Morning Glory Syndrome

Morning Glory Syndrome

When it comes to rare congenital eye conditions, Morning Glory Syndrome stands out as a unique and complex ocular anomaly. Often diagnosed during routine pediatric eye examinations, this condition describes a specific structural malformation of the optic disc. While it can appear intimidating to parents and patients alike, understanding the clinical presentation, associated risks, and management strategies is the first step toward ensuring optimal visual health. By delving into the science behind this condition, we can demystify the diagnosis and highlight why early detection remains a cornerstone of effective ophthalmological care.

What is Morning Glory Syndrome?

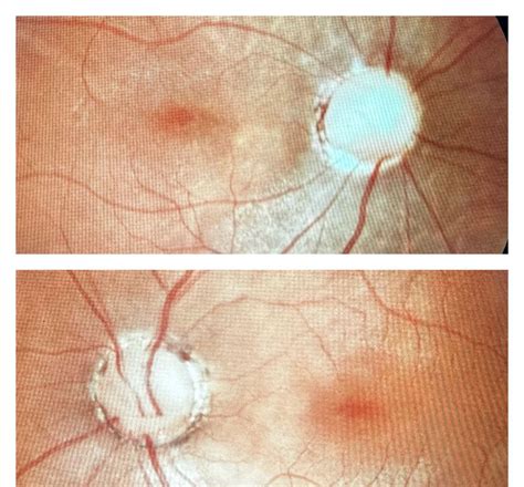
Morning Glory Syndrome, also known as morning glory disc anomaly, is a rare, unilateral—though sometimes bilateral—congenital defect of the optic nerve. It is named for its striking visual resemblance to the morning glory flower. In a healthy eye, the optic nerve head is typically pink, oval, or circular with a clearly defined rim. In contrast, an eye affected by this syndrome presents with an enlarged, excavated, funnel-shaped depression that disrupts the normal anatomy of the optic nerve.

The condition is characterized by several distinct clinical features:

  • Excavated optic disc: A deep, white, or yellowish depression at the site where the optic nerve meets the retina.
  • Peripapillary halo: A ring of depigmented, raised tissue surrounding the optic nerve head.
  • Vascular abnormality: The retinal blood vessels typically emerge from the periphery of the disc rather than the center, appearing straightened and radiating outward like the spokes of a wheel.
  • Central glial tuft: A white, grayish mass of tissue often sitting in the center of the excavation.

Clinical Manifestations and Diagnostic Procedures

Patients with Morning Glory Syndrome often present with decreased visual acuity, which can range from mild impairment to legal blindness in the affected eye. Because the condition is often unilateral, many children may not complain of vision loss, as the unaffected eye compensates for the lack of depth perception or reduced clarity.

Ophthalmologists use a variety of imaging and diagnostic tools to confirm the diagnosis:

  • Ophthalmoscopy: Direct visualization of the retina to identify the characteristic "flower-like" shape of the disc.
  • B-Scan Ultrasonography: Useful for confirming the posterior excavation and ruling out other conditions like staphyloma.
  • MRI or CT Imaging: Essential for investigating systemic associations, such as basal encephalocele or other intracranial anomalies.

⚠️ Note: Because this condition is frequently associated with midline brain defects, a referral to a pediatric neurologist or neuro-radiologist is standard practice upon diagnosis to ensure the overall health of the child.

Associated Ocular and Systemic Conditions

It is important to understand that Morning Glory Syndrome does not exist in a vacuum. The structural changes in the eye are often linked to other health considerations. Recognizing these associations is vital for a comprehensive approach to treatment.

Category Associated Condition
Ocular Strabismus (eye misalignment)
Ocular Amblyopia (lazy eye)
Ocular Retinal detachment
Systemic Basal transsphenoidal encephalocele
Systemic Hypopituitarism or vascular anomalies

The risk of retinal detachment is perhaps the most significant ocular concern. Due to the anatomical weakness in the area surrounding the optic disc, patients are at a higher risk of developing serous retinal detachments. Regular follow-up appointments with a retinal specialist are necessary to monitor any changes in the retina that might necessitate intervention.

Management and Treatment Approaches

There is currently no way to "cure" the structural malformation associated with Morning Glory Syndrome. Instead, management is focused on visual rehabilitation and the prevention of secondary complications. Treatment is highly personalized based on the severity of the patient's symptoms and the presence of associated conditions.

The primary pillars of management include:

  • Amblyopia Therapy: If the affected eye has reduced vision, eye patching or atropine drops may be used on the stronger eye to force the brain to utilize the weaker eye.
  • Strabismus Correction: Surgery may be recommended to improve eye alignment, which helps in both cosmetic appearance and binocular vision development.
  • Monitoring for Retinal Detachment: Routine screenings for rhegmatogenous or serous retinal detachment are critical. Any sudden flashes, floaters, or curtains in the visual field must be reported to a specialist immediately.
  • Refractive Correction: Providing appropriate glasses to manage associated nearsightedness or astigmatism can significantly improve the quality of life for the patient.

💡 Note: Early intervention is crucial. Developing binocular vision (depth perception) is time-sensitive in children, and addressing alignment issues early can lead to better long-term outcomes.

Living with the Condition

Navigating life with Morning Glory Syndrome requires a proactive partnership between parents, educators, and medical professionals. While the visual challenges are real, they are manageable with the right support system. Children with this condition are often able to participate in all normal school and recreational activities, provided that protective eyewear is worn during sports or high-risk physical play to prevent injury to the more vulnerable eye.

Educational support is also a key factor. If a child has limited vision, working with a vision teacher to adjust font sizes or seating arrangements in the classroom can make a world of difference in their academic performance. Furthermore, periodic psychological support can help children adjust to the challenges of having a visual impairment as they navigate their teenage years and beyond.

In summary, while the name suggests a delicate flower, Morning Glory Syndrome represents a significant anatomical variance that requires diligent professional oversight. By focusing on early diagnosis, consistent monitoring for associated risks like retinal detachment, and aggressive management of secondary issues like amblyopia and strabismus, ophthalmologists can help patients achieve the best possible visual potential. While the structural changes to the optic nerve are permanent, the impact on a patient’s life can be minimized through regular check-ups and a focus on functional rehabilitation. Maintaining a steady relationship with a comprehensive eye care team ensures that any changes in visual health are caught early, allowing for timely intervention and sustained ocular wellness throughout the patient’s life.

Related Terms:

  • coloboma vs morning glory disc
  • morning glory vs coloboma
  • morning glory syndrome definition
  • morning glory medical term
  • morning glory syndrome treatment
  • morning glory syndrome meaning