Ground Glass Nodule In Lung

Ground Glass Nodule In Lung

Discovering that you have a ground glass nodule in lung tissue during a routine chest X-ray or a CT scan can be an unsettling experience. For many, the first instinct is to worry about serious illnesses like cancer, but medical professionals often view these findings with a much more nuanced perspective. Understanding what these nodules are, why they appear, and how they are monitored is essential for managing your health and reducing unnecessary anxiety. In most cases, these spots are incidental findings that require careful observation rather than immediate, aggressive intervention.

What is a Ground Glass Nodule?

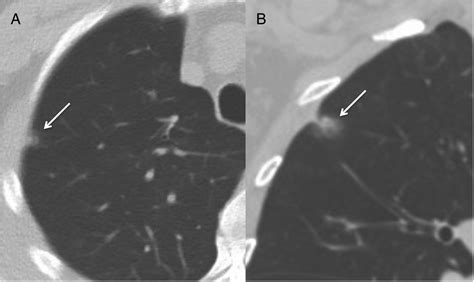
A ground glass nodule in lung imaging refers to a specific appearance on a high-resolution computed tomography (CT) scan. It looks like a hazy, foggy, or “ground-glass” opacity where the lung tissue appears slightly denser than normal but is not dense enough to completely obscure the underlying blood vessels or bronchial structures. Unlike solid nodules, which appear as bright white spots, these lesions are semi-transparent on diagnostic imagery.

Radiologists use this term to describe an area where the air spaces in the lungs are partially filled with fluid, inflammation, or fibrous tissue. Because they are often small and asymptomatic, they are frequently discovered incidentally during screenings for other conditions, such as chronic coughs, heart issues, or routine check-ups for heavy smokers.

Common Causes of Lung Opacities

While the prospect of lung issues often triggers fear, a ground glass nodule in lung scans is not always indicative of malignancy. There are several benign, temporary, or chronic conditions that can cause these appearances:

  • Infections: Viral or bacterial pneumonia, including COVID-19, often leaves behind lingering ground-glass opacities during the healing process.
  • Inflammation: Autoimmune diseases or reactions to inhaled substances (hypersensitivity pneumonitis) can cause localized inflammation in the alveolar spaces.
  • Fibrosis: Scarring from old injuries or chronic irritation can manifest as haziness on a scan.
  • Edema: Small amounts of fluid collection due to heart-related issues or congestion can mimic these nodules.
  • Pre-cancerous or Malignant Changes: In some cases, these nodules represent early-stage adenocarcinoma or atypical adenomatous hyperplasia (AAH), which are slow-growing and highly treatable if caught early.

Risk Assessment and Diagnostic Classification

When a physician identifies a ground glass nodule in lung tissue, they perform a risk assessment based on size, consistency, and patient history. The Fleischner Society guidelines provide a standardized framework for clinicians to decide whether to monitor the nodule, perform a biopsy, or schedule a follow-up scan. The primary goal is to distinguish between persistent nodules that require monitoring and transient ones that resolve on their own.

Nodule Type Description Typical Clinical Approach
Pure Ground Glass Hazy, no solid component Serial CT scans over several years
Part-Solid Hazy with a dense solid center Requires closer follow-up and faster intervention
Transient Disappears after a few months Usually related to infection or inflammation

💡 Note: If a ground glass nodule is found, your doctor may suggest a repeat CT scan in 3 to 12 months to determine if it is stable, shrinking, or growing, which helps determine the next steps.

The Role of Imaging and Follow-up

Advances in diagnostic imaging, particularly low-dose computed tomography (LDCT), have increased the rate of finding these nodules. While this may lead to more frequent check-ups, it is undeniably a positive development for early detection. If a ground glass nodule in lung imaging persists or shows signs of increasing in size, a medical team may look for:

  • Changes in the solid component size.
  • Irregular borders or “spiculation.”
  • New symptoms like persistent coughing, shortness of breath, or chest pain.

If the lesion is suspected to be of concern, clinicians might order a PET scan to check for metabolic activity or a biopsy to obtain a tissue sample. However, for the vast majority of patients, “watchful waiting” is the preferred and safest strategy.

Lifestyle Considerations for Lung Health

Regardless of whether the ground glass nodule in lung tissue is determined to be benign or requiring treatment, maintaining lung health is paramount. Integrating healthy habits can improve overall pulmonary function and support the body’s ability to recover from inflammatory processes:

  • Smoking Cessation: This is the single most important step to prevent progression of any pre-malignant changes in the lungs.
  • Environmental Awareness: Reduce exposure to environmental pollutants, mold, and occupational hazards like asbestos or silica.
  • Regular Physical Activity: Aerobic exercise helps maintain lung capacity and improves cardiovascular health, which in turn benefits respiratory efficiency.
  • Nutrient-Rich Diet: Focus on anti-inflammatory foods, such as those rich in antioxidants, to help the body manage chronic inflammation.

💡 Note: Always consult with a pulmonologist or a thoracic specialist rather than relying solely on online reports; every patient's clinical history is unique and requires a personalized approach.

Summary of Management Strategies

Managing the discovery of a ground glass nodule in lung imaging is a process of patience and medical oversight. Because these findings are often benign and slow-growing, there is usually ample time to monitor their development without the need for immediate, invasive procedures. Understanding that the haze seen on a scan may be the result of a past infection or minor inflammation can help reduce the distress associated with the diagnosis. By following the standardized guidelines set by your healthcare team—such as regular follow-up scans and lifestyle adjustments—you can ensure that you are taking the most effective path toward maintaining your long-term respiratory health. Stay in close communication with your physician, ask questions about your specific diagnostic report, and prioritize the ongoing care plan recommended for your specific health needs.

Related Terms:

  • multifocal ground glass nodules
  • nodular ground glass opacities lung
  • ground glass nodular density lung
  • ground glass nodular opacity lung
  • what causes ground glass nodules
  • ill defined ground glass nodule