Impaction Of Fracture

Impaction Of Fracture

Understanding the complexities of bone health is essential, especially when dealing with injuries that may seem straightforward but carry hidden risks. One such condition is the impaction of fracture, a medical phenomenon where the broken ends of a bone are driven into one another rather than being completely separated. This mechanism, while often perceived as a "stable" injury, requires precise diagnostic evaluation and professional management to prevent long-term functional impairment. By exploring how these fractures occur, how they are diagnosed, and the rehabilitation protocols involved, we can better appreciate the necessity of expert orthopedic care in ensuring a full recovery.

Defining Impaction of Fracture

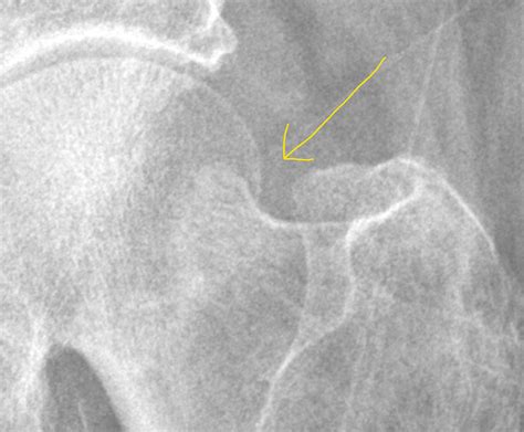
The impaction of fracture occurs when a bone sustains a high-energy impact that forces the fragments together, effectively "wedging" the bone tissue into itself. Unlike a transverse or oblique fracture where there is a clear break and separation, the impacted bone remains locked in a collapsed position. This is frequently seen in regions of the body characterized by cancellous (spongy) bone, such as the neck of the femur, the proximal humerus, or the wrist (distal radius).

Because the bone fragments are locked together, they may appear deceptively stable on initial physical examination. However, this inherent stability does not negate the severity of the trauma. The impaction often leads to shortening of the bone, alteration of joint mechanics, and potential damage to the surrounding blood supply, which is particularly critical in areas like the femoral neck.

Common Sites and Clinical Presentation

While an impaction can occur in almost any skeletal structure, clinical settings frequently encounter this injury in specific anatomical locations. The presentation varies, but patients often report localized pain, swelling, and a limited range of motion. Because the bone segments are engaged, the patient might sometimes mistakenly believe the injury is merely a severe bruise, leading to delayed medical attention.

  • Femoral Neck: Often resulting from falls, these are critical due to the risk of avascular necrosis.
  • Distal Radius: Common in individuals who fall on an outstretched hand; often presents with a "dinner fork" deformity if not managed correctly.
  • Proximal Humerus: Frequently seen in elderly patients, impacting the shoulder joint’s ability to rotate.
  • Calcaneus: Heel bone impaction, often resulting from high-impact axial loading.

Diagnostic Protocols and Imaging

Diagnosing the impaction of fracture requires high-resolution imaging. A standard X-ray is the first line of defense, but it can occasionally miss the subtlety of the impaction if the viewing angle is not optimal. Orthopedic surgeons rely on specific radiographic views to identify the degree of angulation and the extent of bone compression.

Diagnostic Tool Purpose in Impaction Cases
Radiography (X-ray) Initial screening and identifying bone alignment.
Computed Tomography (CT) Cross-sectional view to assess the extent of bone fragment impaction.
Magnetic Resonance Imaging (MRI) Evaluation of soft tissue damage and blood flow integrity.

⚠️ Note: Always seek immediate professional radiology assessment if you experience a sharp decline in limb mobility following a high-energy fall, even if the bone does not appear obviously displaced.

Treatment Approaches: Stability vs. Surgery

The management of an impacted fracture is dictated by the anatomical site and the age of the patient. There are two primary schools of thought: conservative management and surgical intervention. Conservative management involves immobilization, rest, and progressive weight-bearing, which is often chosen for minimally impacted fractures where the patient’s health does not permit invasive surgery.

Conversely, surgical intervention is necessary when the impaction causes significant misalignment that could lead to post-traumatic arthritis or permanent disability. Procedures typically include:

  • Closed Reduction: Manually manipulating the bone back to its correct position under anesthesia.
  • Open Reduction Internal Fixation (ORIF): A surgical procedure where plates, screws, or pins are used to secure the bone fragments in their anatomical position.
  • Bone Grafting: In cases where the impaction has caused significant void space, grafting is used to provide structural support for the healing bone.

Rehabilitation and Recovery

Recovery following the impaction of fracture is a phased process. Once the bone has been stabilized, the goal shifts to regaining strength and range of motion. Early mobilization is often encouraged for specific types of fractures to prevent muscle atrophy, but this must be done under strict physical therapy guidance to ensure the "impacted" area does not slip or collapse further during the healing phase.

Physical therapy programs usually focus on:

  1. Range of Motion: Gentle exercises to prevent joint stiffness, especially in shoulders and wrists.
  2. Strengthening: Isometric exercises progressing to isotonic resistance training.
  3. Proprioception: Re-educating the body to balance and move safely to prevent re-injury.

ℹ️ Note: Adhering to the "no weight-bearing" timeline prescribed by your orthopedic surgeon is critical; premature loading of an impacted site can cause the fracture to collapse further, significantly complicating the healing process.

Long-term Outlook

The prognosis for an impacted fracture is generally favorable provided that the diagnosis is timely and the rehabilitation is consistent. However, patients must be aware that "healed" does not always mean "the same as before." Many individuals may experience mild chronic stiffness or sensitivity to cold weather. In high-energy injuries, the risk of arthritis in the adjacent joint remains a long-term factor that should be monitored annually.

By prioritizing professional orthopedic care and following a structured recovery plan, the physical limitations associated with the impaction of fracture can be minimized. Whether dealing with a minor radial impaction or a more complex femoral injury, the combination of advanced imaging, appropriate stabilization, and dedicated physical therapy remains the gold standard for restoring quality of life and functionality.

Related Terms:

  • is an impacted fracture displaced
  • impacted vs transverse fracture
  • impaction fracture femur
  • picture of impacted fracture
  • impact fracture femur
  • treatment for impacted fracture