Normal Foot X Ray

Normal Foot X Ray

Understanding what constitutes a Normal Foot X Ray is a fundamental aspect of orthopedic diagnostics. When a patient presents with persistent foot pain, swelling, or trauma, a radiograph is often the first imaging modality requested by healthcare professionals. By comparing a patient's imaging against the standard anatomical markers found in a healthy foot, radiologists can effectively rule out fractures, dislocations, or chronic degenerative conditions. This guide delves into the essential components of foot anatomy as seen on X-ray and provides insight into what medical professionals look for during an examination.

Understanding the Anatomy of a Foot X-Ray

Medical imaging of a human foot

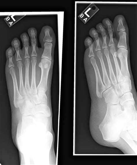
The human foot is a complex structure comprised of 26 bones, numerous joints, and soft tissue. A standard radiographic study typically includes three views: the dorsoplantar (top-down), the oblique (angled), and the lateral (side profile). A Normal Foot X Ray will clearly display these bones without evidence of discontinuity or abnormal spacing. Key anatomical regions assessed include:

  • The Hindfoot: Includes the talus and the calcaneus (heel bone), which are critical for weight distribution.
  • The Midfoot: Comprised of the navicular, cuboid, and three cuneiform bones, providing stability to the arch.
  • The Forefoot: Consists of the metatarsals and phalanges, which are essential for balance and gait propulsion.

What Radiologists Look for in a Normal Scan

When a radiologist interprets an X-ray, they follow a systematic checklist to confirm that the images depict healthy anatomy. In a Normal Foot X Ray, the cortical bone edges should be smooth and continuous, indicating no breaks or fractures. Furthermore, joint spaces should be uniform in width, suggesting that there is no loss of cartilage—a common sign of osteoarthritis.

Also read: Face Asymmetry Surgery

Key indicators of healthy foot anatomy include:

  • Alignment: The bones should follow anatomical lines, especially in the midfoot, where the metatarsal bases must align with the cuneiforms.
  • Joint Spaces: Clear, visible gaps between bones suggest that cartilage is intact.
  • Soft Tissue Shadowing: While X-rays are primarily for bones, a “normal” report will note the absence of deep swelling or foreign bodies in the surrounding soft tissue.

Common Comparisons: Normal vs. Abnormal Findings

To better grasp what a standard radiograph looks like, it is helpful to contrast normal features with common pathologies. The table below outlines how specific areas of the foot differ between a healthy state and a clinical condition.

Anatomical Area Normal Foot X Ray Findings Potential Abnormal Findings
Metatarsals Smooth cortical margins; no breaks. Stress fractures or avulsion fractures.
Joint Spaces Clear, preserved space between bones. Narrowing due to osteoarthritis.
Calcaneus Clear bone density, smooth surface. Calcaneal spurs or erosive lesions.
Alignment Bones follow natural arcs. Subluxation or dislocation.

⚠️ Note: If you have received a report indicating a "normal" study but you are still experiencing significant pain, do not hesitate to ask your doctor about soft tissue issues like tendonitis or ligament tears, which are not always visible on standard radiographs.

The Importance of Professional Interpretation

While patient education is vital, reading an X-ray requires specialized training. A Normal Foot X Ray might appear perfectly fine to an untrained eye, but it could still be masking subtle issues like a hairline stress fracture or early-stage bone demineralization. Radiologists utilize specific exposure settings and angles to ensure that the images capture the true state of the foot.

If you are reviewing your own results, keep in mind that “normal” simply means the bones are structurally intact and in their proper positions. It does not automatically mean that there is no underlying injury to the muscles, tendons, or ligaments. If your pain persists, further imaging such as an MRI or ultrasound may be suggested by your physician to visualize the non-bony structures.

Preparing for Your Imaging Appointment

When scheduled for a foot X-ray, minimal preparation is usually required. Because the procedure involves ionizing radiation, patients should always inform the technician if there is a possibility of pregnancy. To ensure the highest quality of images, you should:

  • Remove any jewelry or metal items (like anklets) from the foot and ankle area.
  • Wear loose-fitting clothing that can be easily pulled above the ankle.
  • Remain completely still during the short exposure period to prevent motion blur, which can lead to misinterpretation.

💡 Note: Always provide the technician with your full clinical history, including any previous surgeries or implants like pins or screws, as these will appear on the X-ray and could otherwise be mistaken for pathologies.

Final Thoughts on Radiographic Diagnostics

Obtaining a Normal Foot X Ray is a significant step in the diagnostic process, as it successfully eliminates many severe structural concerns. By verifying that there are no fractures, dislocations, or degenerative bone changes, your healthcare provider can shift their focus toward other causes of pain, such as biomechanical issues, inflammation, or soft tissue trauma. Remember that while radiography is an excellent tool for viewing the skeletal system, it is only one part of a comprehensive medical evaluation. Always consult with a podiatrist or orthopedic specialist to correlate your imaging results with a physical examination for a complete diagnosis and a tailored treatment plan. Maintaining an open dialogue with your medical team ensures that no stone is left unturned in your journey toward recovery and foot health.

Related Terms:

  • normal foot x ray ap
  • normal foot x ray oblique
  • left foot x ray
  • normal foot x ray adult
  • normal foot x ray series
  • normal foot x ray child