Knee Surgery Types

Knee Surgery Types

Dealing with chronic knee pain or a debilitating injury can significantly impact your quality of life, making even simple tasks like walking or climbing stairs difficult. When conservative treatments such as physical therapy, medications, or injections fail to provide adequate relief, orthopedic specialists may recommend surgical intervention. Understanding the various knee surgery types is the first step toward making an informed decision about your orthopedic health and mapping out a path to recovery.

Common Knee Surgery Types Explained

There is no one-size-fits-all approach to knee surgery. The specific procedure recommended by your surgeon depends entirely on the nature of your injury, the extent of joint damage, your age, activity level, and overall health. From minimally invasive procedures to comprehensive joint replacements, modern medical advancements have made these surgeries safer and more effective than ever before.

1. Arthroscopic Knee Surgery

Arthroscopy is perhaps the most common procedure used for diagnostic and treatment purposes. It is a minimally invasive technique where a surgeon makes a few small incisions around the knee joint. A thin, flexible tube equipped with a camera, known as an arthroscope, is inserted into the joint, allowing the surgeon to see inside on a high-definition monitor.

This procedure is typically used to:

  • Repair or trim a torn meniscus.
  • Reconstruct torn ligaments (such as the ACL).
  • Remove loose cartilage or bone fragments.
  • Treat inflammation in the joint lining (synovitis).

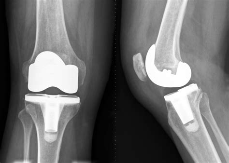
2. Total Knee Replacement (Arthroplasty)

When the knee joint is severely damaged by osteoarthritis, rheumatoid arthritis, or post-traumatic injury, a total knee replacement is often the recommended solution. During this surgery, the damaged cartilage and bone are removed from the surface of the knee joint and replaced with metal and high-grade plastic components.

This surgery aims to alleviate pain, correct deformity, and restore function. Modern implants are designed to mimic the natural movement of a healthy knee, providing long-term relief for many patients.

3. Partial Knee Replacement (Unicompartmental)

If the damage to the knee is localized to only one part—or "compartment"—of the joint, a partial knee replacement may be an option. This procedure is less invasive than a total knee replacement. It involves replacing only the damaged area with an implant, leaving the healthy parts of the joint and the surrounding ligaments intact. Benefits often include a shorter hospital stay, faster recovery time, and a more "natural" feeling knee post-surgery.

4. Osteotomy

An osteotomy is often performed on younger, more active patients who have damage in only one side of the knee. Rather than replacing the joint, the surgeon cuts the bone (either the tibia or femur) to realign it. This shifts the body's weight away from the damaged area of the knee to the healthier side, effectively delaying the need for a full knee replacement.

Comparing Knee Surgery Types

Selecting the right surgical path requires a thorough evaluation of your specific orthopedic condition. The following table provides a quick comparison of the most common procedures.

Procedure Best For Recovery Time (Approx.)
Arthroscopy Meniscus tears, ligament reconstruction Several weeks to a few months
Partial Replacement Localized arthritis in one compartment 3 to 6 months
Total Replacement Severe, widespread joint arthritis 6 months to 1 year
Osteotomy Younger patients with early arthritis 6 months to 1 year

💡 Note: Recovery timelines are estimates and can vary significantly based on the patient's adherence to a physical therapy program, overall health, and the specific surgical techniques used by the orthopedic team.

Preparing for Knee Surgery

Regardless of which of the knee surgery types you undergo, preparation is vital for a successful outcome. Your surgical team will provide comprehensive instructions, but generally, you should expect to focus on several key areas:

  • Pre-habilitation: Strengthening the muscles surrounding the knee before surgery can significantly speed up the rehabilitation process.
  • Home Preparation: Arrange your living space to minimize the need to climb stairs and ensure frequently used items are within easy reach.
  • Medication Review: Discuss all medications and supplements with your doctor, as some may need to be paused before surgery to prevent bleeding complications.

💡 Note: Always follow your surgeon's specific pre-operative instructions precisely, as these are tailored to your unique medical history and the specific procedure you are undergoing.

Post-Surgery Recovery and Rehabilitation

Rehabilitation is just as important as the surgery itself. Physical therapy typically begins very shortly after the operation to prevent stiffness and regain range of motion. Depending on the procedure, your recovery journey may involve:

  • Managing Pain and Swelling: Using ice, elevation, and prescribed medications to control post-operative discomfort.
  • Range of Motion Exercises: Gentle movements to ensure the joint does not stiffen up.
  • Strengthening Exercises: Gradually building strength in the quadriceps, hamstrings, and glutes to support the knee joint.
  • Functional Training: Relearning how to perform daily activities safely, such as getting in and out of a chair, walking with crutches or a walker, and navigating stairs.

The success of any knee surgery relies heavily on patient commitment. Attending all physical therapy sessions and diligently performing prescribed at-home exercises is crucial for regaining strength, flexibility, and function.

Navigating the decision to undergo knee surgery can feel overwhelming, but understanding the differences between various procedures empowers you to have a productive conversation with your surgeon. Whether you require a minimally invasive arthroscopy to address a soft tissue injury or a total joint replacement to resolve advanced osteoarthritis, modern orthopedic techniques offer effective solutions to reclaim your mobility. By closely following your medical team’s guidance regarding pre-operative preparation and post-surgical rehabilitation, you can maximize your chances of a successful outcome and return to the activities you enjoy with less pain and improved joint function.

Related Terms:

  • knee surgery recovery
  • knee replacement recovery timeline chart
  • knee surgery procedures
  • knee replacement procedure step by
  • partial knee replacement
  • knee replacement before surgery