Liver On Ct

Liver On Ct

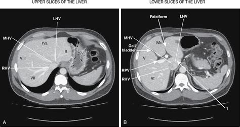
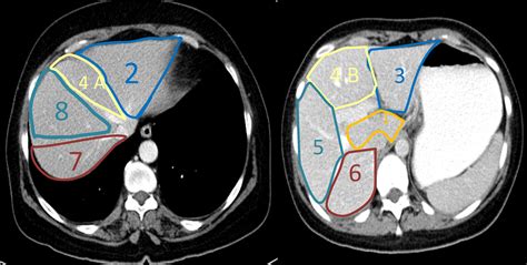
Understanding the diagnostic imaging of the abdominal region is crucial for both healthcare providers and patients seeking clarity on their health. Among the various imaging modalities, the liver on CT (computed tomography) scan remains one of the most reliable and frequently utilized tools for assessing the anatomy, structure, and potential pathologies of this vital organ. A CT scan uses specialized X-ray technology to produce detailed, cross-sectional images of the liver, allowing radiologists to identify abnormalities such as tumors, cysts, inflammation, or structural changes that might not be visible through other examination methods.

Why Is a Liver CT Scan Performed?

Physicians typically order a CT scan of the abdomen, specifically focusing on the liver, when they need a high-resolution view to investigate specific symptoms or monitor existing conditions. Because the liver on CT provides such granular detail, it is the gold standard for staging cancers, detecting liver cirrhosis, and identifying the source of unexplained abdominal pain. Common reasons for this diagnostic test include:

  • Evaluating abnormal liver function tests: When blood work indicates potential liver distress, a scan helps pinpoint the cause.
  • Detecting liver masses: Distinguishing between benign cysts, hemangiomas, and malignant tumors.
  • Trauma assessment: Quickly identifying internal bleeding or organ lacerations after an accident.
  • Pre-surgical planning: Helping surgeons map out the liver's blood vessels and structural anatomy before procedures.
  • Monitoring treatment: Observing how a liver tumor responds to chemotherapy or radiation therapy.

The high-contrast resolution allows radiologists to differentiate between healthy tissue and diseased tissue based on how the liver absorbs contrast dye, which is often administered during the procedure to enhance visibility.

Understanding the Imaging Process

The process of capturing the liver on CT is relatively fast and painless, though it requires specific preparation to ensure the best possible images. In many cases, patients are asked to fast for several hours before the procedure. Additionally, contrast dye may be injected intravenously to highlight blood flow within the liver, a technique essential for detecting vascular tumors or inflammatory conditions.

Phase of Scan Purpose
Non-contrast Provides a baseline view of the liver density and detects calcifications.
Arterial Phase Highlights blood flow arriving via the hepatic artery; useful for identifying hypervascular tumors.
Portal Venous Phase Visualizes blood returning via the portal vein; ideal for general liver parenchyma assessment.
Delayed Phase Helps in characterizing specific lesions like cholangiocarcinoma.

⚠️ Note: Always inform your radiologist or physician about any allergies to contrast dye (iodine-based) or potential kidney issues, as the contrast medium can impact renal function in vulnerable patients.

Interpreting Liver Anomalies on CT

When a radiologist reviews the liver on CT, they look for specific "attentuation" patterns. Healthy liver tissue has a uniform appearance. Deviations from this indicate pathology. For example, fatty liver disease (steatosis) often presents as a darker, low-density appearance compared to the surrounding spleen or vessels. Conversely, iron overload (hemochromatosis) causes the liver to appear significantly brighter (more dense) on a scan.

Lesions detected during a scan are categorized by their density and how they "enhance" (light up) after the contrast dye is injected. A simple cyst, for instance, will remain dark and show no enhancement, while a hemangioma typically shows peripheral, nodular enhancement that slowly fills toward the center. Malignant tumors often exhibit "wash-out," where the contrast enters the lesion quickly but leaves it faster than the surrounding healthy liver tissue.

Safety and Considerations

While the liver on CT is an essential diagnostic tool, it does involve exposure to ionizing radiation. Advances in modern technology have significantly reduced the required radiation dose while maintaining, and often improving, image quality. However, doctors always perform a risk-benefit analysis before ordering the scan, especially for pediatric patients or individuals who require frequent follow-up imaging. Alternative modalities like MRI or ultrasound might be suggested if radiation exposure is a primary concern for the patient.

ℹ️ Note: If you have metallic implants or medical devices, mention this to the radiology team, as certain implants can cause "artifacts" (distortions) on the CT image that may obscure part of the liver.

Preparation and Post-Procedure Expectations

Preparing for your scan is straightforward. You will typically be instructed to wear comfortable, loose-fitting clothing without metal zippers or buttons. You may be asked to change into a hospital gown. If you are claustrophobic, speak with your healthcare provider in advance, as they may offer strategies to help you remain calm during the brief period you are inside the scanner. After the scan, if contrast was used, you are usually encouraged to drink plenty of water to help your kidneys flush the dye from your system efficiently.

The results of the liver on CT are usually compiled into a report by a radiologist and sent to the ordering physician within a few days. It is important to remember that a scan is only one part of the diagnostic puzzle. Physicians integrate the imaging findings with your clinical history, physical examination, and blood test results to arrive at a definitive diagnosis or treatment plan.

Ultimately, the role of a CT scan in liver diagnostics remains irreplaceable due to its speed, accuracy, and depth of information. Whether the clinical concern involves a potential mass, trauma, or a chronic liver condition, the clear visualization provided by this technology allows medical teams to make informed decisions swiftly. By following preparation instructions and communicating openly with your medical team regarding your health history and any allergies, you ensure the most effective diagnostic outcome. Always discuss the findings of your imaging report with your doctor, who can provide the necessary context regarding your specific health status and any next steps required to manage or treat your condition effectively.

Related Terms:

  • ct scan of liver normal
  • ct scan to check liver
  • liver abnormalities on ct scan
  • ct scan for liver problems
  • ct scan for liver disease
  • ct scan for liver