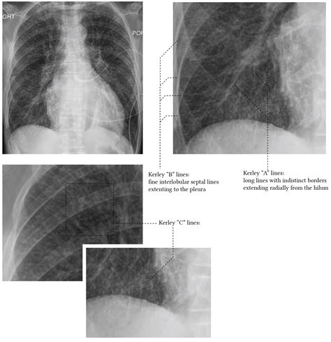
Kerley B Lines

Kerley B Lines

In the field of diagnostic radiology, recognizing specific patterns on a chest X-ray is vital for timely medical intervention. Among the most recognizable and clinically significant findings are Kerley B lines. These thin, short, horizontal lines are frequently identified at the lung periphery and serve as a hallmark indicator of interstitial pulmonary edema. Understanding what these lines signify and how to identify them is essential for healthcare professionals and students alike, as they often provide the first visual clue that a patient is experiencing significant fluid overload, commonly associated with conditions like congestive heart failure.

Understanding Kerley B Lines

Kerley B lines are radiographic markers that represent thickened interlobular septa. In a healthy lung, these septa are extremely thin and typically invisible on standard posterior-anterior (PA) chest radiographs. However, when fluid accumulates within these spaces—a condition known as interstitial edema—the septa swell, making them dense enough to be visualized as distinct linear opacities.

These lines are distinct because of their specific orientation and location:

  • Appearance: They appear as fine, horizontal, unbranching lines.
  • Location: They are found primarily at the lung bases, perpendicular to the pleura.
  • Length: They are short, usually measuring less than 2 centimeters in length.

While often associated with left-sided heart failure, it is important to note that any condition causing interstitial lung disease or lymphatic obstruction can potentially lead to their appearance. Therefore, clinical context remains paramount when interpreting these imaging findings.

⚠️ Note: While Kerley B lines are a classic sign of pulmonary edema, their absence does not definitively rule out heart failure or fluid overload in clinical scenarios.

The Mechanism Behind Septal Thickening

To fully grasp why Kerley B lines occur, one must understand the physiology of the lung's interstitial space. The interlobular septa contain lymphatic vessels, veins, and connective tissue. When pulmonary venous pressure rises—most commonly due to left ventricular failure—the delicate balance of Starling forces is disrupted. Fluid is forced out of the capillaries and into the interstitial space of the lungs.

As this fluid tracks into the interlobular septa, it expands these structures. When viewed on a 2D chest X-ray, the summation of this fluid-filled tissue manifests as the classic, short, horizontal lines that clinicians search for. If the pressure continues to rise, the fluid may eventually cross into the alveolar space, leading to frank alveolar pulmonary edema, which presents as patchy, fluffy opacities on imaging.

Differential Diagnosis and Associated Conditions

While Kerley B lines are highly suggestive of congestive heart failure, a radiologist must consider other etiologies. Identifying the underlying cause requires a thorough review of the patient's history and other associated imaging findings. Conditions that may mimic or cause these lines include:

  • Congestive Heart Failure (CHF): The most common cause, leading to hydrostatic interstitial edema.
  • Lymphangitic Carcinomatosis: Tumor cells infiltrating the lymphatic vessels, causing obstruction and secondary septal thickening.
  • Interstitial Fibrosis: Chronic inflammation leading to scar tissue formation within the septa.
  • Pneumoconiosis: Chronic dust inhalation leading to progressive interstitial changes.
  • Sarcoidosis: Granulomatous inflammation affecting the peribronchovascular and interlobular interstitium.
Feature Pulmonary Edema (CHF) Lymphangitic Carcinomatosis
Onset Usually acute or subacute Chronic or progressive
Associated Signs Cardiomegaly, pleural effusions Hilar adenopathy, mass lesions
Distribution Usually dependent (bases) Often diffuse or asymmetric

💡 Note: In cases of suspected malignancy (lymphangitic carcinomatosis), the Kerley lines may appear more irregular or coarse compared to the smooth, uniform lines typically seen in acute heart failure.

Radiographic Recognition Techniques

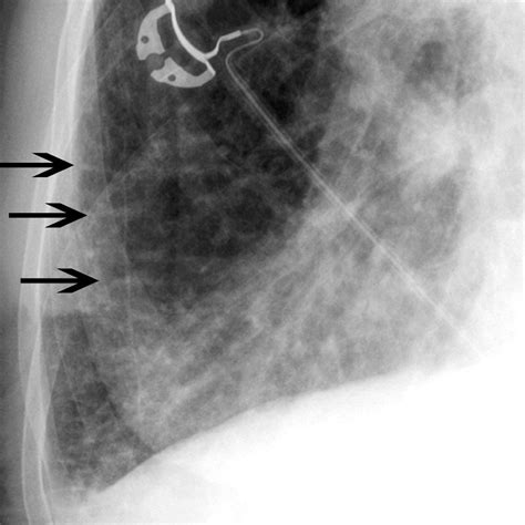
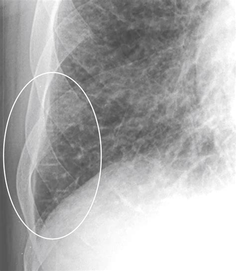
Developing the eye to detect Kerley B lines requires careful inspection of the lung fields, particularly in the costophrenic angles. Because these lines are very thin, they can be easily missed if the image quality is poor or if the exposure is not optimized.

When reviewing a film, look specifically for lines that:

  1. Extend all the way to the lateral pleural surface.
  2. Are located perpendicular to the pleural line.
  3. Do not branch or intersect with other vessels (differentiating them from normal pulmonary vasculature).

If you suspect the presence of these lines, it is often helpful to compare current films with previous images. A change in the status of these lines is a strong indicator of either clinical deterioration or successful therapeutic response to diuretics in a patient with heart failure.

Clinical Significance and Management

From a clinical management perspective, the identification of Kerley B lines serves as an important trigger for diagnostic and therapeutic decision-making. If a patient presenting with dyspnea is found to have these lines on a portable chest X-ray, it often justifies the immediate initiation of heart failure therapy, such as intravenous diuretics, pending further diagnostic workup like an echocardiogram or NT-proBNP testing.

It is important to remember that these lines reflect the "interstitial" phase of edema. This is a critical window; recognizing them early allows clinicians to treat the fluid overload before the patient progresses to severe respiratory distress and alveolar flooding, which would necessitate more aggressive intervention, such as non-invasive positive pressure ventilation (NIPPV) or intubation.

Furthermore, in oncology patients, the appearance of these lines can be a sentinel event, suggesting that a malignancy has spread to the lymphatic system of the lungs. In this context, the discovery of Kerley B lines may fundamentally alter the patient's prognosis and therapeutic approach, shifting the goal from potentially curative treatment to palliative management.

Ultimately, while modern cross-sectional imaging like Computed Tomography (CT) provides much more detail than traditional radiographs, the humble chest X-ray remains a cornerstone of acute care. The ability to identify findings such as Kerley B lines continues to be a vital skill, allowing for rapid, cost-effective, and actionable diagnostic information. By systematically evaluating the lung periphery for these subtle markers of septal thickening, clinicians can significantly improve the speed and accuracy of their assessments, ensuring that patients receive the appropriate care for their underlying pathology. Whether in an emergency department, intensive care unit, or outpatient setting, recognizing the subtle signs of pulmonary interstitial involvement is a key step in providing high-quality, evidence-based medical care.

Related Terms:

  • kerley b lines heart failure
  • kerley b lines meaning
  • kerley b lines pocus
  • kerley abc lines
  • causes of kerley b lines
  • kerley b lines ultrasound