Necrotising Pancreatitis Causes

Necrotising Pancreatitis Causes

Necrotising pancreatitis represents one of the most severe and life-threatening complications of acute pancreatitis. It occurs when a portion of the pancreas loses its blood supply, leading to tissue death, or necrosis. Understanding Necrotising Pancreatitis Causes is essential for medical professionals and patients alike, as early identification of risk factors can significantly improve clinical outcomes. When the pancreas becomes inflamed, the digestive enzymes it produces can begin to consume the organ itself, leading to a cascade of systemic issues that require immediate, often intensive, medical intervention.

The Physiological Mechanism Behind Necrosis

To fully grasp why necrosis occurs, one must understand that the pancreas acts as a vital organ for both digestion and blood sugar regulation. In healthy individuals, digestive enzymes remain inactive until they reach the small intestine. However, in cases of pancreatitis, these enzymes activate prematurely within the pancreas. When this inflammation is intense enough to compromise the microcirculation—the small blood vessels supplying the organ—the lack of oxygen and nutrients causes the affected tissue to die. This dead, or necrotic, tissue creates a fertile environment for bacterial growth, which can lead to secondary infections and systemic organ failure.

Primary Necrotising Pancreatitis Causes

The progression toward necrosis is rarely an isolated event; it is usually the result of severe, sustained inflammation. Below are the most common Necrotising Pancreatitis Causes that lead to this critical condition:

  • Gallstone Obstruction: Gallstones are perhaps the most frequent culprits. When a stone slips out of the gallbladder and blocks the common bile duct or the pancreatic duct, it prevents enzymes from flowing, forcing them to back up into the pancreas.
  • Chronic Alcohol Consumption: Heavy, long-term alcohol use is a leading cause of pancreatic damage. Alcohol alters the chemistry of digestive juices, making them prone to blockages and premature activation.
  • Hypertriglyceridemia: Extremely high levels of triglycerides in the blood can clog the tiny vessels of the pancreas, reducing blood flow and triggering inflammation.
  • Post-ERCP Procedures: An Endoscopic Retrograde Cholangiopancreatography (ERCP), while diagnostic, can occasionally trigger acute pancreatitis due to physical trauma or contrast dye reactions.
  • Trauma: Direct blunt force injury to the abdomen, often sustained in vehicle accidents or falls, can damage the pancreatic tissue directly.
  • Autoimmune Reactions: Sometimes, the body’s immune system mistakenly attacks the pancreas, leading to severe inflammation (Autoimmune Pancreatitis).

Risk Factors and Clinical Indicators

While the causes listed above provide the "why," certain biological markers and conditions significantly increase the likelihood that an episode of pancreatitis will progress to a necrotizing stage. Medical practitioners use specific scoring systems—such as the APACHE II or BISAP scores—to assess the severity of the inflammation early in the diagnostic process.

Risk Factor Impact on Pancreas
Obesity Higher levels of systemic inflammation and fatty tissue infiltration.
Advanced Age Reduced physiological reserve to manage severe organ stress.
Delayed Fluid Resuscitation Inadequate blood volume leads to poor pancreatic perfusion.
Genetic Predisposition Hereditary factors affecting enzyme activation pathways.

⚠️ Note: If you experience sudden, severe abdominal pain that radiates to the back, accompanied by nausea or fever, seek emergency medical care immediately. Do not attempt to manage these symptoms with over-the-counter medication.

Diagnostic Approaches

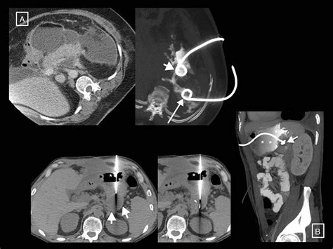
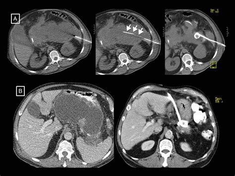
Diagnosing necrotizing pancreatitis typically requires advanced imaging. Contrast-enhanced Computed Tomography (CECT) is the gold standard for identifying areas of the pancreas that do not "enhance" or light up with dye—a hallmark sign of dead, non-perfused tissue. Magnetic Resonance Imaging (MRI) is also utilized for patients who cannot tolerate the contrast dye used in CT scans or for those with impaired kidney function.

Management and Treatment Protocols

Managing the causes and the condition itself requires a multidisciplinary approach. The primary goal is to support organ function and prevent infection. If the necrotic tissue becomes infected, surgical intervention—such as necrosectomy—or minimally invasive drainage procedures become necessary. Antibiotics are generally reserved for confirmed infections rather than as a preventive measure, as prophylactic use can lead to resistant bacterial strains.

💡 Note: Patients recovering from necrotizing pancreatitis often require long-term monitoring of endocrine and exocrine functions, as the destruction of tissue can lead to chronic conditions like diabetes or malabsorption syndrome.

Long-term Outlook and Prevention Strategies

Preventing recurrent episodes is the most effective way to manage the long-term outlook for those who have experienced necrotizing pancreatitis. Once the acute phase is resolved, lifestyle modifications are paramount. This includes strict adherence to a low-fat diet, complete cessation of alcohol consumption, and meticulous management of lipid levels through medication if necessary. For those whose pancreatitis was caused by gallstones, a cholecystectomy (gallbladder removal) is usually recommended to prevent future blockages and recurrences.

Understanding the interplay between lifestyle, systemic health, and pancreatic function is the cornerstone of preventing this life-threatening condition. By addressing underlying issues such as alcohol intake, gallstone management, and metabolic health, many cases can be prevented before they escalate. While the prognosis for patients with widespread necrosis remains serious, advances in minimally invasive techniques and supportive intensive care have drastically improved survival rates. Maintaining regular follow-ups with gastroenterologists and prioritizing metabolic health remains the best strategy for long-term pancreatic wellness.

Related Terms:

  • Acute Necrotizing Pancreatitis
  • Necrotizing Pancreatitis Symptoms
  • Necrotizing Pancreas
  • Necrotizing Panniculitis
  • Necrotic Pancreatitis
  • Necrotizing Pancreatitis Management