Metastatic Thyroid Cancer

Metastatic Thyroid Cancer

Receiving a diagnosis of Metastatic Thyroid Cancer can be an overwhelming experience, filled with uncertainty and complex medical terminology. While the term "metastatic" implies that cancer cells have traveled from the thyroid gland to other parts of the body, it is important to understand that thyroid cancer is often highly treatable, even in its advanced stages. Advances in medical science have provided patients with a robust toolkit of therapies designed to manage the disease, improve quality of life, and extend survival. Navigating this journey requires a solid understanding of what the condition entails, the diagnostic pathways involved, and the diverse treatment modalities available to patients today.

Understanding Metastatic Thyroid Cancer

Thyroid cancer typically originates in the follicular or parafollicular cells of the thyroid gland. When it becomes metastatic, it means the cancer has spread beyond the neck to distant sites such as the lungs, bones, or occasionally the liver or brain. The behavior of Metastatic Thyroid Cancer depends largely on the histological subtype—papillary, follicular, medullary, or anaplastic. Most cases involving metastasis are differentiated thyroid cancers, which tend to grow slowly and respond favorably to systemic treatments compared to other forms of malignancy.

Common symptoms that may warrant an investigation include:

  • Persistent hoarseness or changes in voice quality.
  • Difficulty swallowing or a sensation of fullness in the throat.
  • Unexplained lumps in the neck or collarbone area.
  • Chronic cough unrelated to a cold or respiratory infection.
  • Bone pain or unexplained fractures if the cancer has metastasized to the skeletal system.

Diagnostic Approaches and Staging

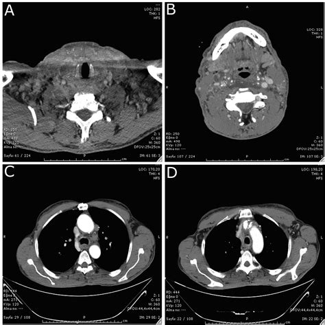
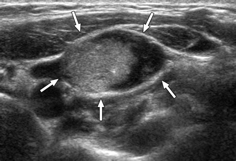
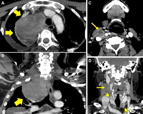
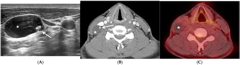
Accurate diagnosis is the cornerstone of effective management. Physicians utilize a combination of imaging and molecular testing to map the extent of the disease. Because thyroid cancer can be slow-growing, imaging plays a vital role in monitoring how the cancer behaves over time.

Diagnostic Tool Purpose
Ultrasound Used to examine the primary tumor and suspicious lymph nodes in the neck.
Radioactive Iodine (RAI) Scan Identifies cells that are capable of taking up iodine, indicating potential spread.
PET/CT Scan Helps locate metabolic activity in areas where the cancer may have spread.
Molecular Testing Analyzes specific genetic mutations (like BRAF or RET) to guide targeted therapies.

⚠️ Note: Always consult with an endocrinologist or an oncology specialist regarding which diagnostic scans are appropriate for your specific clinical profile, as not every patient requires the same intensity of imaging.

Treatment Modalities for Advanced Disease

The treatment plan for Metastatic Thyroid Cancer is rarely “one-size-fits-all.” It is often a multidisciplinary effort involving surgeons, endocrinologists, nuclear medicine specialists, and medical oncologists.

Radioactive Iodine Therapy (RAI)

For differentiated thyroid cancers, RAI remains the gold standard. Since thyroid cells naturally absorb iodine, giving a radioactive form of it can selectively destroy metastatic cells while sparing healthy tissue. This is particularly effective for patients whose tumors demonstrate high iodine avidity.

Targeted Therapy

In cases where the cancer no longer responds to radioactive iodine—a condition known as radioiodine-refractory disease—targeted therapy has revolutionized patient care. These drugs, often in the form of oral kinase inhibitors, work by blocking specific genetic pathways that signal the cancer cells to grow and divide.

Surgery and External Beam Radiation

Surgery may still be utilized to remove large metastatic deposits, especially if they are causing structural damage or compression in the neck or bone. External beam radiation is frequently used to manage localized pain caused by bone metastases or to prevent neurological complications by shrinking tumors near the spinal cord.

Living with Advanced Thyroid Cancer

Managing the emotional and lifestyle impacts of Metastatic Thyroid Cancer is just as important as the clinical treatment. Many patients find that joining support groups or engaging in palliative care—which focuses on symptom relief rather than just disease eradication—significantly improves their quality of life. Maintaining a balanced diet, staying physically active as permitted by your medical team, and adhering to thyroid hormone replacement therapy are essential components of long-term health maintenance.

💡 Note: Patients undergoing systemic treatment should maintain an open line of communication with their medical team regarding side effects like fatigue, skin changes, or blood pressure fluctuations, as these can often be managed with supportive medications.

The Future of Care

Research is continuously evolving, and clinical trials are currently exploring new combinations of immunotherapy and novel targeted agents to combat refractory thyroid cancers. The goal is to transition metastatic disease into a manageable, chronic condition rather than an acute crisis. By staying informed about the latest research and working closely with a specialized multidisciplinary team, patients can feel empowered to make decisions that prioritize their longevity and well-being. Focusing on early detection and personalized treatment remains the most effective strategy to manage this complex disease effectively.

In summary, while the presence of Metastatic Thyroid Cancer necessitates a serious and comprehensive approach to healthcare, it is a condition for which there is significant hope. Modern medical advancements have shifted the focus toward precision medicine, where genetic markers dictate the specific path of treatment. By integrating conventional therapies like surgery and radioactive iodine with cutting-edge targeted drugs, clinicians are helping patients maintain their quality of life for years. Empowerment through education, active participation in one’s care plan, and reliance on a supportive healthcare team are the most valuable assets a patient can have. As ongoing clinical research continues to unveil more effective therapies, the horizon for those managing advanced thyroid disease remains increasingly optimistic.

Related Terms:

  • metastatic thyroid cancer radiology
  • metastatic thyroid cancer icd 10
  • metastatic papillary thyroid cancer
  • metastatic thyroid cancer prognosis
  • metastatic thyroid cancer death
  • thyroid cancer stages