Large Cell Lung Cancer

Large Cell Lung Cancer

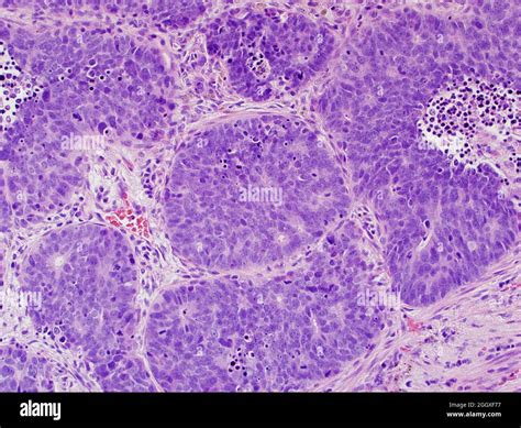
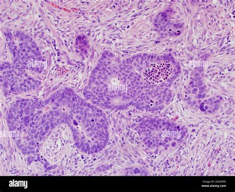
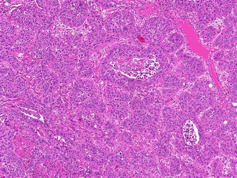
Receiving a diagnosis of Large Cell Lung Cancer can be an overwhelming experience, filled with uncertainty and complex medical terminology. As a subtype of non-small cell lung cancer (NSCLC), it accounts for approximately 10% to 15% of all lung cancer cases. Understanding the nuances of this specific diagnosis is the first step toward navigating the path of treatment, recovery, and long-term health management. While the term "large cell" describes how the cancer cells appear under a microscope—typically as large, abnormal-looking cells that lack the distinct features of adenocarcinoma or squamous cell carcinoma—it is important to approach this diagnosis with a focus on personalized medicine and the latest advancements in oncology.

Understanding Large Cell Lung Cancer

Large Cell Lung Cancer is characterized by its rapid growth and tendency to spread, or metastasize, to other parts of the body earlier than other types of NSCLC. Because these cells appear undifferentiated, pathologists often categorize this condition as a diagnosis of exclusion. This means that doctors must first rule out other types of lung cancer before confirming the diagnosis.

The cells in this type of cancer are often found in the outer regions of the lungs. Because they are peripheral, they may grow quite large before symptoms become noticeable enough to warrant a medical check-up. Recognizing the potential signs early can significantly impact the effectiveness of intervention strategies.

Also read: Face Lift Surgery Pictures Before After

Common Symptoms and Warning Signs

Because the symptoms of Large Cell Lung Cancer often mirror those of other respiratory issues, they are frequently overlooked in the early stages. However, persistent symptoms should never be ignored. Common indicators include:

  • A persistent cough that worsens over time.
  • Shortness of breath or wheezing during physical activity.
  • Coughing up blood or rust-colored sputum.
  • Unexplained weight loss and loss of appetite.
  • Chest pain that becomes sharper when breathing deeply or coughing.
  • Recurring infections like pneumonia or bronchitis.
  • Fatigue that does not improve with rest.

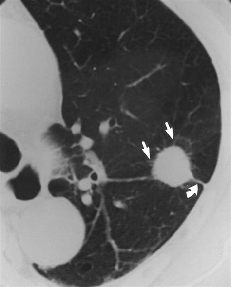
Diagnostic Procedures

Once a physician suspects a respiratory issue, they will typically utilize a series of diagnostic tests to confirm the presence and stage of Large Cell Lung Cancer. These tests are essential for developing a targeted treatment plan.

Diagnostic Test Description
Chest X-ray The first line of imaging to identify suspicious masses or fluid buildup.
CT Scan Provides detailed, cross-sectional images of the lungs to assess tumor size and location.
Biopsy The gold standard; a tissue sample is removed and analyzed by a pathologist.
PET Scan Uses a radioactive tracer to detect active cancer cells throughout the body.

💡 Note: A definitive diagnosis for this specific type of cancer can only be confirmed through a biopsy, as imaging alone cannot distinguish between different cellular subtypes.

Treatment Pathways and Options

The approach to managing Large Cell Lung Cancer is multidisciplinary, often involving surgeons, oncologists, and radiation specialists. Treatment depends heavily on the stage of the cancer at the time of diagnosis and the patient’s overall health status.

Surgical Intervention

If the cancer is localized and has not spread to distant organs, surgery is often the primary option. Surgeons may perform a lobectomy (removing a lobe of the lung) or a wedge resection to remove the cancerous mass and surrounding tissue.

Chemotherapy and Targeted Therapy

Chemotherapy is frequently used to shrink tumors before surgery (neoadjuvant) or to eliminate remaining cells after surgery (adjuvant). In recent years, immunotherapy has also emerged as a powerful tool. By stimulating the body’s own immune system to recognize and attack the cancer, drugs like checkpoint inhibitors have shown significant promise in treating advanced cases.

Radiation Therapy

Radiation utilizes high-energy beams to damage the DNA of cancer cells, preventing them from dividing. This is often used for patients who are not candidates for surgery or as a palliative measure to reduce pain and symptoms caused by the tumor’s size.

💡 Note: Always discuss the potential side effects of treatments, such as fatigue or localized inflammation, with your medical team to prepare for supportive care strategies during therapy.

Living With a Lung Cancer Diagnosis

Managing the emotional and psychological toll of a Large Cell Lung Cancer diagnosis is just as important as the clinical treatment. Support groups, counseling, and integrative therapies such as meditation or nutritional planning can improve the overall quality of life. Maintaining a strong communication line with your healthcare provider ensures that any changes in your condition are addressed promptly.

Nutritional support is particularly vital. A diet rich in protein, healthy fats, and antioxidants helps the body maintain the strength required for aggressive treatment protocols. Additionally, regular light activity, as tolerated, can help manage fatigue and improve mental well-being.

Looking Ahead: Advancements and Hope

The landscape of oncology is shifting rapidly. Genomic testing is becoming a standard practice for many patients, allowing doctors to identify specific mutations within the Large Cell Lung Cancer cells. This move toward precision medicine means that treatment can be tailored to the individual's unique genetic profile, often leading to better outcomes and fewer side effects compared to traditional broad-spectrum treatments. Researchers continue to conduct clinical trials globally, investigating new drug combinations and delivery systems that offer hope for patients facing even the most challenging diagnoses.

As we summarize the essential aspects of navigating this journey, it becomes clear that early detection and a comprehensive, multidisciplinary care plan are the most effective tools in managing this complex condition. By staying informed about the latest diagnostic tools and treatment modalities, patients and their families can make empowered decisions. The combination of surgical, pharmacological, and supportive care forms a robust defense, while ongoing advancements in genomic research provide a pathway toward more refined and effective therapies. While the path ahead may be challenging, maintaining open dialogue with a dedicated medical team and prioritizing a supportive lifestyle remains the most effective strategy for managing health and improving long-term prospects.

Related Terms:

  • large cell undifferentiated lung cancer
  • large cell lung carcinoma treatments
  • large cell undifferentiated carcinoma
  • photos of lung cancer tumors
  • small cell carcinoma vs squamous
  • types of lung cancer