Ovarian Cyst Ct Scan

Ovarian Cyst Ct Scan

Discovering you have an ovarian cyst can be an unsettling experience, often leading to a whirlwind of questions about your health and the necessary next steps. While many cysts are harmless and resolve on their own, healthcare providers frequently need to investigate further to rule out complications or more serious conditions. This is where an ovarian cyst CT scan becomes a vital diagnostic tool. By providing detailed, cross-sectional images of your pelvic region, a CT scan helps medical professionals visualize the size, location, and characteristics of a cyst, allowing them to formulate an accurate and effective treatment plan.

Understanding the Role of Medical Imaging

When you present with symptoms such as pelvic pain, bloating, or irregular menstrual cycles, your doctor will likely start with a physical examination and a pelvic ultrasound. However, ultrasound has limitations in terms of the depth and scope of the view it provides. An ovarian cyst CT scan is often requested when the findings from an ultrasound are inconclusive or when the physician needs to assess the surrounding structures in the abdomen more comprehensively.

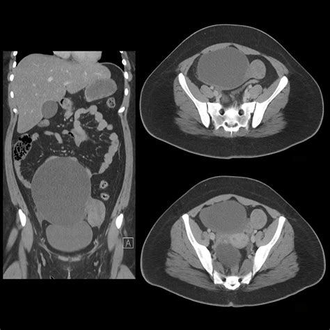
A CT scan uses X-ray technology combined with computer processing to create highly detailed images of your organs, soft tissues, and blood vessels. Unlike a standard X-ray, which produces a flat image, the CT scanner rotates around your body, capturing multiple angles that are then reconstructed into a 3D view. This level of precision is crucial for distinguishing between simple fluid-filled cysts and more complex masses that might require surgical intervention.

Medical imaging technology used for diagnostic scans

Why Doctors Order a CT Scan for Ovarian Cysts

It is important to understand that not every woman with an ovarian cyst requires a CT scan. Doctors typically reserve this imaging modality for specific clinical scenarios where more information is needed to ensure patient safety. Some of the primary reasons include:

  • Rule out malignancy: If a cyst appears complex, has solid components, or has irregular walls, the doctor may order a scan to assess for signs of cancer.
  • Emergency assessment: In cases of severe, sudden pelvic pain, a CT scan can quickly determine if a cyst has ruptured, bled, or caused ovarian torsion (the ovary twisting on its blood supply).
  • Large cyst evaluation: For very large cysts, the scan helps determine if they are compressing nearby organs, such as the bladder or intestines.
  • Pre-surgical planning: If surgery is deemed necessary, the CT scan provides a "roadmap" for the surgeon, showing the exact anatomical position of the cyst.

The Procedure: What to Expect During Your Scan

If your physician has scheduled you for an ovarian cyst CT scan, you might feel some anxiety about the procedure. Being prepared can help alleviate these nerves. The process is generally straightforward and non-invasive, though it may involve the use of a contrast dye to improve image quality.

Before the scan begins, you will be asked to lie on a motorized table that slides into the center of the CT scanner. The scanner is shaped like a large donut. During the scan, you will hear some humming and clicking sounds as the machine moves around you. You will be instructed to lie very still and, at times, to hold your breath for a few seconds to ensure the images are clear and free of motion blur.

Aspect Details
Duration Typically 10 to 30 minutes.
Contrast Dye Often used to visualize tissues better; check for allergies first.
Preparation May require fasting or drinking a contrast solution.
Recovery No downtime; you can return to normal activities immediately.

⚠️ Note: Always inform your healthcare team if you are pregnant, have kidney disease, or have known allergies to iodine-based contrast materials, as these factors may alter how the scan is performed.

Interpreting Results and Next Steps

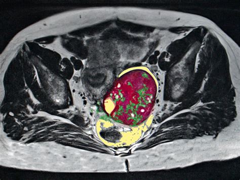
Once the scan is complete, a radiologist will interpret the images and send a report to your primary doctor or gynecologist. The results will describe the cyst in detail, often noting its size in centimeters, its composition (whether it is fluid-filled, solid, or mixed), and whether there is any evidence of fluid leakage or involvement of adjacent structures.

After receiving the report, your doctor will discuss the findings with you. Depending on the diagnosis, the approach may range from "watchful waiting"—where the cyst is monitored via follow-up ultrasounds—to hormonal medications or surgical removal. Knowing the specifics provided by your ovarian cyst CT scan allows you and your medical team to make informed, data-driven decisions about your reproductive health.

Preparation and Safety Considerations

Proper preparation is key to ensuring the success of your imaging appointment. If you are scheduled for an ovarian cyst CT scan, your clinic will provide specific instructions tailored to your health profile. Following these closely is essential for accurate results.

  • Medication Review: Inform your doctor of all medications, including over-the-counter supplements, to avoid potential interactions.
  • Hydration: If you are receiving contrast dye, you may be encouraged to drink plenty of water before and after the scan to help your kidneys process the material.
  • Clothing: Wear comfortable, loose-fitting clothing without metal zippers or buttons, as metal can interfere with the image quality.

💡 Note: The amount of radiation exposure from a modern CT scan is generally considered safe, but it is always recommended to have a conversation with your provider if you have concerns regarding repeated radiation exposure over your lifetime.

Taking control of your health begins with understanding the diagnostic tools available to you. By utilizing an ovarian cyst CT scan when necessary, doctors can gain the critical insights needed to address pelvic health concerns with precision and care. Whether the scan reveals a common, benign functional cyst or requires a more specialized treatment approach, having clear information is the most powerful step toward recovery. Maintain open communication with your healthcare provider, ask questions about your results, and remember that imaging is simply a bridge to getting you back to feeling your best.

Related Terms:

  • can ct scan detect cysts
  • ct scan for ovarian cancer
  • can ct scan see ovaries
  • management of ovarian cyst radiology
  • sru guidelines ovarian cyst
  • complex ovarian cyst with septation