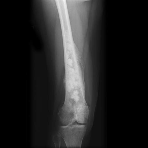
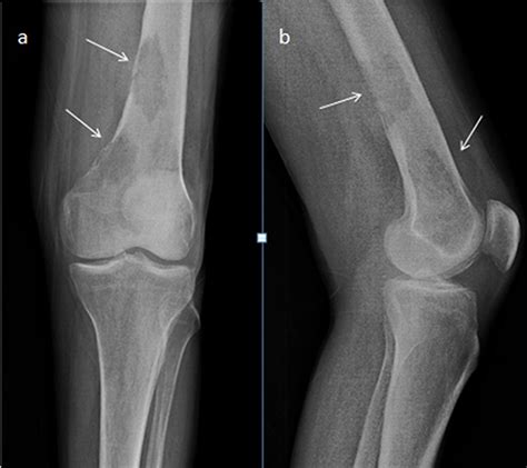
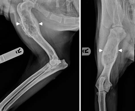
Osteosarcoma X Ray

Osteosarcoma X Ray

When a patient presents with persistent, unexplained bone pain, especially in children, adolescents, or young adults, medical professionals often prioritize imaging to rule out malignancies. Among the various diagnostic tools available, the Osteosarcoma X Ray is frequently the first line of investigation. Osteosarcoma is the most common primary bone cancer in children and adolescents, and while X-rays are not definitive for diagnosis on their own, they provide crucial radiographic features that help radiologists and orthopedic oncologists identify suspicious lesions. Early detection is paramount for improving patient outcomes, making the interpretation of these initial radiographs a vital component of the diagnostic journey.

Understanding the Role of Radiology in Osteosarcoma Detection

Radiographic imaging acts as a gateway to further diagnostic procedures, such as biopsies and MRI scans. When a physician suspects a bone tumor, an Osteosarcoma X Ray is ordered to evaluate the integrity of the bone, the extent of tumor involvement, and the relationship between the tumor and surrounding soft tissues.

The primary goal of the initial X-ray is to assess for "aggressive" features that distinguish a potentially malignant tumor from a benign one. Radiologists look for specific patterns of bone destruction and the body’s reaction to the lesion. While these imaging findings can be highly suggestive, they must always be correlated with the patient's clinical history, physical examination, and subsequent pathological analysis.

Common radiographic findings that might trigger a suspicion of osteosarcoma include:

  • Cortical Destruction: A lack of well-defined borders indicating the tumor is aggressively breaking through the bone shell.
  • Sunburst Pattern: Radiating spicules of bone formation that extend outward from the tumor into the soft tissue.
  • Codman’s Triangle: A triangular formation of new bone that occurs when the tumor grows faster than the periosteum (the outer covering of the bone) can form new bone, resulting in an elevation of the periosteum.
  • Soft Tissue Mass: Shadows outside the bone that suggest the tumor has breached the cortical bone and is invading the surrounding soft tissues.

⚠️ Note: While these features are classic indicators, they are not present in every case of osteosarcoma. A "normal-looking" X-ray does not definitively rule out the disease in a patient with persistent, unexplained bone pain.

Radiographic Characteristics and Differential Diagnosis

Interpreting an Osteosarcoma X Ray requires a nuanced eye. Osteosarcoma is heterogeneous, meaning it can present in several different ways depending on its subtype and location. The appearance of the lesion often depends on whether it is predominantly osteoblastic (bone-forming) or osteolytic (bone-destroying).

To help distinguish between different types of bone lesions, clinicians often use a systematic approach, comparing the suspect lesion against other possibilities. The following table summarizes common features often compared during the diagnostic process:

Feature Typical Osteosarcoma Appearance Benign Lesion Appearance
Bone Borders Ill-defined, permeative, or moth-eaten Well-defined, sclerotic margins
Periosteal Reaction Aggressive (Sunburst, Codman's Triangle) Benign (Solid, smooth)
Soft Tissue Mass Usually present Rarely present
Lesion Location Metaphysis of long bones (near the knee) Variable, often diaphyseal or epiphysis

Why X-rays Alone Are Insufficient for Diagnosis

It is important to emphasize that an Osteosarcoma X Ray is a screening and staging tool, not a diagnostic confirmation tool. An X-ray image provides a visual representation of bone anatomy, but it cannot confirm the presence of cancerous cells or determine the exact molecular subtype of the tumor.

To establish a definitive diagnosis, a tissue biopsy is mandatory. A biopsy involves removing a small sample of the tumor to be examined under a microscope by a pathologist. Only after pathology confirms the presence of malignant osteoid-producing cells can a formal diagnosis of osteosarcoma be made.

Furthermore, because an X-ray only shows the bone and some soft tissue shadows, it cannot accurately show the full extent of the disease. After the initial X-ray raises suspicion, further imaging is required:

  • MRI (Magnetic Resonance Imaging): Essential for evaluating the extent of tumor involvement in the bone marrow and soft tissues, and for surgical planning.
  • CT Scan (Computed Tomography): Often used to scan the lungs to check for potential metastatic spread.
  • Bone Scan/PET Scan: Used to evaluate the entire skeleton for other potential sites of spread (metastasis).

💡 Note: Always consult with a specialized orthopedic oncologist. These medical professionals are trained specifically to interpret these scans in the context of musculoskeletal cancers and are the best equipped to coordinate the necessary follow-up care.

The Importance of Clinical Context

When reviewing an Osteosarcoma X Ray, radiologists and clinicians do not work in isolation. The imaging findings are only as valuable as the clinical story behind them. A high index of suspicion is required when the patient—most commonly an adolescent experiencing a growth spurt—reports localized, persistent pain, swelling, or a reduced range of motion in a joint, particularly around the knee (the distal femur or proximal tibia).

Sometimes, patients attribute this pain to a sports injury or "growing pains," which can lead to a delay in obtaining imaging. If pain does not subside with standard treatment, rest, or over-the-counter anti-inflammatory medications, it is imperative to seek professional medical advice. The X-ray is the essential tool that can quickly turn a vague complaint of "knee pain" into a prioritized, actionable medical investigation.

As treatment protocols continue to evolve, the initial identification of these tumors remains the cornerstone of successful outcomes. Modern surgical techniques, combined with advanced chemotherapy regimens, have significantly improved survival rates over the past few decades. These advancements are only effective if the tumor is identified and staged accurately, beginning with that initial, vital radiographic investigation.

The journey from the first sign of discomfort to a confirmed diagnosis is often anxiety-inducing for both patients and their families. However, understanding that an Osteosarcoma X Ray is simply the first step in a very structured, diagnostic approach can help demystify the process. By combining the radiographic evidence with advanced pathology and state-of-the-art imaging, clinicians can develop a comprehensive, personalized treatment plan. Maintaining vigilance regarding persistent bone pain and ensuring that diagnostic steps are taken without delay remain the most effective ways to address this condition successfully.

Related Terms:

  • ewing sarcoma x ray
  • osteosarcoma common sites
  • osteosarcoma x ray dog
  • osteosarcoma x ray sunburst
  • parosteal osteosarcoma radiology
  • osteosarcoma biopsy