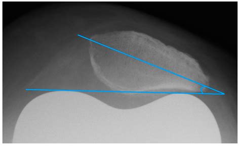
Lateral Patellar Tilt

Lateral Patellar Tilt

Experiencing knee pain, especially around the kneecap, can significantly hinder your daily activities, from climbing stairs to simply standing up after a long period of sitting. One common, yet frequently misunderstood, culprit behind this discomfort is lateral patellar tilt. This condition occurs when the patella (kneecap) drifts or rotates outward toward the outer side of the leg rather than sliding smoothly in its designated groove. Understanding what this is, why it happens, and how to manage it is crucial for anyone looking to restore pain-free movement and maintain long-term joint health.

What is Lateral Patellar Tilt?

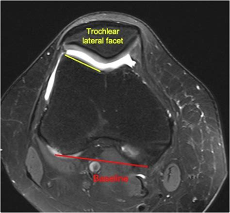
The patella is designed to glide vertically within the femoral groove (the trochlear groove) of the femur. When the mechanics of the knee are balanced, this movement is seamless. However, lateral patellar tilt happens when the soft tissues—specifically the lateral retinaculum on the outside of the knee—become too tight, while the muscles on the inside are relatively weak. This imbalance causes the kneecap to tip outward, increasing pressure on the lateral facet of the patella. Over time, this abnormal tracking can lead to cartilage wear, inflammation, and chronic pain, a condition often categorized under patellofemoral pain syndrome (PFPS).

Common Causes and Risk Factors

Several factors contribute to the development of this misalignment. It is rarely caused by a single event but rather a combination of biomechanical issues and lifestyle factors. Primary contributors include:

  • Muscle Imbalances: Weakness in the vastus medialis obliquus (VMO), the muscle on the inside of the thigh, is a frequent culprit. Without enough strength to pull the patella inward, the stronger lateral muscles pull it outward.
  • Tight Lateral Structures: An overly tight iliotibial (IT) band or lateral retinaculum forces the kneecap into a tilted position.
  • Foot Mechanics: Issues like overpronation (flat feet) can cause the entire leg to rotate inward, placing excessive stress on the knee and contributing to lateral tilting.
  • Anatomical Factors: Some individuals are born with a shallower femoral groove, making the kneecap more susceptible to drifting out of alignment.
  • Overuse: High-impact activities, such as running or jumping, without adequate rest or strength training, can exacerbate the condition.

Identifying the Symptoms

Recognizing the symptoms early is key to preventing further damage to the knee joint. If you suspect you have lateral patellar tilt, look out for the following signs:

  • A dull, aching pain behind or around the kneecap.
  • Pain that intensifies when walking downstairs, squatting, or sitting with bent knees for extended periods (often called "theater sign").
  • A sensation of grinding, popping, or clicking in the knee during movement.
  • Localized tenderness when touching the outer edge of the kneecap.
Symptom Category Common Manifestations
Pain Triggers Stair climbing, prolonged sitting, deep squats.
Audible Sensations Grinding (crepitus), popping sounds, snapping.
Physical Signs Tenderness on lateral facet, minor swelling after activity.

⚠️ Note: If you experience significant swelling, sudden locking of the joint, or an inability to bear weight, consult an orthopedic specialist or physical therapist immediately to rule out more severe ligament or cartilage injuries.

Rehabilitation and Management Strategies

The good news is that lateral patellar tilt is often highly manageable through conservative, non-surgical approaches. The goal of rehabilitation is to restore balance to the muscles surrounding the knee and improve the tracking of the kneecap.

1. Targeted Strengthening

Focusing on strengthening the quadriceps is vital, specifically targeting the VMO. Exercises such as straight-leg raises, terminal knee extensions, and controlled step-ups can help stabilize the patella. Additionally, strengthening the gluteal muscles is essential, as strong hips prevent the femur from rotating inward, which reduces stress on the kneecap.

2. Stretching and Soft Tissue Mobilization

To address the tightness on the lateral side, consistent stretching of the IT band, hamstrings, and lateral quadriceps is necessary. Foam rolling the outer thigh can help loosen the lateral retinaculum, providing the kneecap with more room to realign itself correctly.

3. Biomechanical Adjustments

If overpronation is a contributing factor, supportive footwear or custom orthotics may be recommended to improve foot alignment. Proper alignment of the feet and ankles often translates to improved knee mechanics.

💡 Note: Always perform strengthening exercises slowly and with proper form. If an exercise increases your pain, stop immediately and consult with a professional to adjust your technique or intensity.

Maintaining Long-Term Knee Health

Consistency is the cornerstone of recovery. Even after the pain subsides, continuing a maintenance program is essential to prevent recurrence. Incorporate a balanced routine that includes both strength training and flexibility work. Listen to your body—avoid "pushing through" sharp pain, as this can worsen the tracking issue and increase cartilage erosion. If you are active in sports, ensure you are utilizing proper technique and wearing appropriate, supportive gear. Finally, maintaining a healthy weight reduces the overall load on your knee joints, making it significantly easier to manage biomechanical imbalances like lateral patellar tilt.

Addressing lateral patellar tilt requires patience, as realigning joint mechanics is a process that occurs over time. By focusing on strengthening the inner thigh muscles, loosening tight lateral tissues, and correcting broader postural or gait imbalances, you can significantly reduce knee pain and improve your quality of life. Always prioritize functional movement and listen to the feedback your body provides during your exercise routine. By staying committed to a physical therapy program tailored to your specific biomechanical needs, you can effectively manage this condition and return to your favorite activities with greater stability and less discomfort.

Related Terms:

  • lateral patellar facet
  • lateral patellar tilt angle
  • lateral patellar tilt and subluxation
  • lateral patellar tilt radiopaedia
  • lateral patellar tilt causes
  • lateral patellar tilt exercises