Gum Reconstruction Surgery

Gum Reconstruction Surgery

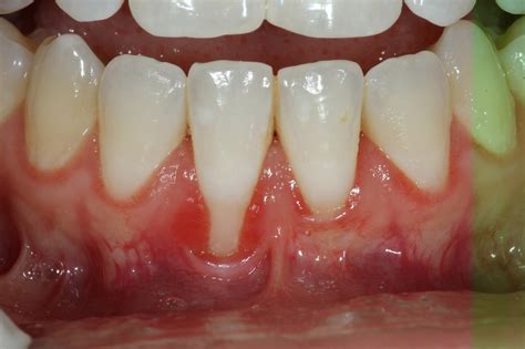
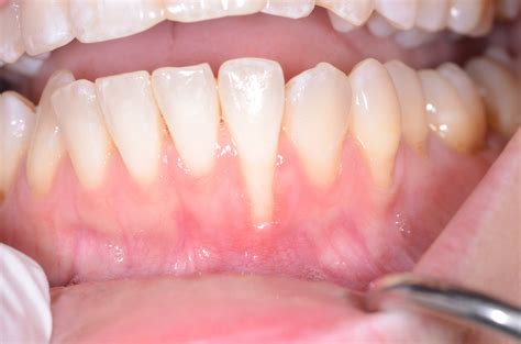
Experiencing receding gums is more than just a cosmetic concern; it is a significant indicator of underlying periodontal health issues that can compromise the stability of your teeth. When gums pull away from the tooth, they expose the sensitive root structure, leading to increased sensitivity, decay, and potentially tooth loss. This is where Gum Reconstruction Surgery—commonly known as gum grafting—becomes a necessary intervention to restore both the aesthetics of your smile and the functional health of your oral cavity. Understanding this procedure is the first step toward regaining confidence and preventing further dental deterioration.

What is Gum Reconstruction Surgery?

Gum Reconstruction Surgery is a restorative periodontal procedure designed to cover exposed tooth roots and rebuild the gum tissue that has been lost due to recession. Recession often occurs gradually, and many patients may not notice it until they experience sharp pain when consuming hot or cold foods. During this surgery, a periodontist takes a small amount of tissue—either from the roof of the mouth or from a donor source—and surgically attaches it to the affected area to fortively cover the exposed root.

The primary goals of this surgical intervention include:

  • Reducing tooth sensitivity: Covering the exposed root surface protects nerves from external stimuli.
  • Preventing further recession: Strengthening the tissue helps stop the progression of gum loss.
  • Improving aesthetics: Restoring the gum line provides a more uniform, youthful appearance to the smile.
  • Protecting against decay: Roots are covered by softer cementum rather than enamel, making them highly susceptible to decay; grafting restores a protective barrier.

Common Causes of Gum Recession

Before undergoing Gum Reconstruction Surgery, it is vital to understand why the recession occurred in the first place. Addressing the root cause is essential to ensure the longevity of the surgical results. The most frequent culprits include:

  • Aggressive Brushing: Using a hard-bristled toothbrush or brushing with too much force can wear down the gum tissue over time.
  • Periodontal Disease: Bacterial infections destroy the gum tissue and the supporting bone structures.
  • Genetics: Some individuals are predisposed to having thin or fragile gum tissue, making them more susceptible to recession regardless of their oral hygiene.
  • Tobacco Use: Smoking or chewing tobacco can cause gum inflammation and poor blood circulation in the gums, leading to tissue breakdown.
  • Bruxism: Grinding or clenching your teeth puts immense pressure on the gums and periodontal ligaments.

Types of Gum Grafting Procedures

The type of Gum Reconstruction Surgery recommended depends on the severity of the recession and the patient’s specific anatomical needs. A periodontist will evaluate the site to determine the best approach.

Procedure Type Source of Tissue Best For
Connective Tissue Graft Sub-epithelial tissue (from under the palate flap) The most common method for treating root exposure.
Free Gingival Graft Surface tissue from the roof of the mouth Patients with thin gums who need to thicken the tissue.
Pedicle Graft Adjacent gum tissue (partially cut and moved over) Patients who have ample gum tissue near the exposed tooth.

⚠️ Note: If you have active periodontal disease, this must be treated and brought under control through scaling and root planing before you can safely undergo gum reconstruction surgery.

What to Expect During the Surgery

The procedure is typically performed under local anesthesia, ensuring that the patient remains comfortable throughout. The duration of the surgery varies based on the number of teeth being treated. Generally, the steps include:

  1. Numbing: The surgical sites are thoroughly numbed.
  2. Preparation: The recipient site is cleaned to remove bacteria and tartar.
  3. Harvesting: The graft tissue is removed from the donor site (if a donor graft is not used).
  4. Placement: The graft is carefully sutured into place over the exposed root.
  5. Closure: The area is stabilized to allow for optimal healing.

Recovery and Aftercare

Post-operative care is crucial for the success of Gum Reconstruction Surgery. While some discomfort is expected, most patients manage well with prescribed pain relief and diligent follow-up care.

  • Dietary Adjustments: Stick to soft, cool, or room-temperature foods like yogurt, pasta, or smoothies for the first week.
  • Avoid Irritants: Do not smoke or use straws, as the suction can disrupt the graft site.
  • Hygiene: Do not brush or floss the surgical site directly until instructed by your periodontist. Instead, use a specialized antiseptic mouthwash.
  • Limit Physical Activity: Avoid strenuous exercise for at least 48 to 72 hours to prevent increased blood pressure in the surgical area.

ℹ️ Note: If you experience excessive bleeding, fever, or extreme swelling that does not subside after the first few days, contact your periodontist immediately for an evaluation.

Long-term Oral Health Benefits

Investing in Gum Reconstruction Surgery provides long-lasting benefits beyond just the visual improvement of your smile. By stabilizing the gum line, you are fundamentally preserving the foundation of your teeth. The procedure can prevent the need for more invasive treatments, such as bone grafting or eventual tooth extraction, which may occur if the recession is left unchecked. Patients who undergo this surgery often report a significant decrease in tooth sensitivity and a renewed motivation to maintain rigorous oral hygiene practices, knowing their gum health is once again protected.

Ultimately, restoring your gum health is a proactive measure that safeguards your smile for years to come. By addressing the root cause, choosing the appropriate surgical technique, and adhering to strict post-operative care, you can effectively stop the progression of gum disease and root exposure. While the process may seem daunting at first, the results—a healthier, more stable, and more confident smile—are well worth the effort. Always consult with a qualified periodontist to discuss your unique needs and determine if you are a candidate for this life-improving procedure.

Related Terms:

  • is gum grafting expensive
  • is gum grafting really necessary
  • when is gum grafting needed
  • dental surgery for receding gums
  • gum grafting for receding gums
  • gum grafting cost per tooth