Midline Shift Brain

Midline Shift Brain

A midline shift brain diagnosis is a critical medical finding that indicates a structural abnormality within the skull. When medical professionals speak of a midline shift, they are describing a physical displacement of the brain tissue past its normal center line. This condition is not a diagnosis in itself, but rather a profound symptom or consequence of an underlying issue, such as a severe brain injury, tumor, or hemorrhage. Because the skull is a rigid container with very limited space, any significant shift in brain structures is considered a medical emergency requiring immediate diagnostic evaluation and intervention to prevent irreversible neurological damage or death.

Understanding the Mechanics of a Midline Shift

To understand why a midline shift in the brain is so dangerous, one must first understand the anatomy of the skull. The brain sits symmetrically on either side of a central structure known as the midline. This area is divided by a tough membrane called the falx cerebri, which separates the two hemispheres of the brain. Under normal circumstances, the pressure on both sides of this membrane is balanced.

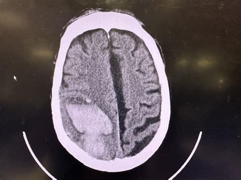
When a space-occupying lesion or excessive swelling (edema) occurs on one side of the brain, it creates pressure that pushes the brain tissue toward the opposite side. As this pressure builds, it shifts the brain's midline structures, including the third ventricle and the septum pellucidum, away from the center. This movement is referred to as a midline shift. If the pressure is not relieved, it can lead to dangerous complications, such as herniation, where brain tissue is forced into areas where it does not belong, potentially compressing vital brainstem functions like breathing and heart rate regulation.

Common Causes of Brain Midline Shift

A midline shift is almost always caused by an increase in intracranial pressure (ICP) resulting from an occupying mass or fluid accumulation. Identifying the root cause is the first step in clinical management.

  • Traumatic Brain Injury (TBI): Severe head trauma, such as car accidents or falls, can cause rapid bleeding (hematomas) or severe swelling, pushing brain tissue to one side.
  • Intracranial Hemorrhage: A ruptured aneurysm or hemorrhagic stroke causes blood to pool within the skull, increasing local pressure.
  • Brain Tumors: Both primary and metastatic brain tumors can grow slowly or rapidly, exerting mass effect and displacing healthy brain tissue.
  • Large Ischemic Strokes: Extensive strokes can lead to significant localized edema, which acts similarly to a mass effect, causing displacement.
  • Brain Abscesses: Localized infections can create pockets of pus that expand and cause structural shift.

Diagnostic Methods and Grading

Physicians rely heavily on neuroimaging to diagnose and quantify a midline shift. The severity is typically measured in millimeters, indicating how far the brain structures have moved from the central axis. A greater shift generally correlates with a poorer prognosis and requires more urgent surgical or medical management.

Imaging Modality Purpose
CT Scan Typically the first line of defense; excellent for identifying acute blood, bone fractures, and rapid structural changes.
MRI Provides high-resolution images, better for identifying the cause of the shift, such as tumors or subtle ischemic damage.

⚠️ Note: Measuring the degree of shift on imaging is crucial for clinical decision-making. A shift of 5mm or more is often categorized as significant and frequently requires surgical intervention.

Clinical Symptoms of Increased Intracranial Pressure

The symptoms associated with a midline shift brain scenario are actually signs of high intracranial pressure rather than the shift itself. These symptoms often develop rapidly and should be treated as a medical emergency.

  • Severe, unrelenting headaches: Often worse in the morning or upon waking.
  • Altered mental status: Confusion, disorientation, or difficulty concentrating.
  • Decreased level of consciousness: Ranging from lethargy to coma.
  • Neurological deficits: Weakness on one side of the body (contralateral to the lesion), vision changes, or pupil dilation.
  • Nausea and vomiting: Often projectile and not associated with gastrointestinal distress.
  • Cushing’s Triad: A late, life-threatening stage characterized by high blood pressure, low heart rate, and irregular breathing.

Treatment and Management Approaches

Management of a brain midline shift is focused on two primary goals: reducing intracranial pressure and treating the underlying cause. The urgency is dictated by the patient's neurological status and the degree of the shift.

Medical Management:

  • Osmotic Therapy: Agents like mannitol or hypertonic saline are administered intravenously to draw fluid out of the brain tissue and reduce swelling.
  • Hyperventilation: In a controlled ICU setting, mechanical ventilation can be adjusted to induce hypocapnia, which causes blood vessels in the brain to constrict, temporarily reducing volume and pressure.
  • Sedation and Therapeutic Coma: Barbiturates may be used to reduce the brain's metabolic demand, thereby decreasing cerebral blood flow.

Surgical Management:

When medical management is insufficient, surgical decompression is often necessary. This may involve a craniotomy to remove a blood clot (hematoma) or tumor, or a decompressive craniectomy, where a portion of the skull is temporarily removed to allow the swollen brain room to expand, thereby relieving pressure on the brainstem.

💡 Note: Decompressive craniectomy is a life-saving procedure but carries risks and involves a complex recovery process, often requiring subsequent cranioplasty to replace the bone flap.

Recovery and Long-Term Outlook

The outlook for a patient with a midline shift depends heavily on the cause, the patient's age, and how quickly the pressure was relieved. Brain tissue is extremely delicate; prolonged compression can lead to secondary damage that is not easily reversible. Patients who survive the acute phase often require extensive rehabilitation, including physical, occupational, and speech therapy to regain lost functions. The journey to recovery is individual, with some patients making near-full recoveries while others may live with permanent cognitive or physical impairments.

Managing a brain midline shift is a complex clinical challenge that demands swift diagnostic action and decisive treatment. By recognizing the underlying causes—whether they stem from trauma, vascular issues, or abnormal growths—medical teams can act rapidly to reduce dangerous intracranial pressure. The integration of advanced imaging, aggressive medical management, and surgical expertise is essential to maximizing the chances of a positive outcome. Ultimately, prompt recognition of the symptoms and immediate access to specialized neurological care are the most critical factors in protecting brain function and improving survival rates in patients experiencing this life-threatening structural displacement.

Related Terms:

  • midline shift brain treatment
  • midline shift brain icd 10
  • midline shift brain ct
  • midline shift brain tumor
  • midline shift brain compression
  • midline shift brain symptoms