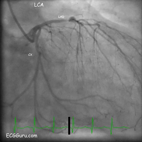
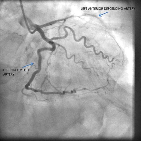
Left Circumflex Artery

Left Circumflex Artery

The human heart is a complex engine that relies on a network of coronary arteries to receive the oxygenated blood necessary for its continuous, life-sustaining work. Among these critical vessels, the Left Circumflex Artery (LCx) plays a pivotal role in maintaining the function of the heart's lateral wall. Understanding the anatomy, function, and clinical significance of this specific artery is essential for anyone interested in cardiovascular health, as blockages or abnormalities in this vessel can have profound implications for overall cardiac performance.

Anatomy and Positioning of the Left Circumflex Artery

The Left Circumflex Artery originates from the left main coronary artery, which bifurcates shortly after leaving the aorta. While the left anterior descending (LAD) artery travels down the front of the heart, the LCx takes a different path, winding around the left side of the heart within the atrioventricular groove. This strategic positioning allows it to supply blood to critical areas that other vessels might not reach.

Because of its path—traveling circumflexly, or around the heart—it is responsible for perfusing several vital structures:

  • The left atrium.
  • The lateral wall of the left ventricle.
  • The posterior wall of the left ventricle in most individuals.
  • The sinoatrial (SA) node in approximately 40% of the population, playing a role in regulating heart rhythm.

Clinical Significance: When Things Go Wrong

When the Left Circumflex Artery becomes narrowed or blocked due to atherosclerosis—a condition where plaque builds up in the arteries—it leads to reduced blood flow, medically known as ischemia. Because this artery feeds a significant portion of the left ventricle, a blockage here is often associated with myocardial infarction, commonly known as a heart attack.

Symptoms of ischemia in the area supplied by the LCx can be subtle compared to other coronary events. Patients may experience:

  • Unexplained fatigue or shortness of breath.
  • Angina, or chest pain, that may radiate to the left shoulder, arm, or jaw.
  • Palpitations, especially if the blockage affects the conduction system.
  • Nausea or dizziness.

Diagnostic Approaches for LCx Issues

Detecting issues within the Left Circumflex Artery requires a combination of clinical assessment and advanced imaging technology. Physicians use various tools to visualize the narrowing of the vessels and assess how much of the heart muscle is at risk.

Diagnostic Test Purpose
Electrocardiogram (ECG) Detects electrical changes indicating damage to the lateral heart wall.
Echocardiogram Visualizes wall motion abnormalities in the area supplied by the LCx.
Cardiac Catheterization The gold standard for directly visualizing the artery via angiography.
Cardiac CT Angiography A non-invasive way to view the coronary arteries using contrast dye.

⚠️ Note: Always consult a cardiologist if you have a family history of heart disease or are experiencing persistent chest discomfort, as diagnostic tests must be interpreted within the context of your overall medical history.

Treatment and Management Strategies

Managing disease in the Left Circumflex Artery involves a multifaceted approach, ranging from lifestyle modifications to surgical interventions. The primary goal is to restore blood flow, reduce the workload on the heart, and prevent future cardiac events.

Conservative Management

For mild to moderate blockages, medical management is often the first line of defense. This includes:

  • Pharmacotherapy: Utilization of statins to manage cholesterol, antiplatelet agents like aspirin to prevent clots, and beta-blockers to lower the heart’s oxygen demand.
  • Lifestyle Modifications: Adopting a heart-healthy diet, engaging in regular cardiovascular exercise under medical supervision, and absolute cessation of smoking.

Invasive Interventions

When medication is insufficient, or the blockage is severe, procedural intervention becomes necessary:

  • Percutaneous Coronary Intervention (PCI): Commonly known as angioplasty, this procedure involves threading a balloon-tipped catheter to the site of the Left Circumflex Artery blockage, inflating it to open the vessel, and often placing a stent to keep it open.
  • Coronary Artery Bypass Grafting (CABG): In complex cases where multiple vessels are affected or the lesion is in a difficult position, surgeons may perform a bypass, creating a new pathway for blood to circumvent the blockage.

💡 Note: The choice between PCI and CABG is determined by a multidisciplinary team based on the specific anatomy of the blockage, the patient’s comorbidities, and the severity of the coronary artery disease.

The Impact of Anatomy on Outcomes

It is important to recognize that coronary anatomy varies significantly from person to person. This concept is often referred to as “coronary dominance.” In individuals with “left dominant” circulation, the Left Circumflex Artery is responsible for an even greater portion of the heart’s blood supply, including the posterior descending artery (PDA). In such patients, an occlusion in the LCx can be catastrophic, as it impacts a much larger territory of the heart muscle than it would in someone with right-dominant circulation.

Understanding these anatomical nuances helps doctors better prepare for interventions and predict the potential impact of a blockage. Advanced imaging allows surgeons and cardiologists to map out the specific vascular tree of the patient, ensuring that any procedure is tailored to their unique anatomical structure.

Prevention and Long-Term Heart Health

Maintaining the health of your coronary arteries is a lifelong commitment. While you cannot change your genetics, managing risk factors is highly effective in protecting the Left Circumflex Artery from the progression of atherosclerosis. The pillars of prevention include managing hypertension, keeping blood sugar levels within a healthy range for those with diabetes, and actively reducing stress.

Monitoring your cardiovascular health through regular check-ups is the most proactive step you can take. Early detection of narrowing or plaque buildup allows for less invasive treatment options, often preventing the need for emergency procedures later in life. By prioritizing cardiovascular fitness, managing weight, and avoiding substances that damage the vascular lining, you can ensure that the arteries supplying your heart, including the vital LCx, remain open and functional for years to come.

The Left Circumflex Artery remains one of the most critical components of the heart’s plumbing system. Its unique trajectory around the heart allows it to provide oxygen-rich blood to essential regions, making it a focal point in the diagnosis and treatment of coronary artery disease. Whether through conservative medical management or advanced surgical procedures, modern medicine offers numerous pathways to protect this vessel and ensure the longevity of the heart. By staying informed about the role of the LCx and maintaining healthy lifestyle habits, individuals can take significant strides in safeguarding their cardiovascular future and overall wellness.

Related Terms:

  • left circumflex coronary artery branches
  • left circumflex artery supply
  • circumflex artery location
  • branches of the left circumflex
  • where is left circumflex artery
  • branches of left circumflex artery