Navicular Bone Pain

Navicular Bone Pain

Experiencing persistent discomfort in the mid-foot area can be a frustrating and limiting experience, often pointing toward a specific, underlying issue known as navicular bone pain. The navicular bone, a small, boat-shaped bone located on the top inner side of the foot, plays a critical role in supporting the arch and facilitating complex foot movements. When this bone becomes stressed, inflamed, or fractured, it can significantly impact your ability to walk, stand, or participate in physical activities. Understanding the root cause of this pain is the first step toward effective treatment and a return to pain-free movement.

Understanding the Role of the Navicular Bone

To grasp why navicular bone pain occurs, it helps to understand the bone’s anatomy and function. Situated between the talus (ankle bone) and the cuneiform bones, the navicular bone acts as a central pivot point for the foot’s arch. It is subjected to significant stress during weight-bearing activities, making it susceptible to overuse injuries, particularly in athletes, runners, and individuals with certain foot structural abnormalities.

Because the navicular bone is located in an area with relatively limited blood supply, certain injuries to this bone can be particularly slow to heal. This is why recognizing the symptoms early and seeking professional medical advice is paramount to avoiding long-term complications.

Common Causes of Navicular Bone Pain

Pain in this region rarely happens without a reason. Identifying the specific cause is essential for determining the correct management strategy. The most common drivers of navicular bone pain include:

  • Stress Fractures: Often seen in athletes, these are small cracks in the bone caused by repetitive stress or overuse without adequate rest. They are common in sports that involve frequent jumping, running, or changing direction.
  • Accessory Navicular Syndrome: Some individuals are born with an extra piece of bone or cartilage located next to the navicular bone. If this “accessory” bone becomes irritated due to shoe pressure or injury, it leads to intense pain.
  • Köhler’s Disease: A rare condition affecting children, where the blood supply to the navicular bone is temporarily disrupted, causing the bone tissue to weaken and die (osteonecrosis) before eventually regenerating.
  • Tendinitis: The posterior tibial tendon attaches to the navicular bone. Inflammation of this tendon (posterior tibial tendon dysfunction) often manifests as pain directly over the navicular area.
  • Acute Fractures: Unlike stress fractures, these occur suddenly, often due to high-impact trauma, such as a severe fall or a direct blow to the foot.

⚠️ Note: If you experience sudden, severe pain following a traumatic injury, seek immediate medical attention to rule out a complete fracture or dislocation.

Key Symptoms to Monitor

Recognizing the signs of navicular bone pain early can prevent the condition from worsening. While symptoms can vary depending on the specific cause, look for the following indicators:

Symptom Description
Localized Tenderness Pain specifically concentrated on the top or inner side of the mid-foot.
Swelling Visible puffiness or inflammation in the mid-foot area.
Activity-Related Pain Discomfort that increases during weight-bearing activities like running or walking.
Visible Bony Prominence A noticeable bump or protrusion, often associated with accessory navicular syndrome.
Limping Changes in your gait to avoid placing weight on the painful area.

Diagnosis and Professional Evaluation

If you suspect you are dealing with navicular bone pain, it is vital to consult with a podiatrist or orthopedic specialist. Because different conditions require vastly different treatments, self-diagnosis is rarely accurate.

Your doctor will typically perform a physical examination, assessing the range of motion in your foot and identifying areas of tenderness. To confirm the diagnosis, they may order imaging tests:

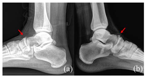
  • X-rays: Useful for identifying fractures, bony deformities, or structural issues.
  • MRI (Magnetic Resonance Imaging): The gold standard for detecting early stress fractures that may not show up on a standard X-ray.
  • CT Scan: Provides detailed images of the bone structure if a complex fracture is suspected.

Effective Treatment Approaches

Treatment for navicular bone pain is highly dependent on the underlying cause. However, most conservative treatment plans focus on reducing inflammation, resting the affected area, and correcting biomechanical issues.

Conservative Management Strategies

For many patients, especially those suffering from stress fractures or mild tendinitis, a non-surgical approach is highly effective:

  • Rest and Activity Modification: The most critical component. Avoiding the specific activity that caused the pain allows the bone to heal.
  • Immobilization: Your doctor may recommend a walking boot or a cast for a few weeks to offload the pressure on the navicular bone.
  • Orthotic Inserts: Custom or over-the-counter arch supports can help redistribute weight away from the navicular bone and provide better structural support.
  • Physical Therapy: Once the initial pain subsides, strengthening exercises for the muscles surrounding the foot and ankle help prevent future recurrence.
  • Anti-inflammatory Medication: Over-the-counter NSAIDs (non-steroidal anti-inflammatory drugs) can help manage pain and reduce swelling in the short term.

💡 Note: Always consult with a healthcare professional before starting any new exercise regimen to ensure the movements are safe for your specific injury stage.

When Surgery is Necessary

Surgery is typically considered a last resort. It may be required if conservative treatments fail to provide relief, or if there is a non-union fracture (a fracture that refuses to heal on its own). For accessory navicular syndrome, surgical removal of the accessory bone may be necessary if conservative care does not reduce chronic pain.

Preventative Measures for Foot Health

Maintaining strong foot health is the best defense against navicular bone pain. Incorporating these habits can significantly reduce your risk:

  • Gradual Progression: If you are starting a new exercise routine or increasing your training intensity, do so gradually to allow your bones to adapt to the new stress.
  • Proper Footwear: Wear shoes with adequate arch support and cushioning, particularly during high-impact activities. Replace your running shoes regularly before the cushioning wears out.
  • Listen to Your Body: Never push through sharp, persistent pain. If you feel discomfort in your mid-foot, take a rest day or switch to low-impact activities like swimming or cycling.
  • Strength Training: Focus on strengthening the muscles of the lower leg, specifically the posterior tibial muscle, which supports the arch and takes pressure off the navicular bone.

Addressing persistent discomfort in the mid-foot requires a proactive and informed approach. By recognizing the potential causes of navicular bone pain—ranging from stress fractures and accessory navicular syndrome to tendon inflammation—you are better equipped to seek the appropriate medical care. Early intervention is consistently the best strategy, as it allows for conservative treatments that can often resolve the issue without the need for surgery. By focusing on proper rest, utilizing supportive footwear, and gradually managing physical activity levels, most individuals can successfully overcome this pain and return to their normal daily routines. Remember that persistent or worsening pain should always be evaluated by a medical professional to ensure an accurate diagnosis and a tailored recovery plan, putting you back on the path to mobility and comfort.

Related Terms:

  • navicular bone pain physical therapy
  • navicular bone pain location
  • swelling around navicular bone
  • navicular bone pain anatomy
  • navicular bone of left foot
  • navicular bone on inside foot