Mri Neurography

Mri Neurography

When chronic pain, numbness, or weakness persists without a clear explanation from standard diagnostic imaging, physicians may turn to more specialized techniques to pinpoint the source of the problem. One such advanced diagnostic tool is MRI Neurography. Unlike conventional MRI scans, which are primarily designed to visualize bones, muscles, and soft tissues, this specialized imaging technique is specifically engineered to provide detailed, high-resolution views of the peripheral nerves throughout the body. By enhancing the visualization of nerve fibers, MRI Neurography allows clinicians to detect subtle abnormalities, compressions, or lesions that might otherwise go unnoticed, playing a critical role in the accurate diagnosis and management of complex neurological conditions.

Understanding MRI Neurography

At its core, MRI Neurography is a sophisticated imaging protocol that utilizes powerful magnetic fields and radiofrequency pulses to create detailed maps of the peripheral nervous system. While traditional MRI sequences are effective for identifying large structural issues, they often lack the contrast necessary to differentiate nerve tissue from surrounding structures like fat, connective tissue, or blood vessels.

To overcome this, this specialized imaging employs specific pulse sequences designed to suppress the signal from fat—which often obscures nerve detail—while enhancing the signal from water-rich tissues like nerves. This process effectively makes the nerves "light up" on the resulting images, allowing radiologists to assess their anatomy, signal intensity, and trajectory in high detail.

This technique is indispensable for evaluating a wide range of neuropathic conditions, including:

  • Nerve Entrapment Syndromes: Such as carpal tunnel syndrome, cubital tunnel syndrome, or tarsal tunnel syndrome.
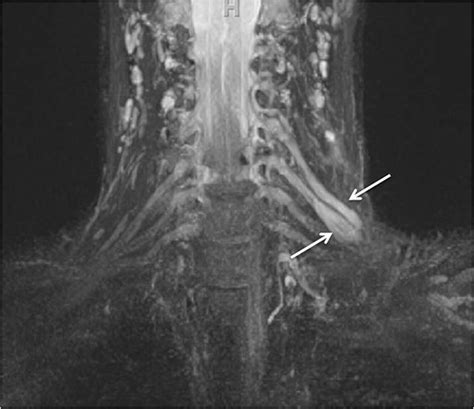
  • Brachial Plexus Injuries: Evaluating trauma or inflammatory conditions affecting the network of nerves that control the shoulder, arm, and hand.
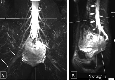
  • Sciatica and Radiculopathy: Identifying nerve root compression caused by herniated discs or other structural anomalies.
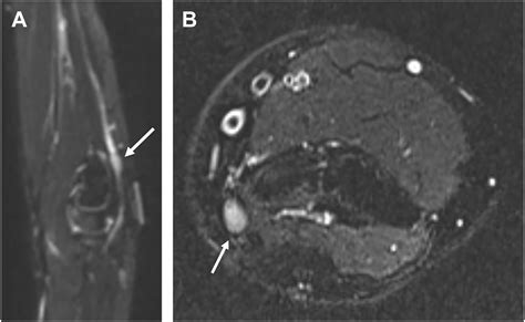
  • Nerve Tumors: Detecting and characterizing nerve sheath tumors, such as schwannomas or neurofibromas.
  • Post-Surgical Complications: Investigating persistent pain or functional deficits following surgeries near major nerve pathways.

Why Choose This Specialized Imaging Over Other Tests?

While electromyography (EMG) and nerve conduction studies (NCS) are valuable tools for assessing the functional integrity of nerves, they provide limited information regarding the structural cause of a problem. They can tell you *that* a nerve is malfunctioning, but they often cannot tell you *why*. This is where MRI Neurography provides superior diagnostic value.

Diagnostic Feature Electromyography (EMG) MRI Neurography
Primary Purpose Functional Assessment Structural Mapping
Visual Detail None High-Resolution Imaging
Identifies Compression Source Inferred Direct Visualization
Best For Determining nerve damage level Locating anatomical abnormalities

By combining functional data from EMG/NCS with the structural insights provided by this advanced MRI technique, physicians can develop a comprehensive understanding of the patient's condition, leading to more targeted treatment plans and improved patient outcomes.

The Procedure: What to Expect

Preparing for MRI Neurography is largely similar to preparing for a conventional MRI scan. Patients should inform their medical team about any metal implants, pacemakers, or concerns regarding claustrophobia well in advance. Because the procedure requires high-precision imaging, it is crucial to remain as still as possible during the scan, which may take longer than a standard MRI.

During the exam, the patient is positioned in the MRI scanner. If the area being imaged is in a limb, specialized coils—devices that help capture the radiofrequency signals—are placed around that specific body part to maximize image quality. In some cases, contrast dye may be administered intravenously to further enhance the clarity of the images, especially if a tumor or inflammatory process is suspected.

⚠️ Note: If you have any metallic implants, surgical clips, or devices like cochlear implants, ensure these are cleared by your radiologist, as the strong magnets used in MRI can interact with certain materials.

Interpreting the Results

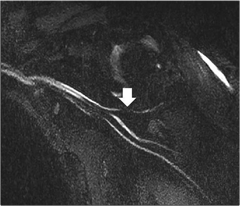
Once the images are acquired, they are analyzed by a radiologist with specialized expertise in musculoskeletal or neuroradiology. The goal is to identify changes in the nerve's appearance. For instance, a healthy nerve typically appears as a thin, uniform structure with a consistent signal. In contrast, an injured or compressed nerve may exhibit:

  • Increased signal intensity: Often indicative of edema (swelling) or inflammation within the nerve.
  • Nerve enlargement (fascicular thickening): A sign that the nerve is being subjected to chronic pressure or trauma.
  • Discontinuity or disruption: Clearly visible in cases of severe trauma or nerve rupture.
  • Masses or Lesions: Clear identification of tumor growth within or adjacent to the nerve sheath.

The findings are then translated into a detailed report that guides the referring physician in determining whether the patient requires physical therapy, medication management, targeted injections, or surgical intervention to decompress or repair the affected nerve.

Advancements and Limitations

Technology in this field continues to evolve, with faster scan times and higher resolution capabilities improving the accessibility and accuracy of these diagnostic evaluations. However, it is important to recognize that this is a highly specialized exam. Not every imaging center has the equipment, specific protocols, or the necessary radiologist expertise to perform and interpret high-quality MRI Neurography scans.

Patients seeking this diagnostic approach should ensure their healthcare provider refers them to a facility experienced in advanced peripheral nerve imaging. While it is an incredibly powerful diagnostic tool, it is generally considered an advanced investigation, typically ordered when initial clinical assessments and standard imaging fail to provide a definitive diagnosis.

💡 Note: Success with this diagnostic approach depends heavily on the quality of the scanner and the expertise of the interpreting radiologist. Ensure you are evaluated at a center that explicitly offers peripheral nerve imaging protocols.

In summary, this advanced imaging modality represents a significant leap forward in the ability to visualize the peripheral nervous system with unprecedented clarity. By bridging the gap between functional assessments and structural diagnostics, it empowers clinicians to identify the root causes of nerve-related pain and dysfunction with greater accuracy than ever before. As diagnostic techniques continue to advance, the role of this specialized MRI in guiding treatment and improving quality of life for those suffering from nerve injuries or disorders will undoubtedly become even more central to effective medical care.

Related Terms:

  • magnetic resonance neurography near me
  • neurography mri master
  • mr neurography radiology near me
  • neurogram mri
  • mr neurography sequences
  • mri nerve damage location