Open Book Fracture

Open Book Fracture

An open book fracture, medically categorized as an anteroposterior compression pelvic ring injury, represents one of the most severe orthopedic emergencies a patient can face. The term derives from the anatomical appearance of the injury on an X-ray, where the pelvic ring disrupts at the pubic symphysis, causing the two halves of the pelvis to swing outward like the covers of an open book. Because the pelvis serves as the vital junction between the torso and the lower limbs and houses essential pelvic organs, this type of fracture requires immediate, highly specialized trauma care to prevent life-threatening complications such as massive internal hemorrhaging.

Understanding the Mechanics of an Open Book Fracture

Medical concept of pelvic injury

The human pelvis is a robust, ring-shaped bone structure designed to bear weight and protect pelvic viscera. However, when subjected to high-energy trauma—most commonly motor vehicle accidents, motorcycle crashes, or falls from significant heights—the structural integrity can fail. In an open book fracture, the force is typically applied from the front (anteroposterior compression). This force causes the pubic symphysis to widen, essentially tearing the ligaments that hold the pelvic bones together.

The severity of this injury is often classified using the Young-Burgess classification system, which helps surgeons determine the stability of the ring and the associated risk of blood loss. The stages generally include:

  • APC I: Minimal symphysis widening (less than 2.5 cm); the pelvic ligaments remain mostly intact.
  • APC II: Significant symphysis widening (greater than 2.5 cm); the sacrospinous and sacrotuberous ligaments are torn, but the posterior sacroiliac ligaments may remain partially functional.
  • APC III: Complete disruption of the pelvic floor and sacroiliac joints, leading to a completely unstable, "open book" configuration that poses the highest risk of hemodynamic collapse.

Clinical Presentation and Immediate Assessment

When a patient presents to the emergency department with a suspected open book fracture, the priority is not just the bone itself, but the associated soft tissue and vascular damage. The pelvic cavity is prone to massive hemorrhage because of the extensive network of veins and arteries located behind the pelvic ring. Surgeons and emergency physicians use the Advanced Trauma Life Support (ATLS) protocol to stabilize the patient before addressing the orthopedic injury.

Common symptoms and signs include:

  • Severe pain in the groin or pelvic region.
  • Inability to walk or bear weight on the legs.
  • Visible or palpable deformity in the pelvic area.
  • Signs of shock (low blood pressure, rapid heart rate, pale skin) caused by internal bleeding.
  • Associated injuries to the bladder, urethra, or bowel.

⚠️ Note: If a pelvic injury is suspected during a trauma, log-rolling the patient must be performed with extreme caution. Excessive movement of an unstable pelvis can aggravate internal vascular damage and worsen bleeding.

Diagnostic Imaging and Evaluation

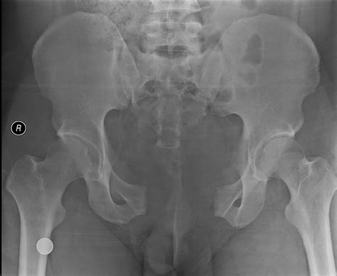
To confirm an open book fracture, clinicians rely on diagnostic imaging. An initial AP Pelvis X-ray is the gold standard for the first assessment. If the patient is hemodynamically stable, a CT scan is performed to provide detailed 3D imagery of the fracture patterns. This is essential for preoperative planning, as it allows surgeons to visualize the exact displacement of the bone fragments.

Diagnostic Tool Purpose Reliability
AP Pelvis X-Ray Initial screening for widening High for immediate detection
CT Scan Mapping complex fractures Excellent for surgical planning
FAST Exam Detecting abdominal hemorrhage High for trauma triage

Treatment Modalities and Surgical Intervention

The primary goal in treating an open book fracture is achieving pelvic stability to control hemorrhage. For immediate stabilization, emergency responders may apply a pelvic binder or sheet around the greater trochanters of the femurs. This “closes” the book, reducing the pelvic volume and creating a tamponade effect that helps stop internal venous bleeding.

Definitive treatment often involves surgical fixation, especially in APC II and APC III cases. The orthopedic team may use various internal fixation techniques, including:

  • Anterior plating: Placing a metal plate across the pubic symphysis to hold the bones in place.
  • Sacroiliac screws: Inserting long, specialized screws through the back of the pelvis to secure the sacrum to the ilium.
  • External fixation: Using pins attached to an external frame, which is sometimes used as a bridge to later definitive surgery.

💡 Note: Rehabilitation usually begins with limited weight-bearing for several weeks. Physical therapy is mandatory to ensure the patient regains strength and proper gait mechanics after the bone has sufficiently healed.

Recovery and Long-Term Outlook

The journey to recovery after an open book fracture is significant. Because the pelvis supports the weight of the entire upper body, patients often undergo months of physical therapy. Potential long-term complications can include chronic pelvic pain, nerve injuries (most commonly to the lumbosacral plexus), and issues with sexual or urinary function. However, with advances in surgical techniques and multidisciplinary trauma care, many patients achieve a functional outcome and return to their daily activities.

The path forward requires patience and adherence to the structured recovery program outlined by the orthopedic surgeon. Regular follow-up X-rays are critical to ensure that the surgical hardware remains in place and that the bone is remodeling correctly. While the psychological impact of surviving high-energy trauma should not be underestimated, the physical prognosis is generally positive when the fracture is managed promptly in a specialized trauma center.

Related Terms:

  • unstable open book pelvic fracture
  • open book fracture management
  • open book fracture orthobullets
  • open book pelvic fracture complications
  • open book pelvic fracture classification
  • open book hip fracture