One Umbilical Cord Artery

One Umbilical Cord Artery

Discovering that your baby has a one umbilical cord artery, medically known as a Single Umbilical Artery (SUA), can be an overwhelming experience for expectant parents. While the term might sound alarming during a routine prenatal ultrasound, it is a relatively common finding. Typically, a healthy umbilical cord consists of two arteries and one vein. When only one artery is present, it is important to understand what this means for your pregnancy, what steps your medical team will take, and why proactive monitoring is the standard of care.

Understanding Single Umbilical Artery (SUA)

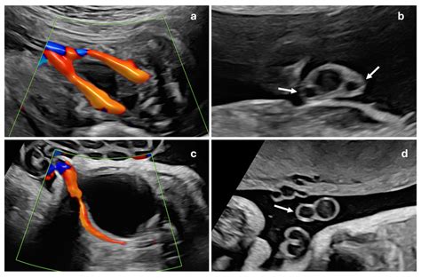
The umbilical cord is the vital lifeline connecting the fetus to the placenta. Its primary function is to transport oxygen-rich blood, nutrients, and waste products between the mother and the developing baby. In a standard anatomy, the two arteries carry deoxygenated blood and waste away from the fetus, while the single vein delivers oxygenated blood and nutrients to the fetus. When a one umbilical cord artery condition is identified, the fetus is still receiving necessary nutrients, but the structural composition of the cord is different.

SUA occurs in approximately 1% of singleton pregnancies, though it is more common in twin pregnancies. It is often an isolated finding, meaning the baby is perfectly healthy, but because the umbilical cord develops alongside other fetal organs, doctors perform thorough checks to ensure no other developmental issues are present.

Why Does a One Umbilical Cord Artery Occur?

Medical professionals are not always certain why this occurs, but it is rarely linked to anything the parents did during pregnancy. It is often considered a developmental anomaly. Sometimes, it occurs because one of the two arteries failed to develop properly or regressed early in the pregnancy.

Risk factors that may correlate with SUA include:

  • Advanced maternal age (35 or older).
  • Maternal diabetes or other chronic conditions.
  • Multiple gestations (twins, triplets, etc.).
  • Genetic factors or family history.

Diagnostic Process and Monitoring

Most cases of one umbilical cord artery are detected during the routine mid-pregnancy anatomy scan, typically performed between 18 and 22 weeks of gestation. If an ultrasound technician or radiologist notices the absence of a second artery, they will often recommend a more comprehensive evaluation.

The primary goal of subsequent monitoring is to ensure the baby is growing at an appropriate rate and that there are no associated anomalies. Your healthcare provider will likely recommend the following:

  • Detailed Fetal Ultrasound: A more specialized scan to examine the baby’s heart, kidneys, spine, and other major organs to rule out structural defects.
  • Fetal Echocardiogram: Sometimes recommended to take a closer look at the heart, as vascular anomalies can occasionally be associated with cardiac issues.
  • Growth Scans: Serial ultrasounds during the third trimester to monitor the baby's growth and ensure the placenta is functioning optimally.

⚠️ Note: Many babies with a single umbilical artery are born completely healthy. These tests are primarily precautionary to ensure early detection of any needs your baby may have upon delivery.

What to Expect During the Third Trimester

As you progress through your pregnancy, the focus shifts toward fetal wellbeing. Because there is only one umbilical cord artery, doctors want to ensure that the blood flow through the single artery is sufficient to meet the baby’s metabolic demands as they get larger.

Assessment Type Purpose
Fetal Growth Ultrasound Checks fetal weight and interval growth rates.
Doppler Studies Evaluates blood flow resistance in the umbilical artery.
Non-Stress Test (NST) Monitors the baby’s heart rate to ensure oxygenation.

Potential Complications and Considerations

While the vast majority of pregnancies with an SUA result in a healthy delivery, there are some statistical risks that providers watch for. These can include intrauterine growth restriction (IUGR), where the baby is smaller than expected, or preterm birth. However, it is important to remember that these are risks, not certainties.

In most instances, a pregnancy with a one umbilical cord artery does not require a specialized or early induction of labor unless there are concerns regarding the baby's growth or the mother's health. Your obstetrician will guide you through the delivery plan based on the baby's progress throughout the third trimester.

💡 Note: Always keep your prenatal appointments. Regular monitoring is the most effective way to track your baby’s development and manage any findings related to the umbilical cord.

Support and Next Steps

If you have been diagnosed with an SUA, you may feel anxious, but it is helpful to lean on your care team. Ask your doctor specific questions regarding your scan results and what their protocol is for monitoring. Understanding that this is a manageable condition that most often results in a healthy child can help reduce stress during the remainder of your pregnancy.

Focus on maintaining a healthy lifestyle, attending all your scheduled appointments, and communicating openly with your obstetrician. Being informed about your baby’s development is the best way to ensure the safest delivery possible. If you notice a decrease in fetal movement or have concerns between appointments, do not hesitate to contact your healthcare provider immediately, as they are there to support you through every stage of your pregnancy.

Learning that your baby has a one umbilical cord artery is naturally concerning, but the most important takeaway is that this condition is frequently an isolated finding that does not lead to long-term health issues. With advancements in prenatal imaging and consistent medical monitoring, obstetricians are well-equipped to track your baby’s growth and ensure that any potential challenges are addressed proactively. By staying engaged with your medical team, attending your follow-up growth scans, and maintaining regular communication with your provider, you are doing everything necessary to support a healthy outcome. Many parents who receive this diagnosis go on to have perfectly healthy babies, and by following your doctor’s guidance, you are taking the right steps to ensure the safety and well-being of both you and your little one as you prepare for the big day.

Related Terms:

  • single umbilical artery in pregnancy
  • single umbilical cord arteries
  • single umbilical artery baby
  • umbilical cord abnormalities
  • single umbilical artery antenatal testing
  • umbilical arteries after birth