High Grade Glioma

High Grade Glioma

A diagnosis of a High Grade Glioma is a life-altering event that brings with it a complex array of medical terminology, treatment decisions, and emotional challenges. These tumors, which originate from the glial cells that support neurons in the brain and spinal cord, are categorized by their aggressive behavior and rapid growth. Understanding the nature of these malignancies is the first step toward navigating the treatment journey, as medical science continues to evolve, offering new hope through precision medicine, advanced surgical techniques, and innovative clinical trials.

Understanding High Grade Glioma: The Basics

High Grade Glioma is a collective term used to describe fast-growing, malignant brain tumors. In the World Health Organization (WHO) classification system, these are typically identified as Grade III or Grade IV tumors. The most common and aggressive form is the Glioblastoma (Grade IV), which is known for its ability to infiltrate surrounding brain tissue, making complete surgical removal extremely difficult.

Because these tumors develop in the central nervous system, they can exert pressure on various parts of the brain, leading to symptoms that depend largely on the tumor's location. Common indicators include:

  • Persistent or worsening headaches, often worse in the morning.
  • Seizures, even in individuals with no prior history.
  • Cognitive changes, including confusion or memory loss.
  • Motor weakness or sensory changes in specific limbs.
  • Nausea, vomiting, or unexplained dizziness.

The Diagnostic Pathway

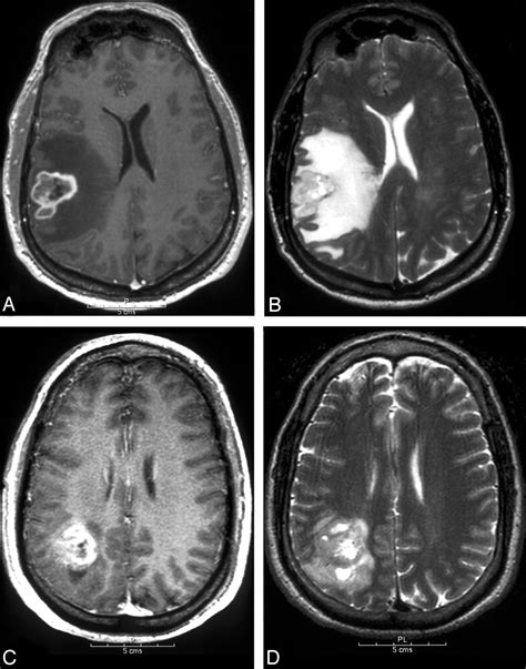
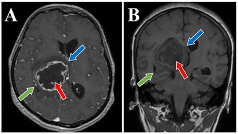
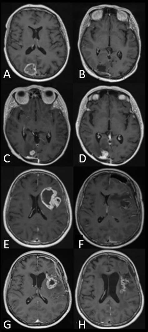
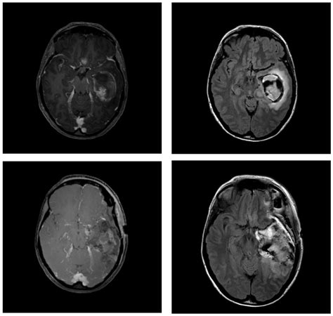
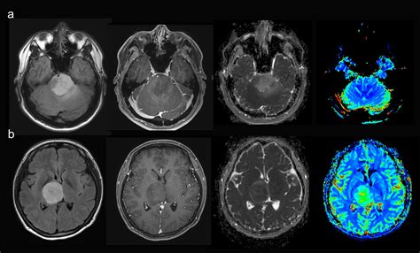
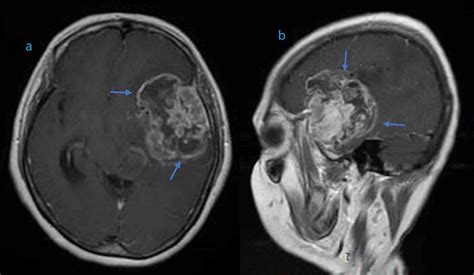
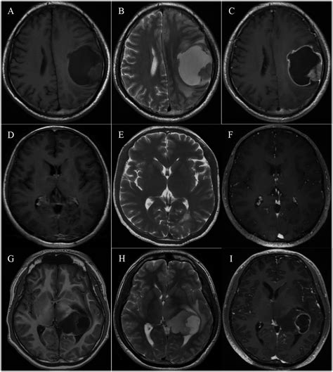
The journey toward a formal diagnosis usually begins with a neurological examination followed by advanced imaging. Physicians rely on several diagnostic tools to map the tumor’s size, location, and relationship to vital brain structures. Magnetic Resonance Imaging (MRI) with contrast remains the gold standard for visualizing these growths. In many cases, specialized sequences such as spectroscopy or perfusion imaging are used to differentiate between tumor tissue and postoperative changes.

Diagnostic Tool Purpose
MRI (Magnetic Resonance Imaging) Provides detailed anatomical images of the brain.
Stereotactic Biopsy Uses a needle to extract a tissue sample for genetic analysis.
Molecular Profiling Identifies specific mutations like IDH status or MGMT promoter methylation.

⚠️ Note: Molecular markers are critical in today's medical landscape as they help oncologists predict how well a tumor will respond to specific chemotherapy agents.

Treatment Modalities and Standards of Care

The standard treatment approach for a High Grade Glioma is multifaceted, often referred to as the "Stupp Protocol." This integrated strategy aims to maximize the removal of the tumor while minimizing damage to healthy brain tissue.

Surgery

The primary objective is maximal safe resection. Surgeons utilize neuronavigation systems and intraoperative MRI to remove as much of the tumor as possible. Even when total removal isn’t possible, “debulking” the tumor can alleviate intracranial pressure and improve the efficacy of subsequent therapies.

Radiation and Chemotherapy

Following surgery, patients typically undergo a combination of external beam radiation therapy and chemotherapy. Temozolomide is the standard chemotherapy drug utilized because it is effective at crossing the blood-brain barrier. This treatment is often administered in cycles to ensure that recurring cancer cells are targeted effectively over time.

Living with the Diagnosis: Support and Management

Managing the daily reality of a High Grade Glioma requires a multidisciplinary team. This includes neuro-oncologists, radiation oncologists, physical therapists, and palliative care specialists. Palliative care is often misunderstood; it is not just about end-of-life care but about managing symptoms, reducing pain, and improving the quality of life throughout the entire duration of the illness.

Caregivers play an equally vital role. Managing a brain tumor patient involves navigating complex schedules, medication management, and providing emotional support. It is essential for families to seek out support groups and professional counseling to manage the psychological toll of the diagnosis.

Emerging Research and Future Directions

The field of neuro-oncology is currently undergoing a rapid transformation. Researchers are moving beyond traditional treatments to explore immunotherapy, which trains the patient’s immune system to recognize and attack tumor cells. Additionally, tumor-treating fields (TTFields)—portable devices that create electrical fields to disrupt cancer cell division—have become an accepted addition to standard therapy.

💡 Note: Always discuss current clinical trials with your neuro-oncologist, as they may provide access to cutting-edge therapies not yet widely available in standard practice.

Advancements in genetic sequencing have allowed for more personalized treatment plans. By understanding the unique genetic footprint of a tumor, doctors can avoid "one-size-fits-all" approaches and tailor interventions that offer the best possible outcomes for each individual. While the challenges associated with this condition remain significant, the ongoing integration of technology and biological research continues to extend survival rates and preserve functional independence for many patients.

Facing a High Grade Glioma is undeniably one of the most difficult experiences a person and their family can endure. However, the synergy between surgical innovation, targeted pharmacological interventions, and comprehensive supportive care provides a structured framework for managing the disease. By maintaining an open line of communication with a dedicated medical team, staying informed about the latest research, and prioritizing quality of life, patients and their families can navigate this difficult path with clarity and necessary support. The progress being made in clinical settings today underscores a shift toward a more nuanced and hopeful approach to brain cancer care, ensuring that every therapeutic avenue is explored in the pursuit of better patient outcomes.

Related Terms:

  • Thalamic Glioma
  • Low-Grade vs high grade glioma
  • Glioma Brain Tumor
  • Glioblastoma Patients
  • high grade glioma MRI
  • Pediatric high grade glioma