Lady Windermere Syndrome

Lady Windermere Syndrome

The term Lady Windermere Syndrome may sound like the title of a classic play, but in the medical community, it describes a very specific and often misunderstood form of pulmonary infection. Named after a character in Oscar Wilde’s play—who was known for being overly concerned with appearances and propriety—this syndrome was coined to describe a particular subset of patients who, for social or aesthetic reasons, habitually suppress their cough reflex. Over time, this suppression leads to chronic infection, typically caused by Mycobacterium avium complex (MAC). Understanding this condition is crucial for patients, caregivers, and medical professionals to ensure timely diagnosis and appropriate management.

What Exactly is Lady Windermere Syndrome?

At its core, Lady Windermere Syndrome is a non-tuberculous mycobacterial (NTM) pulmonary infection. Unlike standard tuberculosis, these bacteria are found commonly in soil and water. While most healthy individuals breathe these bacteria in without consequence, those with underlying susceptibility or behaviors that impede lung clearance can develop an infection.

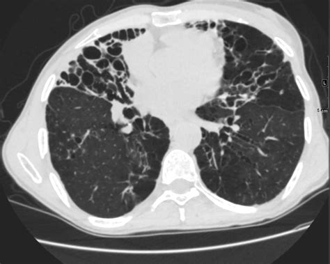
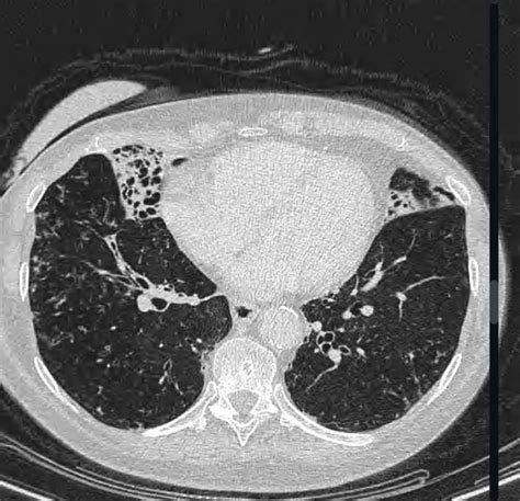
The syndrome was historically characterized in older women who chronically suppress their cough. By holding in their coughs to maintain social etiquette, these individuals inadvertently allow mucus, bacteria, and debris to accumulate in the airways of the lungs, specifically the right middle lobe and the lingula (part of the left upper lobe). This stagnation creates the perfect environment for NTM to colonize and cause chronic disease.

Key Symptoms to Monitor

The symptoms of Lady Windermere Syndrome are often insidious and can be easily mistaken for other, more common respiratory conditions like asthma, bronchitis, or even seasonal allergies. Because it develops slowly, many patients ignore the signs until the infection has progressed.

Common symptoms include:

  • Chronic, persistent cough (often dry or producing minimal phlegm).
  • Shortness of breath, particularly during physical exertion.
  • Unexplained fatigue and lethargy.
  • Occasional low-grade fevers or night sweats.
  • Weight loss or decreased appetite.

If you or a loved one experience a cough that lasts for more than eight weeks, it is essential to consult a healthcare professional to rule out more serious underlying conditions, including NTM infections.

Risk Factors and Demographic Profiles

While the syndrome was originally described in older, thin women, it is important to understand that the condition is more about the physiological environment of the lungs than gender alone. However, clinical data consistently shows higher prevalence in specific groups.

Risk Factor Explanation
Habitual Cough Suppression Prevents natural clearance of airway secretions.
Body Morphology Lower body mass index (BMI) and scoliosis are often associated.
Age More commonly diagnosed in individuals over 60.
Lung Anatomy Specific anatomical shapes of the airways may hinder mucus drainage.

Diagnosis and Clinical Evaluation

Diagnosing Lady Windermere Syndrome requires a comprehensive approach. Because NTM bacteria are found in the environment, simply finding them in a sputum culture does not always confirm disease. Physicians must look at a combination of clinical, radiological, and microbiological evidence.

Steps typically involved in the diagnostic process include:

  • High-Resolution Computed Tomography (HRCT) Scans: This is the gold standard for visualizing the characteristic bronchiectasis and nodules in the middle lobe and lingula.
  • Sputum Cultures: Multiple samples are required to confirm that the NTM bacteria are actually causing an infection rather than just being present as contaminants.
  • Clinical Assessment: Evaluating the severity of the cough and the patient's general physiological state.

⚠️ Note: Always ensure that multiple sputum samples are analyzed, as NTM can be difficult to isolate and distinguish from other environmental microbes in a single test.

Treatment Approaches and Management

Treating Lady Windermere Syndrome is complex and requires a tailored strategy. Because the treatment involves a long course of antibiotics, which can have significant side effects, doctors must weigh the risks and benefits carefully. In mild cases, a "watchful waiting" approach may be preferred.

For more active disease, treatment typically includes:

  • Antibiotic Therapy: Usually a combination of drugs (such as macrolides, rifampin, and ethambutol) administered over several months or even years.
  • Airway Clearance Techniques: Utilizing devices or physical therapy exercises to help remove mucus from the lungs.
  • Lifestyle Modifications: Encouraging patients to stop suppressing the cough and, when necessary, improving nutritional status.
  • Surgical Intervention: In very specific, localized cases where medication fails, surgical removal of the affected lung section may be considered.

💡 Note: Adherence to the antibiotic regimen is the most critical factor for success. Skipping doses can lead to antibiotic resistance, making the infection significantly harder to treat later.

The Importance of Lung Hygiene

Preventing the progression of NTM lung disease relies heavily on maintaining optimal lung hygiene. Even for those not diagnosed with Lady Windermere Syndrome, keeping the airways clear is essential for long-term respiratory health.

Key habits for healthier lungs include:

  • Hydration: Drinking adequate water helps thin mucus, making it easier to expel.
  • Controlled Coughing: If you feel the need to clear your throat or chest, do so gently and effectively rather than holding it in.
  • Environmental Awareness: Avoiding areas with excessive dust or aerosolized water (like hot tubs or poorly maintained showerheads), where NTM bacteria frequently thrive.
  • Regular Physical Activity: Exercise helps improve lung capacity and supports natural clearance mechanisms.

Navigating a diagnosis of Lady Windermere Syndrome can feel overwhelming, but it is a manageable condition when addressed with the right medical support and lifestyle adjustments. By recognizing the early symptoms—particularly that persistent, stubborn cough—patients can engage their healthcare providers early, leading to better diagnostic accuracy and more effective treatment plans. While the combination of antibiotic therapy and airway clearance techniques requires dedication and patience, the focus on restoring lung health remains the priority. Embracing proactive habits, such as staying hydrated and practicing proper respiratory hygiene, serves as a vital foundation for recovery and long-term well-being. Always prioritize open communication with your medical team to tailor these approaches to your specific health needs and ensure the best possible outcome for your pulmonary health.

Related Terms:

  • lady windermere syndrome uptodate
  • lady windermere syndrome ct
  • lady windermere syndrome prognosis
  • lady windermere syndrome contagious
  • lady windermere syndrome radiopaedia
  • lady windermere syndrome origin