Lipoma Vs Liposarcoma

Lipoma Vs Liposarcoma

Discovering a lump under your skin can be a source of significant anxiety, leading many people to wonder about the nature of these soft tissue growths. The most common concern, especially when distinguishing between benign and malignant masses, is the comparison of lipoma vs liposarcoma. While both are related to fat tissue, they represent fundamentally different medical conditions with vastly different implications for your health. Understanding the key differences, symptoms, and diagnostic pathways is essential for peace of mind and appropriate medical management.

What is a Lipoma?

A lipoma is a very common, benign (noncancerous) tumor made up of fat cells. These growths are typically soft, doughy to the touch, and easily movable under the skin. They grow slowly and are most often found in the subcutaneous tissue—the layer of fat just beneath the skin—usually on the neck, shoulders, back, abdomen, or arms.

Most lipomas are harmless and do not require treatment unless they become painful, restrict movement, or cause cosmetic concern. Because they are noncancerous, they do not spread to other parts of the body.

What is a Liposarcoma?

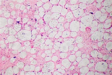
In contrast, a liposarcoma is a malignant (cancerous) tumor that arises from fat cells. Unlike lipomas, liposarcomas are rare. They belong to a category of cancers known as soft tissue sarcomas. While lipomas occur near the surface, liposarcomas often develop deep within the soft tissues of the body, such as deep in the thigh, the retroperitoneum (the area behind the abdominal cavity), or the limbs.

Liposarcomas are dangerous because they can grow rapidly, invade surrounding tissues, and have the potential to metastasize (spread) to other parts of the body, particularly the lungs.

Key Differences: Lipoma vs Liposarcoma

Distinguishing between these two can be challenging because they may look similar in early stages. However, specific clinical features often help healthcare providers determine the likelihood of malignancy. The table below outlines the primary differences between the two.

Feature Lipoma (Benign) Liposarcoma (Malignant)
Growth Rate Slow Rapid
Consistency Soft, doughy Firm, hard, or irregular
Mobility Freely movable Often fixed or deeply tethered
Pain Usually painless Often painful as it grows/presses on nerves
Location Subcutaneous (near surface) Deep tissue (often deep thigh, abdomen)

Risk Factors and Warning Signs

While most lumps are benign, it is crucial to recognize when a lump warrants a professional medical evaluation. You should monitor for specific red flags that indicate a need for further testing.

  • Rapid Size Increase: A lump that noticeably grows in size over a few weeks or months.
  • Deep Location: A lump that feels like it is located deep beneath the muscle rather than just under the skin.
  • Firmness: If the mass feels hard, fixed in place, or irregular rather than soft and doughy.
  • Pain: While lipomas can be painful if they compress a nerve, persistent or worsening pain associated with a lump is a sign that requires investigation.
  • Size: Lipomas are usually smaller than 5 centimeters. A mass larger than 5-10 centimeters is statistically more suspicious.

💡 Note: Do not attempt to "self-diagnose" or press aggressively on a mass. If you notice a new or rapidly changing lump, schedule an appointment with your primary care physician or a dermatologist promptly.

Diagnostic Procedures

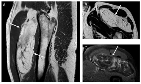
When you present a doctor with a lump, they will perform a physical examination to feel the texture, mobility, and depth of the mass. To confirm the diagnosis in the context of lipoma vs liposarcoma, several imaging and procedural tools are used:

  • Ultrasound: A quick, non-invasive way to see if the mass is fluid-filled (like a cyst) or solid (like a lipoma or liposarcoma).
  • MRI (Magnetic Resonance Imaging): This is the gold standard for evaluating soft tissue masses. It provides detailed images that help radiologists distinguish between simple fat tissue and more complex, suspicious-looking tumors.
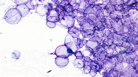
  • Biopsy: A sample of the tissue may be taken using a needle (core needle biopsy) or through a minor surgical excision to examine the cells under a microscope. This is the only definitive way to confirm if a mass is malignant.

Treatment Pathways

Because the nature of the two conditions differs, so does the treatment approach. A benign lipoma that is not bothersome can often be left alone. If it is removed, it is typically a simple outpatient procedure. Conversely, a liposarcoma requires a multidisciplinary approach involving surgeons, oncologists, and radiation specialists.

Treatment for liposarcoma may include surgical removal with wide margins to ensure all cancer cells are cleared, radiation therapy to kill remaining cells, and, in some cases, chemotherapy, depending on the grade and stage of the tumor.

💡 Note: Always undergo a pathology report after the surgical removal of any mass, even if it appears to be a benign lipoma. This is the final step in ensuring the tissue is exactly what your clinical team expected.

Distinguishing between these two conditions is fundamentally about risk assessment and proactive care. While the vast majority of soft tissue lumps are benign lipomas, the rare possibility of a liposarcoma necessitates that any new, rapidly growing, or firm mass be evaluated by a medical professional. Early detection is a critical factor in successful outcomes for soft tissue sarcomas. By staying informed about the physical signs and following through with appropriate imaging and diagnostic testing, you can ensure that any health concerns are addressed with the proper level of care. If you have a persistent lump, prioritize a consultation with a healthcare provider to obtain an accurate diagnosis and appropriate guidance.

Related Terms:

  • liposarcoma pictures
  • liposarcoma symptoms
  • liposarcoma vs lipoma mri
  • liposarcoma vs lipoma ultrasound images
  • liposarcoma cancer
  • what is liposarcoma