Mesial Temporal Sclerosis

Mesial Temporal Sclerosis

Mesial Temporal Sclerosis (MTS) represents the most common pathological finding in individuals suffering from drug-resistant temporal lobe epilepsy. Characterized by the scarring and shrinkage of the hippocampus—a vital brain structure responsible for memory formation and emotional regulation—this condition poses significant challenges for those affected. Understanding the nuances of this condition, from its underlying causes to the latest advancements in surgical management, is essential for patients, caregivers, and medical professionals alike. By exploring the pathophysiology, diagnostic methods, and treatment landscapes, we can better navigate the complexities associated with this form of hippocampal epilepsy.

Understanding the Pathophysiology of Mesial Temporal Sclerosis

The core of Mesial Temporal Sclerosis lies in the structural damage to the hippocampus located within the medial temporal lobe. Over time, the neurons in this region undergo a process of atrophy and gliosis, where healthy neural tissue is replaced by scar tissue. This structural degradation disrupts the delicate electrical balance of the brain, leading to recurrent, unprovoked seizures.

Several factors are believed to contribute to the development of this condition, often beginning in early childhood. Common precursors include:

  • Prolonged Febrile Seizures: High fevers in early childhood that last for an extended duration are a frequent historical link to later MTS.
  • Traumatic Brain Injury: Significant head trauma can trigger the degenerative process in the temporal lobe.
  • Brain Infections: Conditions like encephalitis or meningitis may lead to inflammation that damages hippocampal structures.
  • Genetic Predisposition: Emerging research suggests that certain individuals may be genetically more susceptible to hippocampal injury following an initial insult.

Clinical Presentation and Diagnostic Approaches

Patients with Mesial Temporal Sclerosis typically present with focal seizures. These seizures often begin with a distinct "aura," which may manifest as a sudden feeling of déjà vu, an intense sensation of fear, or an unusual rising feeling in the stomach (epigastric sensation). Following the aura, the patient may lose awareness, exhibit automatisms—such as lip-smacking or repetitive hand movements—and may not remember the event afterward.

Accurate diagnosis is paramount for determining the best course of action. Neurologists utilize several key diagnostic tools:

Diagnostic Tool Purpose in MTS Evaluation
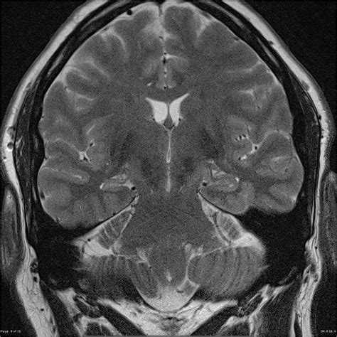
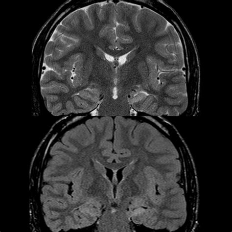
MRI (Magnetic Resonance Imaging) The "Gold Standard" to visualize hippocampal atrophy, volume loss, and increased signal intensity.
Video-EEG Monitoring Records brain waves during seizures to confirm the seizure origin in the temporal lobe.
Neuropsychological Testing Assesses memory and cognitive function, as the hippocampus is critical for memory processing.
PET/SPECT Scans Helps visualize metabolic activity in the brain, often showing reduced glucose uptake in the affected region.

⚠️ Note: High-resolution MRI protocols, specifically designed for epilepsy (often called an epilepsy protocol MRI), are essential for detecting subtle signs of MTS that might be missed on standard clinical scans.

The Role of Pharmacotherapy

The initial treatment strategy for Mesial Temporal Sclerosis involves the use of Anti-Seizure Medications (ASMs). While many patients achieve seizure control with medication, it is estimated that a significant portion of those with MTS suffer from drug-resistant epilepsy, meaning they fail to achieve freedom from seizures despite trying two or more appropriately chosen medications.

When medication fails, the focus shifts toward evaluating the patient for alternative therapies. Managing medication side effects—such as fatigue, dizziness, or mood changes—is a critical part of the ongoing care plan, requiring close coordination with an epilepsy specialist to optimize dosing and minimize interference with daily life.

Surgical Interventions and Future Directions

For patients who are refractory to medication, epilepsy surgery offers the best chance for long-term seizure freedom. The most common surgical approach is the Anterior Temporal Lobectomy (ATL) or Selective Amygdalohippocampectomy. These procedures involve the precise removal of the damaged hippocampal tissue.

The success rates for these surgeries are remarkably high, with many patients experiencing complete seizure freedom post-operatively. However, the decision to proceed with surgery is complex and involves:

  • Detailed Pre-surgical Evaluation: Ensuring that the seizure focus is localized entirely to the sclerotic hippocampus.
  • Functional Mapping: Evaluating the potential impact on memory and language, particularly if the surgery is performed on the dominant hemisphere.
  • Multidisciplinary Team Approach: Collaboration between neurologists, neurosurgeons, neuropsychologists, and neuroradiologists.

Technological advancements continue to shape the field. Minimally invasive techniques, such as Laser Interstitial Thermal Therapy (LITT), are increasingly used to treat Mesial Temporal Sclerosis. LITT allows surgeons to destroy the sclerotic tissue using a laser probe inserted through a tiny incision, significantly reducing recovery times and minimizing the risk to surrounding healthy brain structures.

💡 Note: While surgery can provide excellent seizure control, it is not a "quick fix" for everyone; a thorough evaluation by a comprehensive epilepsy center is necessary to weigh the benefits against potential risks for each individual patient.

Living Well with Epilepsy

Living with a diagnosis of Mesial Temporal Sclerosis involves more than just clinical management. It requires a holistic approach that prioritizes mental health, physical safety, and social support. Regular follow-ups with a neurologist, maintaining a seizure diary, and adhering strictly to medication schedules remain the cornerstones of successful disease management. Furthermore, connecting with patient advocacy groups can provide invaluable emotional support and practical tips for navigating the challenges of daily life with epilepsy.

Ultimately, managing Mesial Temporal Sclerosis requires a proactive and informed partnership between the patient and their medical team. Through early detection, precise diagnostic imaging, and the strategic application of both medication and advanced surgical options, many individuals can regain control over their lives. As research continues to evolve, our understanding of this condition deepens, paving the way for more personalized treatment plans and improved outcomes for those facing the challenges of temporal lobe epilepsy. By maintaining focus on medical progress and consistent care, patients can look forward to a future where their condition is well-managed, allowing them to lead active and fulfilling lives.

Related Terms:

  • mesial temporal sclerosis icd 10
  • mesial temporal sclerosis radiopaedia
  • mesial temporal sclerosis causes
  • mesial temporal sclerosis treatment
  • mesial temporal sclerosis symptoms
  • focal cortical dysplasia