Is Gingivitis Reversible

Is Gingivitis Reversible

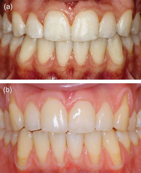
If you have noticed your gums bleeding while brushing or flossing, you might be feeling a sense of alarm. Perhaps you are wondering, is gingivitis reversible? The short answer is yes, but it requires immediate attention and consistent oral hygiene habits. Gingivitis is the earliest stage of gum disease, characterized by inflammation, redness, and sensitivity. Because it has not yet reached the stage of periodontitis—where permanent bone and tissue damage occurs—you have a unique window of opportunity to reverse the condition and restore your oral health completely.

Understanding the Early Signs of Gingivitis

Gingivitis is primarily caused by the buildup of plaque, a sticky film of bacteria that forms on the teeth every day. When this plaque is not removed through proper brushing and flossing, it releases toxins that irritate the gum tissue. Understanding the warning signs is the first step in addressing the issue before it escalates.

  • Bleeding: The most common symptom, often noticed during flossing or brushing.
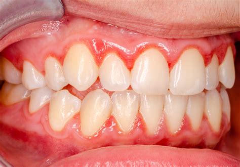
  • Redness and Swelling: Healthy gums should be firm and pale pink; inflamed gums appear puffy and dark red.
  • Bad Breath: Persistent halitosis can be a sign of bacterial accumulation.
  • Gum Sensitivity: Gums that feel tender or painful when touched.

Healthy vs inflamed gums

The Science Behind Why Gingivitis Is Reversible

The reason is gingivitis reversible is that it is strictly limited to the gum tissue (gingiva) and has not yet caused the irreversible destruction of the alveolar bone or the periodontal ligaments that hold your teeth in place. When you remove the source of the irritation—the bacterial plaque—your body’s natural immune system can heal the soft tissue relatively quickly. However, if left unchecked, the bacteria can harden into tartar (calculus), which cannot be removed by a toothbrush alone and will eventually lead to bone loss.

Condition Is it Reversible? Treatment Type
Gingivitis Yes Professional cleaning & improved oral hygiene
Periodontitis No (can be managed) Deep scaling, surgery, or specialized therapy

Steps to Reverse Gingivitis at Home

Reversing gingivitis does not require expensive procedures if caught early; it requires discipline. Here are the actionable steps to help your gums recover:

  • Improve Brushing Technique: Brush twice a day for two minutes. Use a soft-bristled toothbrush and ensure you are cleaning the gum line gently at a 45-degree angle.
  • Daily Flossing: This is non-negotiable. Flossing reaches the tight spaces between teeth where brushes cannot go, removing the bacteria that trigger gum inflammation.
  • Use Antimicrobial Mouthwash: An alcohol-free mouthwash can help reduce the bacterial load in your mouth and soothe inflamed tissue.
  • Maintain a Balanced Diet: Reduce intake of sugary snacks and processed carbohydrates, which serve as fuel for plaque-producing bacteria.

💡 Note: While these steps are highly effective, if your gums continue to bleed after two weeks of improved hygiene, you must schedule an appointment with a dentist to rule out underlying systemic issues.

The Role of Professional Dental Cleanings

Even with perfect home care, there are areas where plaque may have already hardened into tartar. Once tartar forms, it becomes a permanent host for bacteria that keep the gums in a state of chronic inflammation. A professional dental cleaning (prophylaxis) is the only way to remove this hardened deposit. By undergoing a professional cleaning, you provide your gums with a clean slate, allowing them to tighten back against the teeth and heal without the constant bacterial assault.

Long-term Prevention Strategies

Once you have successfully reversed the condition, the goal shifts to maintenance. Prevention is significantly easier and cheaper than dealing with the cycle of gum disease. Consistency is your greatest tool. By establishing a routine that includes twice-yearly dental checkups, you ensure that any minor issues are addressed before they become significant problems. Additionally, staying hydrated and managing stress can have a positive impact on your oral environment, as stress is known to weaken the immune system’s ability to fight off oral infections.

Gingivitis is a warning sign, not a permanent diagnosis. By recognizing the early indicators—such as bleeding or tenderness—and acting swiftly with improved hygiene and professional care, you can successfully reverse the damage and protect your smile for the long term. Remember that the health of your gums is inextricably linked to your overall physical health, making it an essential aspect of your wellness routine. By maintaining consistent brushing, flossing, and regular dental visits, you take control of your oral health and ensure that your gums remain firm, pink, and disease-free for years to come.

Related Terms:

  • how long to reverse gingivitis
  • is periodontal disease reversible
  • best way to reverse gingivitis
  • can periodontal disease be reversed
  • is gingivitis curable
  • how do you get gingivitis