Medial Tibial Plateau

Medial Tibial Plateau

The knee joint is a complex masterpiece of engineering, acting as the primary hinge that allows us to walk, run, and jump with precision. Among its most critical components is the medial tibial plateau, a load-bearing surface located on the inner top portion of the shinbone (tibia). When we discuss knee stability and weight distribution, this specific area serves as the foundation for the femur, playing a vital role in every step we take. Understanding the anatomy, potential injuries, and recovery protocols associated with this region is essential for anyone dealing with persistent knee pain or recovering from a traumatic injury.

Understanding the Anatomy of the Medial Tibial Plateau

Knee joint anatomy highlighting the tibial plateau

The tibia is the larger of the two bones in your lower leg, and its top surface, the tibial plateau, is divided into two sections: the lateral (outer) and the medial tibial plateau (inner). This surface is covered in articular cartilage, a smooth, tough tissue that allows the femur to glide seamlessly over the tibia during movement. The medial side is generally larger and slightly concave compared to the lateral side, which helps accommodate the curvature of the medial femoral condyle.

Also read: Face Down Chairs For Eye Surgery

Because the medial side of the knee naturally bears more weight during certain phases of the gait cycle, it is a common site for degenerative changes. When this surface becomes damaged due to acute trauma or long-term wear and tear, it can lead to significant mobility issues and chronic pain.

Common Injuries and Conditions

Injuries to the medial tibial plateau are often categorized based on the mechanism of injury—whether they are acute, such as a high-impact fall, or chronic, stemming from years of repetitive stress.

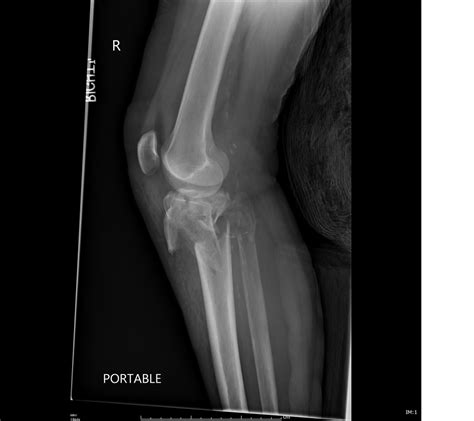
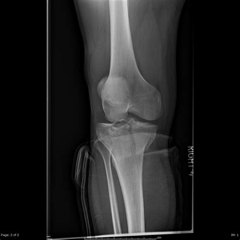
  • Tibial Plateau Fractures: These are typically caused by high-energy trauma, such as car accidents or falls from heights. A fracture here disrupts the smooth cartilage surface, potentially leading to post-traumatic arthritis.
  • Osteoarthritis: Because of the natural distribution of weight, the medial compartment is the most common site for knee osteoarthritis. Over time, the cartilage wears thin, causing bone-on-bone friction.
  • Bone Bruising or Edema: Often occurring alongside ligament tears (like an ACL injury), these bruises within the bone marrow of the medial plateau can be incredibly painful and slow to heal.
  • Stress Fractures: Athletes, particularly long-distance runners, may develop microscopic cracks in the bone due to repetitive impact, leading to focal point tenderness.

⚠️ Note: If you experience sudden, sharp pain accompanied by significant swelling or an inability to bear weight on your leg, seek medical attention immediately, as this may indicate an acute fracture requiring urgent imaging.

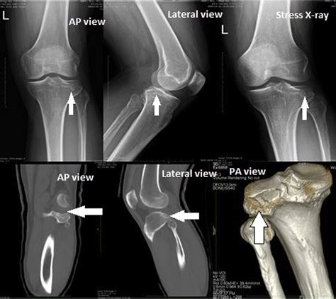
Diagnostic Procedures

To evaluate the medial tibial plateau, orthopedic specialists utilize a combination of clinical examinations and diagnostic imaging. Because the knee joint is surrounded by soft tissues, X-rays alone may not reveal the full extent of an injury.

Diagnostic Tool Purpose
X-ray Best for identifying fractures, major bone displacement, and joint space narrowing.
MRI Essential for viewing soft tissues, cartilage defects, and bone marrow edema.
CT Scan Provides detailed 3D mapping of complex or comminuted fractures for surgical planning.

Treatment Strategies and Management

Treatment for conditions affecting the medial tibial plateau is highly individualized, depending on the severity of the damage and the patient's activity level. Conservative management is almost always the first line of defense for non-displaced fractures or mild arthritis.

Conservative Approaches

  • Offloading: Using crutches or a knee brace to reduce the weight applied to the medial compartment.
  • Physical Therapy: Focusing on quadriceps and hamstring strengthening to provide better structural support for the knee.
  • Anti-inflammatory Medications: Helping to manage pain and swelling during the acute phase of injury.
  • Injections: Corticosteroid or hyaluronic acid injections may be used to provide lubrication and manage inflammation in osteoarthritic patients.

Surgical Interventions

When conservative efforts fail or if the medial tibial plateau is displaced significantly by a fracture, surgery becomes necessary. This might involve Open Reduction and Internal Fixation (ORIF) to restore the anatomical alignment of the bone using plates and screws. In advanced cases of osteoarthritis, a partial or total knee replacement may be the only way to restore function and alleviate chronic discomfort.

💡 Note: Early mobilization following surgery is critical. Consult your surgeon about specific protocols, as "early" can range from immediate gentle range-of-motion exercises to non-weight-bearing restrictions for six to twelve weeks.

Recovery and Long-term Maintenance

Rehabilitation after an injury to the medial tibial plateau is a marathon, not a sprint. The primary goal of recovery is to restore joint congruity and muscle strength without overloading the healing tissues. During the early stages, the focus is on reducing swelling and maintaining mobility through gentle passive range-of-motion exercises. As the bone heals, the program transitions into functional strengthening, proprioception training, and balance work.

Long-term maintenance requires lifestyle modifications, particularly for those prone to osteoarthritis. Low-impact activities such as swimming, cycling, or yoga are excellent alternatives to high-impact sports like basketball or long-distance running. Maintaining a healthy weight is perhaps the most significant factor in reducing the force exerted on the medial compartment, which can drastically slow the progression of degenerative joint disease.

Staying informed about the health of your knee joint is the best way to ensure longevity and mobility. Whether you are dealing with a diagnosed condition or simply managing knee health as you age, paying attention to the signals your body provides—such as stiffness, clicking, or localized inner-knee pain—can help you catch issues before they become debilitating. By integrating strength training, mindful movement, and early clinical intervention when necessary, you can protect the integrity of your tibial surface and maintain an active lifestyle for years to come. Ultimately, the health of your knees dictates your ability to move through the world, making the care of critical structures like the medial tibial plateau a top priority for anyone invested in their physical longevity.

Related Terms:

  • where is the tibial plateau
  • medial tibial plateau fracture
  • medial tibial plateau insufficiency fracture
  • medial tibial plateau anatomy
  • medial tibial plateau contusion
  • sclerosis medial tibial plateau