Hole In Molar

Hole In Molar

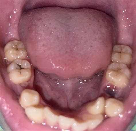
Discovering a hole in molar can be an alarming experience, often accompanied by sensitivity, pain, or simply a strange feeling when your tongue brushes against the tooth surface. Whether it is a small pit or a deep cavity, any visible defect in your tooth structure is a signal that your oral health requires immediate attention. Ignoring these signs can lead to more severe issues, including nerve damage, painful infections, and, in worst-case scenarios, tooth loss. Understanding what causes these holes, how to identify them, and why professional intervention is essential is the first step toward restoring your dental health.

Understanding the Causes of a Hole in Molar

Close up of dental checkup

A hole in molar is almost always the result of dental caries, commonly known as a cavity or tooth decay. This process does not happen overnight; it is a gradual breakdown of your tooth's enamel caused by acid-producing bacteria in your mouth.

When you eat sugary or starchy foods, bacteria consume the sugars and produce acids as a byproduct. These acids strip away the minerals from your tooth enamel, a process called demineralization. Over time, this constant attack weakens the enamel, creating a hole or cavity. Several factors contribute to this process:

  • Poor Oral Hygiene: Failing to brush twice a day or floss regularly allows plaque to accumulate, creating a breeding ground for bacteria.
  • Dietary Habits: Frequent snacking, especially on sugary foods, soda, and sticky candies, provides a constant fuel source for bacteria.
  • Dry Mouth: Saliva helps wash away food particles and neutralizes acids. A lack of saliva significantly increases the risk of decay.
  • Worn Fillings: Existing dental work can crack or wear down over time, allowing bacteria to get underneath and cause decay in the remaining tooth structure.

Signs and Symptoms of Dental Decay

While a large hole might be visible in the mirror or felt with your tongue, early-stage decay is often hidden between teeth or inside the deep grooves of your molars. Being aware of the following symptoms can help you catch a hole in molar early:

  • Sensitivity: Feeling sharp pain or discomfort when consuming hot, cold, sweet, or acidic foods and drinks.
  • Persistent Toothache: A dull ache or sharp pain occurring without any apparent cause.
  • Visible Damage: Seeing a physical dark spot, hole, or discoloration on the surface of the tooth.
  • Food Impaction: Regularly getting food stuck in a specific spot while chewing.

⚠️ Note: If you experience facial swelling, a fever, or severe pain that prevents you from sleeping, seek emergency dental care immediately, as these may be signs of a serious abscess.

Diagnosis and Professional Treatment

You cannot effectively treat a hole in molar at home. Dentists use specialized tools and imaging to determine the extent of the damage. During an examination, a dentist will likely perform the following steps:

Diagnostic Step Purpose
Visual Exam Checking for visible holes or dark discoloration.
Dental Explorer Using a metal tool to probe the tooth surface for soft or sticky areas.
X-Rays Identifying decay between teeth or below existing fillings.

Once the diagnosis is confirmed, the treatment depends on the severity:

  • Fillings: For small to moderate cavities, the dentist removes the decayed portion of the tooth and fills the hole with a dental material like resin composite or amalgam.
  • Dental Crowns: If the hole is large and the tooth is significantly weakened, a crown (or cap) may be required to protect the remaining structure.
  • Root Canal Therapy: If the decay has reached the pulp (the innermost part of the tooth containing nerves and blood vessels), a root canal is necessary to save the tooth from extraction.

Prevention Strategies

Preventing a hole in molar is far easier and less expensive than treating one. Establishing a robust oral hygiene routine is your best defense against tooth decay.

Follow these essential habits to maintain a healthy smile:

  • Brush Twice Daily: Use a fluoride toothpaste and a soft-bristled brush. Fluoride helps remineralize weakened enamel and prevents further damage.
  • Floss Once a Day: Plaque often hides in the tight spaces between molars where a toothbrush cannot reach.
  • Limit Sugary Snacks: If you do indulge, try to brush your teeth shortly afterward or rinse your mouth with water.
  • Regular Dental Checkups: Visit your dentist every six months for a professional cleaning and exam. They can spot small areas of decay before they become painful holes.
  • Consider Dental Sealants: For children and adults prone to cavities, thin protective coatings called sealants can be applied to the chewing surfaces of molars to block out food and bacteria.

💡 Note: Brushing immediately after consuming acidic drinks like orange juice or soda can sometimes damage the enamel. It is better to rinse with water first and wait about 30 minutes before brushing.

Final Thoughts on Your Oral Health

Dealing with a hole in molar should never be delayed. Because teeth cannot heal themselves, decay will inevitably progress until it is professionally treated. Taking proactive steps through daily hygiene, mindful eating, and consistent professional dental visits will save you from pain and more invasive procedures in the future. Remember that your oral health is intrinsically linked to your overall well-being, and a healthy mouth is the foundation of a healthy life. If you suspect you have a cavity, prioritize booking a dental appointment immediately to protect your tooth and your health.

Related Terms:

  • hole in my tooth effects
  • hole in tooth without pain
  • small hole in molar
  • hole in tooth no pain
  • large hole in molar tooth
  • small hole on tooth surface