Left Humerus Fracture

Left Humerus Fracture

A Left Humerus Fracture is a significant injury that involves a break in the upper arm bone, extending from the shoulder down to the elbow. This bone, known as the humerus, is vital for the functionality of your arm, allowing for complex movements such as lifting, reaching, and rotating. Whether the injury is caused by a high-impact trauma like a car accident or a low-impact fall, understanding the nature of the fracture, the recovery process, and the necessary treatment protocols is essential for regaining full mobility.

Types and Classification of Left Humerus Fractures

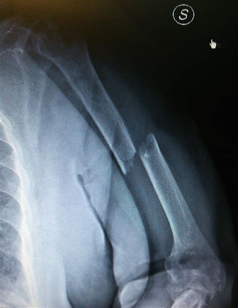
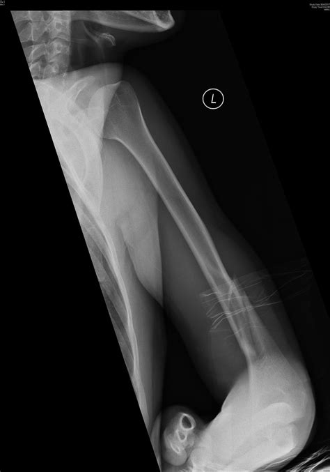
X-ray showing a humerus fracture

Medical professionals categorize a Left Humerus Fracture based on the specific location of the break. The humerus is anatomically divided into three main segments, each requiring different management strategies:

  • Proximal Humerus Fracture: This break occurs near the shoulder joint. It is common in older adults, often resulting from a simple fall onto an outstretched hand.
  • Humeral Shaft Fracture: This occurs in the middle portion of the bone. These fractures are often caused by direct impact or twisting forces and sometimes involve nerve injury.
  • Distal Humerus Fracture: This break happens near the elbow joint. These are complex injuries because the bone surfaces at the elbow must be perfectly aligned for the joint to function correctly.

Furthermore, fractures are classified as either displaced (where the bone fragments have moved out of alignment) or non-displaced (where the bone is broken but remains in its proper position). The severity of the displacement often determines whether surgery is required.

Common Symptoms and Diagnostic Procedures

Recognizing the symptoms of a Left Humerus Fracture early is critical for preventing complications such as nerve damage or poor healing. If you suspect an arm fracture, you should seek immediate medical evaluation. Common signs include:

  • Intense pain at the site of the injury that worsens with movement.
  • Significant swelling and bruising around the shoulder, arm, or elbow.
  • Deformity or an unnatural "bulge" in the arm.
  • Inability to lift or move the arm without excruciating pain.
  • Numbness or tingling in the hand or fingers, which may indicate nerve compression.

Upon reaching a medical facility, doctors will typically order imaging tests to confirm the diagnosis. An X-ray is the standard diagnostic tool to visualize the location and severity of the fracture. In more complex or intra-articular cases, a CT scan may be requested to better map the bone fragments for surgical planning.

Feature Non-Surgical Management Surgical Intervention
Treatment Type Casting/Sling/Splinting ORIF (Open Reduction Internal Fixation)
Recovery Time Generally longer for initial healing Faster mobilization, but requires surgery
Primary Focus Natural bone alignment Anatomical fixation with hardware

Treatment Options for a Left Humerus Fracture

The treatment path for a Left Humerus Fracture depends heavily on the fracture pattern and the patient’s general health. Many stable, non-displaced fractures can be managed non-surgically. This involves immobilization using a sling or a functional brace to keep the bone ends in place while the body naturally produces callus (new bone) to mend the break.

However, if the bone is unstable, severely displaced, or involves the joint surface, surgery is often the preferred route. A procedure known as Open Reduction Internal Fixation (ORIF) is commonly performed. During this surgery, an orthopedic surgeon repositions the bone fragments and secures them with hardware, such as metal plates, screws, or intramedullary nails.

⚠️ Note: Always follow your surgeon's specific weight-bearing and movement restrictions. Attempting to use the injured arm too early can lead to hardware failure or "malunion," where the bone heals in a crooked position.

Rehabilitation and Physical Therapy

The recovery phase is just as important as the initial medical intervention. Once the bone has begun to knit together, physical therapy becomes the primary focus for restoring function. The rehabilitation process for a Left Humerus Fracture typically follows these phases:

  1. Early Phase (Passive Motion): Focuses on gentle range-of-motion exercises for the fingers, wrist, and shoulder to prevent stiffness without putting pressure on the healing fracture.
  2. Middle Phase (Active Motion): As bone healing progresses, patients are introduced to active movement, allowing them to move the arm using their own muscle strength.
  3. Late Phase (Strengthening): Once the bone is clinically healed, therapists introduce resistance training to rebuild the muscle mass lost during the period of immobilization.

Adherence to a home exercise program is vital. Consistency in performing prescribed movements helps prevent frozen shoulder, a common complication where the joint capsule becomes tight and restricted due to prolonged inactivity.

Managing Complications and Long-term Outlook

While most people recover well from a Left Humerus Fracture, there are potential complications to be aware of. Radial nerve palsy, characterized by a “wrist drop” or inability to extend the fingers, is a known risk associated with shaft fractures. In the majority of these cases, the nerve recovers on its own, but it requires diligent monitoring by an orthopedic specialist.

Furthermore, patients should be mindful of bone health, especially if the fracture was a result of a fragility-related event. Ensuring adequate intake of Vitamin D and Calcium, along with regular weight-bearing exercise, can strengthen bone density and help prevent future breaks.

Recovery from this type of injury is a marathon, not a sprint. The duration of healing varies for every individual, often ranging from three to six months for bone healing, with full strength recovery potentially taking up to a year. By prioritizing professional medical guidance, adhering to rigorous physical therapy routines, and maintaining a healthy lifestyle, most individuals can successfully return to their daily activities and regain full use of their arm. Patience and persistent engagement in the rehabilitation process are the most powerful tools you have to ensure a successful outcome.

Related Terms:

  • humerus fracture treatment near me
  • fracture left humerus icd
  • comminuted fracture left humerus
  • humerus fracture healing time
  • icd 10 left humerus injury
  • left humeral fracture is 10