Hemorrhoid Artery Embolization

Hemorrhoid Artery Embolization

Hemorrhoids are a common condition that affects millions of people worldwide, often causing discomfort, pain, and bleeding. For years, the standard approach to treating severe or persistent internal hemorrhoids involved invasive surgical procedures such as hemorrhoidectomy or rubber band ligation. However, medical advancements have introduced a minimally invasive alternative that is transforming patient care: Hemorrhoid Artery Embolization (HAE). This innovative procedure offers an effective solution for those seeking relief without the lengthy recovery times associated with traditional surgery.

Understanding Hemorrhoid Artery Embolization (HAE)

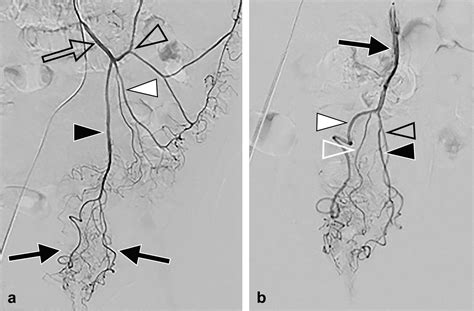
Hemorrhoid Artery Embolization is a cutting-edge, image-guided procedure performed by interventional radiologists. Unlike traditional surgery, which physically removes the hemorrhoidal tissue, HAE works by targeting the blood supply that feeds the hemorrhoids. By reducing the arterial blood flow to the hemorrhoidal plexus, the procedure causes the hemorrhoids to shrink over time, effectively alleviating symptoms like bleeding, pain, and protrusion.

Because it is a minimally invasive technique, it does not require general anesthesia or incisions in the sensitive anal region. Instead, a tiny catheter is guided through a blood vessel in the wrist or groin to the specific arteries supplying the hemorrhoids. Small particles are then injected to block these vessels, successfully reducing the pressure and engorgement of the hemorrhoidal tissues.

Who is a Candidate for HAE?

Not every patient with hemorrhoids requires intervention, but for those whose symptoms persist despite lifestyle changes or over-the-counter treatments, HAE may be an ideal option. Typically, candidates for Hemorrhoid Artery Embolization include:

  • Patients suffering from Grade I, II, or III internal hemorrhoids.
  • Individuals who experience significant rectal bleeding.
  • Patients who have failed to respond to non-surgical treatments like dietary adjustments, fiber supplements, or rubber band ligation.
  • Individuals seeking to avoid the pain and prolonged downtime of surgical excision.
  • Patients who may be at higher risk for complications from traditional surgery, such as those on blood-thinning medications.

Comparison: HAE vs. Traditional Surgical Treatments

It is helpful to weigh the benefits of this modern procedure against conventional methods. The following table highlights the key differences between Hemorrhoid Artery Embolization and traditional surgical approaches.

Feature Hemorrhoid Artery Embolization (HAE) Traditional Surgery (Hemorrhoidectomy)
Invasiveness Minimally invasive (catheter-based) Highly invasive (surgical excision)
Anesthesia Local or conscious sedation General or spinal anesthesia
Recovery Time Typically 24 to 48 hours 2 to 4 weeks
Pain Levels Minimal discomfort Significant post-operative pain
Hospital Stay Usually outpatient (same day) Often requires overnight stay

Benefits of Choosing Hemorrhoid Artery Embolization

The primary appeal of Hemorrhoid Artery Embolization is the significantly improved patient experience. Because there is no surgical cutting of the anal tissue, patients report much lower levels of pain compared to traditional procedures. The procedure is typically performed on an outpatient basis, meaning patients can return home the same day and resume most normal activities within a day or two.

Furthermore, because HAE does not damage the anal sphincter or surrounding skin, the risk of complications such as fecal incontinence or anal stricture—which can occasionally occur with surgical excision—is virtually eliminated. It provides a precise, targeted approach that addresses the root cause of the hemorrhoidal swelling while prioritizing the patient’s comfort and quality of life.

⚠️ Note: While HAE is highly effective for internal hemorrhoids, it may not be suitable for all cases, particularly if there are associated issues like large skin tags or severe external hemorrhoidal disease. A thorough consultation with an interventional radiologist is necessary to determine the best treatment path.

What to Expect During and After the Procedure

The process of undergoing Hemorrhoid Artery Embolization is designed to be as stress-free as possible. Here is a brief look at the clinical steps involved:

  1. Preparation: You will be sedated to ensure comfort, and the access site (usually the wrist) is numbed with a local anesthetic.
  2. Guidance: Using real-time X-ray imaging (fluoroscopy), the radiologist navigates a microcatheter through the vascular system.
  3. Embolization: Once the specific hemorrhoidal arteries are identified, specialized embolic agents are injected to reduce the blood supply.
  4. Completion: The catheter is removed, and a small bandage is applied to the access site.

Post-procedure, most patients experience only mild pressure or minimal discomfort. Because the procedure is not performed in the anal canal, the typical pain associated with bowel movements after traditional surgery is avoided. Patients are generally advised to stay hydrated and maintain a high-fiber diet to ensure optimal healing and prevent future recurrence of hemorrhoids.

⚠️ Note: It is important to follow all post-procedural activity restrictions, such as avoiding heavy lifting for 24-48 hours, to allow the access site to heal properly.

Long-term Outlook and Success Rates

Clinical studies have consistently demonstrated that Hemorrhoid Artery Embolization is highly effective in controlling symptoms, particularly rectal bleeding. Most patients notice a significant improvement within a few weeks as the hemorrhoidal tissue gradually shrinks. Because the blood supply is permanently reduced, the recurrence rate is low, provided that patients maintain a lifestyle that prevents chronic constipation and straining.

As interventional radiology continues to evolve, HAE stands out as a patient-centered advancement. By shifting the focus from excision to vascular management, it addresses the underlying pathophysiology of the disease, resulting in a more comfortable and sustainable solution for those struggling with chronic hemorrhoidal symptoms. Choosing this path can mean the difference between weeks of recovery and returning to one's daily life almost immediately.

By opting for this sophisticated, image-guided approach, patients gain access to a solution that balances clinical efficacy with minimal lifestyle disruption. If you are struggling with persistent symptoms and have not found relief through conventional methods, discussing this procedure with a specialist could be the critical next step in restoring your comfort and overall well-being. The evolution of modern medicine has made it possible to manage this common concern with greater ease than ever before, ensuring that you do not have to sacrifice your daily routine for effective relief.

Related Terms:

  • hemorrhoid embolization treatment
  • hemorrhoid artery embolization anatomy
  • latest treatment for hemorrhoids
  • hemorrhoid artery embolization treatment
  • newest treatment for hemorrhoids
  • hemorrhoid embolization recovery time