Lichen Planus Vag

Lichen Planus Vag

Discovering unexplained discomfort, itching, or changes in your intimate health can be a source of significant anxiety. For many women, searching for answers regarding these symptoms leads to the discovery of Lichen Planus Vag, commonly referred to as vulvovaginal lichen planus. This is a chronic inflammatory condition that primarily affects the mucous membranes of the genital area. While it is not widely discussed in everyday conversation, it is a recognized dermatological and gynecological condition that requires understanding, proper diagnosis, and a tailored management plan to improve quality of life.

Understanding Lichen Planus of the Vulva and Vagina

Lichen planus is a T-cell mediated autoimmune disorder, meaning the body’s immune system mistakenly attacks its own healthy cells. When it specifically targets the vulvar and vaginal areas, it is classified as a subtype of mucosal lichen planus. Unlike skin-based lichen planus, which often presents as itchy, flat-topped purple bumps, Lichen Planus Vag manifests in much more sensitive tissue.

The condition can cause the tissue to become thin, inflamed, and fragile. If left unmanaged, it can lead to scarring, adhesion formation, and significant sexual discomfort. Because it is a chronic condition, the goal of medical management is not necessarily a permanent "cure," but rather the effective suppression of inflammation to maintain tissue health and relieve symptoms.

Common Symptoms to Recognize

The symptoms of Lichen Planus Vag can vary significantly from person to person, ranging from mild irritation to severe, debilitating pain. Being able to recognize these signs is crucial for early intervention.

  • Persistent Burning or Stinging: This is often reported as a constant, low-grade discomfort or sharp, sudden stinging sensations in the vulvar or vaginal region.
  • Itching: While common, it is often secondary to the inflammation and burning.
  • Dyspareunia: Pain during intercourse is a very frequent complaint due to the sensitivity and potential fragility of the vaginal walls.
  • Vaginal Discharge: Some women may experience a yellowish or thin discharge, which can sometimes be confused with a yeast infection or bacterial vaginosis.
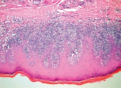
  • Tissue Changes: Visually, the area may appear bright red, raw, or have thin, white, lace-like streaks (often called Wickham striae). In advanced cases, the vaginal opening may narrow (stenosis), or the labia may stick together (adhesions).

⚠️ Note: If you experience persistent vaginal or vulvar pain, avoid self-treating with over-the-counter anti-fungal or anti-bacterial creams, as these can further irritate inflamed tissue without treating the underlying autoimmune process.

Diagnostic Procedures

Because the symptoms of Lichen Planus Vag overlap with other conditions—such as lichen sclerosus, yeast infections, or atrophic vaginitis—a clinical diagnosis is essential. Gynecologists or dermatologists usually employ a specific process to confirm the condition:

Diagnostic Step Purpose
Physical Examination Visual assessment for characteristic red patches, white lacy patterns, or scarring.
Biopsy A small tissue sample is taken to definitively rule out other conditions and confirm the presence of lichen planus.
Microscopic Review Pathologists analyze the tissue cells to identify the specific T-cell patterns associated with the disorder.

Management and Treatment Strategies

Treating Lichen Planus Vag requires a delicate approach. Because the vaginal tissue is highly absorbent and sensitive, the choice of medication is vital. Treatment is generally long-term and focuses on stopping the immune system from attacking the mucosal lining.

Topical Corticosteroids: High-potency, topical steroid creams or ointments are the gold standard for treatment. Because of the sensitivity of the vaginal area, your doctor will prescribe a specific type to be applied carefully to the vulva and sometimes internally via an applicator.

Topical Calcineurin Inhibitors: For some patients, medications like tacrolimus or pimecrolimus are used as alternatives to steroids. These work by modulating the local immune response and are often preferred for long-term maintenance to avoid the skin-thinning effects of prolonged steroid use.

Systemic Medications: In severe cases that do not respond to topical treatments, doctors may prescribe oral medications that suppress the immune system, such as hydroxychloroquine, methotrexate, or mycophenolate mofetil.

Lifestyle Considerations for Better Comfort

Beyond medical interventions, modifying your daily routine can make a substantial difference in managing Lichen Planus Vag flares and overall comfort.

  • Gentle Hygiene: Use only warm water or soap-free, pH-balanced cleansers. Avoid harsh soaps, body washes, or bubble baths that can strip the natural protective barrier.
  • Clothing Choices: Switch to 100% cotton underwear to allow for breathability. Avoid tight-fitting leggings, synthetic fabrics, or restrictive clothing that increases moisture and friction.
  • Lubrication: If intercourse is attempted, use high-quality, water-based, or silicone-based lubricants to prevent micro-tears in fragile vaginal tissue. Avoid flavored or warming lubricants, which contain irritants.
  • Avoiding Irritants: Many products marketed for feminine hygiene—such as douches, sprays, and scented pads—are major irritants for those with lichen planus. Avoid these entirely.

💡 Note: Consistent communication with your healthcare provider is essential. If you notice a sudden change in symptoms, increased burning, or bleeding, report it immediately to adjust your treatment plan.

Addressing Potential Complications

Ignoring or delaying the treatment of Lichen Planus Vag can lead to structural changes. Chronic inflammation may cause the tissue to scar, which can result in the narrowing of the vaginal opening or the fusing of the labia. In some cases, the condition is also associated with a slightly increased risk of squamous cell carcinoma of the vulva, which is why regular follow-up examinations with a specialist are strongly recommended, even when symptoms are well-controlled.

Managing this condition is a marathon, not a sprint. By prioritizing gentle self-care, strictly adhering to the treatment protocol prescribed by your medical professional, and staying proactive about follow-up appointments, you can minimize the impact of this condition on your daily life. While Lichen Planus Vag presents challenges, it is highly treatable, and with the right approach, many individuals successfully manage their symptoms and maintain a healthy, comfortable lifestyle.

Related Terms:

  • Lichen Planus Atrophicus
  • Lichen Planus Cure
  • Lichen Planus Dental
  • Lichen Planus Dermatitis
  • Treatment for Lichen Planus
  • Lichen Planus Gingiva