Lesion On Liver

Lesion On Liver

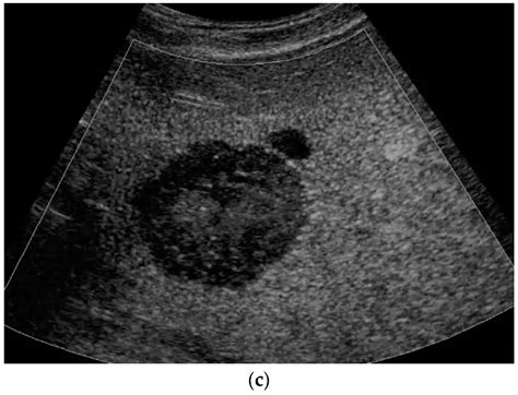
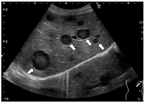
Discovering that you have a lesion on liver can be an unsettling experience, often leading to immediate anxiety about potential health implications. However, it is crucial to understand that not all liver lesions are cancerous or dangerous. In medical terms, a lesion is simply an area of tissue that looks different from the surrounding tissue, and when it occurs in the liver, it can range from benign, harmless cysts to more serious conditions that require active medical intervention. Advances in imaging technology have made it increasingly common for these spots to be detected incidentally during routine ultrasounds, CT scans, or MRIs performed for unrelated abdominal complaints.

Understanding Liver Lesions: What Are They?

A lesion on liver acts as a catch-all term for any abnormal area detected within the liver organ. Because the liver filters blood and performs complex metabolic functions, it is a frequent site for various tissue changes. These lesions are broadly categorized into two main types: benign (non-cancerous) and malignant (cancerous). Most liver lesions identified in clinical practice turn out to be benign, meaning they do not spread to other parts of the body and often require no treatment.

Physicians differentiate these lesions based on their appearance on imaging studies, the patient's medical history, and sometimes blood tests to check for tumor markers. Understanding the distinction is the first step toward effective management and peace of mind.

Common Types of Benign Liver Lesions

The vast majority of findings categorized as a lesion on liver are benign. These are typically growths that do not cause significant symptoms and are often discovered by chance. Common types include:

  • Hemangiomas: These are the most common type of benign liver tumor, consisting of a tangle of blood vessels. They are usually small and rarely cause symptoms.
  • Focal Nodular Hyperplasia (FNH): This is the second most common benign liver lesion. It is a cluster of non-cancerous liver cells that often has a central "scar" appearance on imaging.
  • Hepatic Adenomas: While rare, these are solid tumors that can sometimes be associated with the use of oral contraceptives or anabolic steroids. Because they carry a slight risk of rupture or transformation into cancer, they are monitored more closely.
  • Liver Cysts: These are fluid-filled sacs within the liver. They are generally harmless unless they grow large enough to cause discomfort by pressing on surrounding organs.

Distinguishing Between Benign and Malignant Lesions

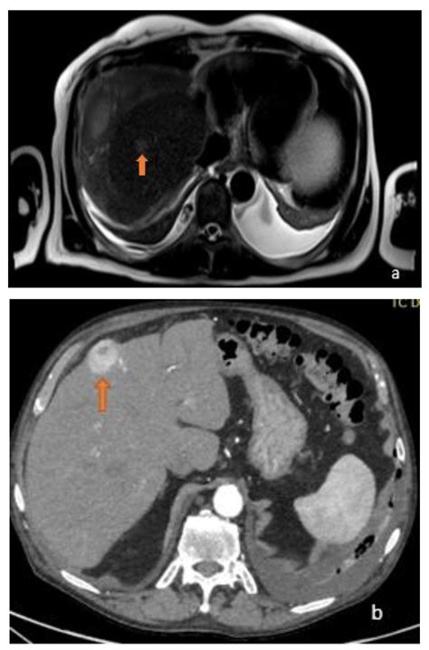
When a doctor identifies a lesion on liver, the diagnostic process aims to rule out malignancy. Malignant lesions can be either primary (starting in the liver, such as hepatocellular carcinoma) or secondary (metastatic, meaning cancer that spread from another organ like the colon, breast, or lung). The following table summarizes key differences often evaluated by medical professionals.

Feature Benign Lesions Malignant Lesions
Growth Rate Usually very slow or stable Often rapid
Borders Well-defined, smooth Irregular or invasive
Symptoms Typically asymptomatic Pain, weight loss, jaundice
Clinical Impact Generally harmless Requires immediate treatment

⚠️ Note: Only a qualified healthcare professional can determine the nature of a liver lesion through specialized imaging like a contrast-enhanced MRI or, in rare cases, a biopsy. Never attempt to self-diagnose based on symptoms alone.

Diagnostic Procedures and Monitoring

Once a lesion on liver is identified, your doctor will likely follow a structured diagnostic pathway. This ensures that even if the lesion is likely benign, no serious pathology is overlooked. Typical steps include:

  • Detailed Imaging: A dedicated liver protocol CT scan or an MRI with liver-specific contrast agents can provide high-resolution details about the lesion’s blood supply and cellular structure.
  • Blood Tests: Doctors may order Liver Function Tests (LFTs) and tumor markers such as Alpha-fetoprotein (AFP) to evaluate the health of the liver and screen for markers associated with malignancy.
  • Medical History Review: Your doctor will assess your history of liver disease (such as cirrhosis or hepatitis), alcohol use, and medication history, as these factors influence the risk profile of the lesion.
  • Watchful Waiting: If the lesion has classic features of a benign growth, the doctor may simply schedule a follow-up scan in six to twelve months to ensure it remains stable.

When to Seek Urgent Medical Attention

While many lesions are incidental findings, you should contact your healthcare provider if you experience symptoms associated with liver dysfunction. These warning signs may indicate that a lesion on liver is large enough to cause physical pressure or that there is an underlying issue needing urgent care:

  • Unexplained, persistent abdominal pain or fullness, particularly in the upper right quadrant.
  • Sudden, unexplained weight loss or loss of appetite.
  • Jaundice (yellowing of the skin or eyes).
  • Unexplained fever or fatigue.
  • Abdominal swelling (ascites).

💡 Note: While these symptoms can be caused by various conditions, they warrant a professional evaluation to rule out any complications related to a liver lesion or other hepatic concerns.

Living with a Liver Lesion

If you have been diagnosed with a benign lesion on liver, the most common management plan is regular monitoring. Maintaining a healthy lifestyle is essential to support overall liver health. This includes limiting alcohol consumption, maintaining a healthy weight, and discussing all medications or supplements with your doctor, as some substances can stress the liver. Staying informed and keeping up with scheduled follow-up appointments is the most effective way to manage the condition and ensure that any changes are detected early, providing you with the best possible health outcomes.

The discovery of a liver lesion, while concerning, is frequently a routine medical finding that does not necessitate drastic changes to your life. The clinical focus remains on accurate diagnosis, which effectively separates common benign growths from more serious conditions that require specialized intervention. By working closely with your healthcare team and adhering to suggested monitoring schedules, you can manage the situation proactively. Focusing on a healthy, balanced lifestyle and addressing any underlying risk factors further safeguards your long-term liver health. Ultimately, clear communication with your doctor and consistency in follow-up care are the most reliable pillars for managing a liver lesion with confidence and peace of mind.

Related Terms:

  • lesions on liver meaning
  • liver lesion size chart
  • hypodense lesions in the liver
  • lesion on liver icd 10
  • types of liver lesions
  • lesion on liver treatment