Modic Type 1 Endplate Changes

Modic Type 1 Endplate Changes

Chronic back pain is a condition that affects millions of people worldwide, often leading to a search for definitive answers regarding its root cause. One of the most significant yet frequently misunderstood findings on an MRI scan is Modic Type 1 Endplate Changes. These changes, which appear as specific signal intensity alterations in the vertebral endplates, are often associated with chronic low back pain and disc degeneration. Understanding what these changes mean, why they occur, and how they are managed is crucial for anyone navigating a diagnosis of discogenic pain.

What Are Modic Changes?

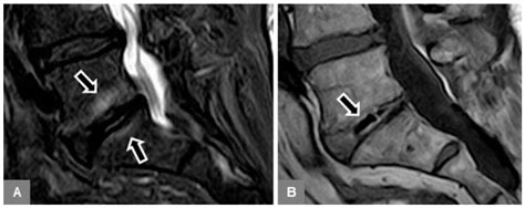
Modic changes are MRI-visible changes in the vertebral endplates—the bony interface between the intervertebral disc and the adjacent vertebral body. Named after Dr. Michael Modic, who first described these patterns in the late 1980s, they are classified into three types based on their appearance on T1 and T2-weighted MRI images. Modic Type 1 Endplate Changes are particularly notable because they represent an active, inflammatory process.

When you look at an MRI report, a radiologist describes these changes based on how the bone marrow reacts to the stress and degeneration of the spine. Type 1 changes are often characterized by:

  • Bone Marrow Edema: The presence of excess fluid in the bone marrow, indicating acute inflammation.
  • Vascularization: Increased blood flow to the area as the body attempts to repair the damaged endplate.
  • Fibrosis: Replacement of normal bone marrow with fibrous tissue.

Unlike Type 2 changes (which show fatty replacement) or Type 3 changes (which show bone sclerosis), Type 1 is clinically significant because it is highly correlated with the presence of pain.

The Connection Between Modic Type 1 and Pain

The primary reason Modic Type 1 Endplate Changes are discussed in clinical settings is their strong association with discogenic low back pain. Researchers believe that when a disc sustains a structural injury—such as a tear in the outer ring (annulus fibrosus)—pro-inflammatory chemicals from the disc core can leak into the vertebral endplate. This triggers a localized inflammatory response, leading to the bone marrow edema that characterizes Type 1 changes.

Because the vertebral endplate is richly innervated with nerves, this inflammation sensitizes these structures, resulting in persistent, deep, and often dull back pain. For many patients, this pain can become chronic and disabling, often worsening with activity or long periods of sitting.

Modic Type MRI Signal Appearance (T1/T2) Pathology
Type 1 Low T1 / High T2 Inflammation / Edema
Type 2 High T1 / High or Iso T2 Fatty Replacement
Type 3 Low T1 / Low T2 Bone Sclerosis

Diagnostic Process and Clinical Imaging

Diagnosing Modic Type 1 Endplate Changes requires high-quality MRI imaging. Because these changes involve fluid and bone marrow, standard X-rays or CT scans are generally insufficient to see the soft-tissue-like inflammation. An MRI provides the necessary detail to differentiate between the active inflammatory state of Type 1 and the more stable, chronic states of Types 2 and 3.

Physicians will typically look for a "bright" signal on T2-weighted images and a "dark" signal on T1-weighted images at the level of the disc space. While these findings are objective, it is essential for clinicians to correlate these images with the patient's physical symptoms. In some cases, Modic changes can be found in asymptomatic individuals, so a comprehensive clinical exam is always required.

Management and Treatment Options

Treating Modic Type 1 Endplate Changes requires a multimodal approach. Since the underlying cause is often linked to disc instability and inflammation, the goal of treatment is to reduce inflammation and stabilize the motion segment. Common strategies include:

  • Conservative Physical Therapy: Focusing on core stabilization and posture correction to reduce shear forces on the lumbar spine.
  • Anti-Inflammatory Protocols: Short-term use of NSAIDs or lifestyle modifications to lower systemic inflammation.
  • Activity Modification: Avoiding high-impact activities that aggravate the inflamed endplate.
  • Regenerative Approaches: Emerging research explores various injections designed to support disc integrity, though these are still subject to ongoing clinical investigation.

⚠️ Note: Always consult with a spine specialist before beginning any new exercise regimen or medication protocol, as every patient's structural anatomy is unique.

Monitoring Progress Over Time

One of the unique aspects of Modic Type 1 Endplate Changes is their dynamic nature. Unlike Type 2 or Type 3, which tend to remain static, Type 1 can evolve. Over time, an inflammatory Type 1 lesion may transition into a Type 2 lesion, indicating that the acute inflammatory phase has subsided and the body has replaced the inflamed bone marrow with fat.

Patients often find that as the inflammation subsides and the tissue transitions to a Type 2 appearance, the intensity of their back pain may decrease. Regular monitoring through follow-up MRIs is sometimes used to track this healing trajectory, providing both the patient and the physician with visual evidence of clinical progress.

Lifestyle Adjustments for Long-Term Spinal Health

Beyond clinical intervention, patients dealing with these changes can benefit significantly from long-term lifestyle changes that protect the spine. Proper spinal hygiene, which includes maintaining a healthy weight to reduce the load on the intervertebral discs and practicing ergonomics during daily tasks, is vital. Strengthening the muscles surrounding the spine provides a "natural corset," which helps to offload the stressed endplates and reduce the likelihood of further structural damage.

Focusing on anti-inflammatory nutrition—such as diets rich in Omega-3 fatty acids, antioxidants, and whole foods—can also play a role in managing systemic inflammation. While not a cure for the structural changes themselves, these habits create an internal environment that is more conducive to healing and pain management.

Understanding Modic Type 1 Endplate Changes is the first step toward managing the complexities of chronic back pain. While the MRI findings may appear concerning, it is important to remember that these changes represent a physiological process that the body is attempting to manage. By combining evidence-based medical treatment with dedicated physical therapy and lifestyle modifications, many patients successfully navigate the challenges associated with this condition. The path to relief is rarely instantaneous, but with a consistent approach focused on stabilization and inflammation reduction, it is possible to regain quality of life and effectively manage symptoms over the long term.

Related Terms:

  • modic type 3 endplate changes
  • modic type 1 endplate replacement
  • modic type 1 endplate degeneration
  • modic changes radiology assistant
  • modic 1 degenerative endplate changes
  • Modic Type II Changes