two primary types of ultrasound used for this purpose:

  • Transabdominal Ultrasound: This involves moving a transducer over the lower abdomen. It provides a wide view of the pelvis and is useful for seeing larger structures.
  • Transvaginal Ultrasound: This utilizes a specialized transducer inserted into the vagina. Because it is closer to the pelvic organs, it offers much higher-resolution images and is generally preferred for a detailed assessment of the ovaries.

The combination of these two approaches is often necessary to get the best diagnostic picture. The key feature that makes this imaging so vital is the use of Doppler technology.

Imaging Component Function in Diagnosis
Grayscale Imaging Evaluates ovarian size, presence of cysts, and echogenicity.
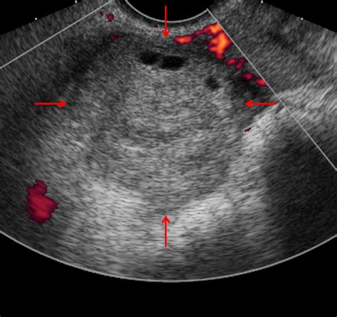
Color/Power Doppler Assesses the presence or absence of blood flow within the ovary.
Spectral Doppler Measures the velocity and pattern of blood flow in the ovarian artery.

⚠️ Note: It is important to understand that a normal Doppler finding does not strictly rule out ovarian torsion. The torsion can be intermittent, meaning the ovary twists and untwists, allowing some blood flow to return during the scan. Therefore, the diagnosis is based on a combination of clinical symptoms and imaging findings, not just the presence or absence of blood flow.

Key Ultrasound Indicators of Ovarian Torsion

Radiologists look for specific markers on the ovarian torsion ultrasound that signal a likely diagnosis. These findings indicate that the ovary is struggling due to compromised blood supply or structural twisting.

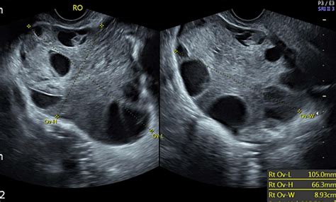
Enlargement of the Ovary

The most common finding is an increase in the size of the affected ovary. This occurs because the obstruction of the venous outflow—the veins responsible for carrying blood away from the ovary—leads to congestion, swelling, and edema. Often, the ovary will appear significantly larger than the unaffected contralateral ovary.

Peripheral Displacement of Follicles

In a healthy ovary, follicles are typically distributed throughout the ovarian tissue. When the ovary is enlarged due to edema caused by torsion, the follicles are often pushed to the periphery of the ovary, creating a “string of pearls” appearance. This is a classic sign often noted by ultrasound technicians and radiologists.

Abnormal Blood Flow Patterns

While the absence of flow is the most definitive sign, it is also a late finding. Radiologists look for subtle changes, such as high-resistance flow in the ovarian artery, which suggests the ovary is struggling to receive blood against the pressure of the twist. The presence of a “whirlpool sign”—a twisting of the vascular pedicle—is highly specific for torsion, though it can be technically difficult to visualize.

Clinical Decision Making Following Imaging

Once the ovarian torsion ultrasound is completed, the results are immediately correlated with the patient's physical examination. If the ultrasound is highly suggestive of torsion, surgical intervention is required promptly. The procedure, usually a laparoscopy, is performed to untwist the ovary (detorsion) and preserve its function.

The surgeon will evaluate the ovary to see if the tissue is still viable after the blood flow is restored. If the ovary appears pink and healthy after untwisting, it is left in place. If it appears black or necrotic, an oophorectomy (removal of the ovary) may be necessary, although surgeons make every effort to spare the ovary, especially in younger patients.

💡 Note: While ultrasound is excellent, it is technically dependent on the skill of the sonographer and the patient's body habitus. If the ultrasound is inconclusive but suspicion remains high, a pelvic CT scan or MRI may be ordered, though ultrasound remains the first-line and fastest imaging modality.

Summary of Considerations

Ovarian torsion is a medical emergency that necessitates prompt identification to preserve fertility and prevent systemic complications. The ovarian torsion ultrasound is the foundational diagnostic tool in this process because it provides immediate, radiation-free, and high-resolution imaging of the ovaries. By combining grayscale structural analysis to detect enlargement and follicular displacement with Doppler assessment to evaluate blood flow, clinicians can make rapid, life-saving decisions. Because this condition can manifest in varied ways—including intermittent symptoms that may result in normal-appearing blood flow on a single snapshot—the clinical evaluation remains paramount. Patients experiencing sudden, severe pelvic pain must seek immediate medical attention, as timely imaging and subsequent surgical intervention are the keys to a positive outcome.

Related Terms:

  • ovarian torsion ultrasound radiopaedia
  • ovarian torsion ultrasound radiology
  • whirlpool sign ovarian torsion
  • ovarian torsion radiology
  • ovarian torsion treatment
  • ovarian torsion radiopaedia