Hydrocephalus In Adults

Hydrocephalus In Adults

While often associated with infants and young children, hydrocephalus in adults is a significant and potentially serious medical condition that warrants careful attention. Often misunderstood, this condition involves the accumulation of cerebrospinal fluid (CSF) within the brain's ventricles, leading to increased intracranial pressure. When this pressure builds up in adults, it can cause a wide range of neurological symptoms that significantly impact quality of life. Understanding the nuances of this condition, from its underlying causes to the modern treatment options available, is essential for patients, caregivers, and those seeking to understand its progression.

Understanding Hydrocephalus in Adults

At its core, hydrocephalus occurs when there is an imbalance between the production and absorption of CSF. This fluid is crucial for protecting the brain and spinal cord, but when it cannot drain properly, it causes the ventricles to enlarge. In adults, this is generally classified into two main categories: communicating and non-communicating (obstructive) hydrocephalus. Furthermore, a specific and particularly important form of the condition in older populations is Normal Pressure Hydrocephalus (NPH).

The progression of the condition depends largely on the cause. Sudden onset cases may be linked to trauma, infection, or tumors, while chronic cases, like NPH, develop slowly over months or years. Recognizing the symptoms early is critical for effective management.

Common Symptoms to Watch For

The symptoms of hydrocephalus in adults can be subtle at first, often mimicking other age-related conditions. This diagnostic challenge is why awareness is so vital. Symptoms often cluster, particularly in cases of Normal Pressure Hydrocephalus, known as the “Hakim Triad.”

  • Gait disturbances: Feeling unsteady on one's feet, shuffling, or experiencing frequent falls.
  • Cognitive decline: Memory loss, difficulty concentrating, or a general "slowing" of thought processes.
  • Urinary incontinence: A loss of bladder control, often appearing later in the progression of the condition.
  • Headaches: Persistent or severe headaches, especially upon waking.
  • Nausea and vomiting: Often associated with increased pressure in the skull.
  • Vision issues: Blurred or double vision caused by pressure on the optic nerves.

⚠️ Note: If you or a loved one experience a sudden change in gait, cognition, or bladder control, consult a neurologist immediately. Early intervention is the strongest predictor of positive outcomes.

Diagnostic Procedures

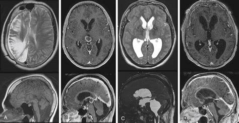
To confirm a diagnosis, physicians rely on a combination of clinical evaluation and advanced imaging technology. Because hydrocephalus in adults shares symptoms with conditions like Alzheimer’s or Parkinson’s, accurate diagnosis is the first priority.

Diagnostic Tool Purpose
MRI (Magnetic Resonance Imaging) Provides detailed images of the brain to visualize ventricle size.
CT Scan Quickly identifies enlarged ventricles and potential obstructions.
Lumbar Puncture Measures CSF pressure and evaluates if removing fluid improves symptoms.
Neuropsychological Testing Assesses cognitive function to track the severity of the decline.

Treatment Options and Surgical Interventions

The primary goal of treatment is to relieve the pressure inside the skull by diverting the excess fluid. The most common and effective surgical intervention for hydrocephalus in adults is the placement of a shunt system. A shunt is a flexible, specialized tube that creates a path for the excess CSF to travel from the brain to another part of the body—usually the abdomen—where it can be absorbed naturally.

Another increasingly common procedure is Endoscopic Third Ventriculostomy (ETV). During an ETV, a surgeon creates a small hole in the floor of the third ventricle, allowing the fluid to bypass the obstruction and drain safely. This procedure is particularly useful for obstructive cases, as it avoids the need for a permanent implantable device like a shunt.

Post-surgical recovery varies depending on the patient's age and overall health. Most patients experience a significant improvement in symptoms, particularly in balance and cognitive function, shortly after the pressure is relieved.

Living with the Condition

Managing the condition after treatment involves regular follow-up appointments with a neurosurgeon. Patients with shunts need to be monitored to ensure the device is functioning correctly and is not blocked or infected. While the condition is life-changing, it does not mean the end of an active life. Many adults go on to live productive lives after their intracranial pressure is successfully managed.

Engaging in physical therapy is highly recommended for patients experiencing gait issues. Working with a physical therapist can help retrain the body for balance and coordination, drastically reducing the risk of falls during the recovery phase.

💡 Note: Always keep a record of your shunt type or surgical procedure in your wallet or smartphone. In case of emergency, this information allows medical professionals to act quickly and appropriately.

The Importance of Early Detection and Support

The journey of navigating hydrocephalus in adults can be overwhelming, but it is manageable with the right medical team. By distinguishing the symptoms from other aging processes, families can advocate for the necessary testing that leads to an accurate diagnosis. Support groups, both online and in local communities, provide invaluable resources for patients adjusting to life with a shunt or recovery from neurological surgery. Remember that medical science continues to advance, and the precision with which surgeons can now treat this condition has improved outcomes for thousands of patients worldwide. Always prioritize consistent follow-up care and clear communication with your neurology team to ensure long-term health and stability.