The shoulder is one of the most mobile and complex joints in the human body, relying on a delicate balance of bones, tendons, and ligaments to function properly. At the center of this stability is the labrum, a ring of cartilage that deepens the shoulder socket and provides an anchor point for key ligaments. When this critical structure is injured, it can lead to a condition known as labrum detachment shoulder. Dealing with this type of injury can be debilitating, often characterized by persistent pain, mechanical clicking, and a sense of instability that disrupts daily life and athletic performance.
Understanding the Labrum and Why Detachments Occur
To grasp the significance of a labrum detachment, you must first understand the anatomy of the shoulder. The labrum functions much like a gasket in a car engine, creating a tight seal around the glenoid (the shoulder socket) to keep the ball of the humerus securely in place. When trauma occurs—whether from a sudden fall, repetitive overhead motions in sports like baseball or swimming, or general wear and tear—this cartilage can pull away from the bone.
A labrum detachment shoulder injury is frequently categorized by its location. For instance, a SLAP tear (Superior Labrum Anterior to Posterior) involves the top part of the labrum, while a Bankart lesion typically involves the lower front portion, often resulting from a shoulder dislocation. Recognizing the underlying cause is the first step toward effective management.

Common Symptoms to Look For
Symptoms of a labrum detachment are not always uniform, as they can vary based on the severity of the tear and the activity level of the individual. However, patients often report a distinct set of warning signs:
- Persistent deep ache: A dull, throbbing pain that originates deep within the shoulder joint.
- Mechanical symptoms: Feeling a "clicking," "catching," or "grinding" sensation during arm movement.
- Loss of velocity or power: Athletes often notice a drop-off in their ability to throw or lift weights overhead.
- Instability: A feeling that the shoulder is about to "pop out" or slip out of the socket.
- Pain with overhead motion: Difficulty reaching for objects on high shelves or performing movements like serving in tennis.
Diagnostic Procedures for Shoulder Injuries
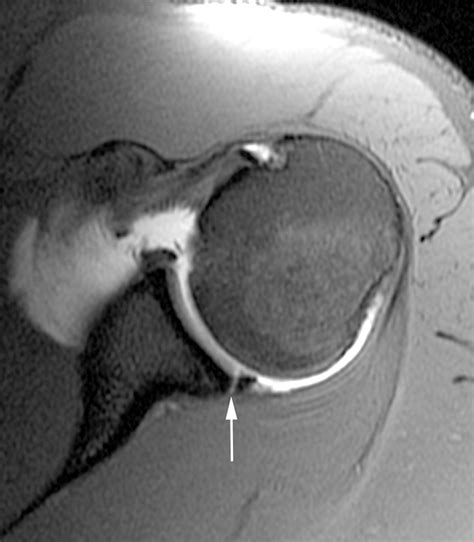
If you suspect a labrum detachment shoulder injury, seeing an orthopedic specialist is essential. Because labrum tears are soft-tissue injuries, they do not show up on standard X-rays. Instead, doctors rely on more sophisticated diagnostic tools to confirm the extent of the damage.
| Diagnostic Test | Purpose |
|---|---|
| Physical Examination | Evaluating range of motion and performing provocation tests (like the O'Brien test). |
| MRI Arthrogram | An MRI performed with contrast dye injected into the joint to highlight cartilage tears. |
| Arthroscopy | A minimally invasive procedure where a camera is inserted into the joint for direct visualization. |
⚠️ Note: Always seek professional medical imaging, as an MRI Arthrogram is significantly more sensitive for detecting labral pathology compared to a standard non-contrast MRI.
Non-Surgical Management Options
Not every case of labrum detachment requires surgery. For minor tears or individuals with lower physical demands, conservative management is often the first line of defense. The primary goal of this approach is to strengthen the rotator cuff muscles, which can compensate for the lack of stability provided by the damaged labrum.
- Rest and Activity Modification: Avoiding the specific overhead motions that trigger pain.
- Physical Therapy: A targeted exercise program focused on strengthening the scapular stabilizers and rotator cuff.
- Anti-inflammatory Medication: Over-the-counter NSAIDs can help manage inflammation and pain during the healing process.
- Cortisone Injections: In some cases, a steroid injection may be used to reduce acute inflammation, allowing for more effective participation in physical therapy.
Surgical Intervention and Recovery
When conservative treatments fail to provide relief, or when the detachment is significant enough to cause frequent dislocations, surgical repair becomes necessary. Most modern procedures for a labrum detachment shoulder injury are performed via arthroscopy. This minimally invasive technique involves using small incisions to reattach the labrum to the bone using special anchors.
Recovery following surgery is a marathon, not a sprint. Patients typically spend several weeks in a sling to protect the surgical site, followed by a gradual progression of physical therapy. It is common for full athletic clearance to take anywhere from six to nine months, depending on the individual’s commitment to rehabilitation and the complexity of the repair.
💡 Note: Adherence to the physical therapy protocol is the single most important factor in determining the long-term success of your shoulder surgery.
Preventing Re-injury and Long-Term Shoulder Health
Once you have recovered from a labrum detachment shoulder injury, maintaining shoulder health is paramount. Integrating scapular strengthening into your regular fitness routine is the best way to prevent future issues. Focus on exercises like rows, face pulls, and external rotations. Furthermore, always prioritize proper form over heavy weight when lifting to ensure the shoulder joint remains centered and stable during exertion.
Monitoring your range of motion and paying attention to early signs of fatigue or discomfort will help you stay ahead of any recurring symptoms. If you participate in sports that involve overhead throwing or swinging, working with a coach to refine your mechanics can reduce unnecessary stress on the labrum and the surrounding soft tissues.
Navigating the journey of a labrum detachment shoulder injury requires patience, professional guidance, and a proactive approach to rehabilitation. While the condition can be painful and disruptive, the majority of patients see significant improvements in function and pain relief through either targeted physical therapy or arthroscopic repair. By understanding the nature of your injury, adhering to diagnostic protocols, and following a structured recovery plan, you can successfully return to the activities you enjoy. Always consult with a qualified orthopedic specialist to develop a personalized treatment strategy that addresses your specific clinical needs, ensuring the best possible outcome for your long-term shoulder health.
Related Terms:
- signs of torn labrum shoulder
- where is shoulder labrum located
- torn labrum shoulder treatment options
- full labrum tear shoulder
- shoulder pain from torn labrum
- treatment for torn shoulder labrum