Ground Glass Nodule

Ground Glass Nodule

Receiving news of a ground glass nodule discovered during a chest scan can be an unsettling experience. In the world of diagnostic imaging, these findings are becoming increasingly common, largely due to the widespread availability of high-resolution computed tomography (CT) scans. While the term might sound intimidating, it is essential to understand that a ground glass nodule does not automatically equate to a diagnosis of cancer. Instead, it serves as a descriptor for a specific appearance on a scan that requires careful clinical evaluation and professional monitoring.

Understanding What a Ground Glass Nodule Is

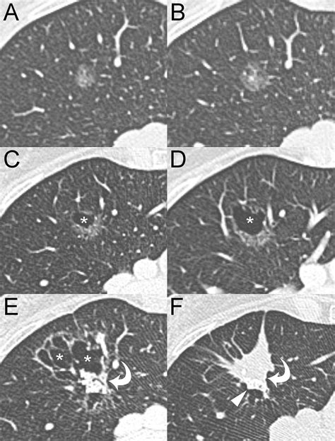
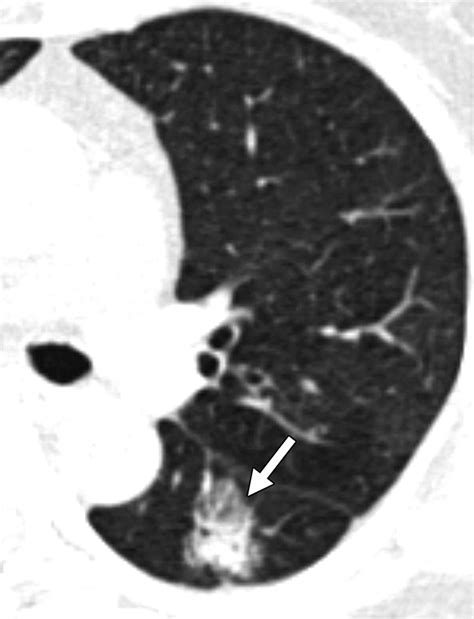
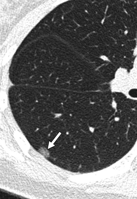
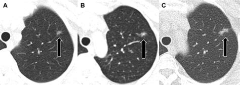
A ground glass nodule (GGN) refers to a hazy, cloudy opacity within the lungs that appears on a CT scan. Unlike solid nodules, which are dense enough to completely obscure the underlying lung tissue, a GGN allows the structures of the lung, such as the airways and blood vessels, to remain visible through the haze. The term derives from the visual similarity to glass that has been treated to appear frosted or translucent.

When a radiologist identifies these opacities, they look at several factors to determine the next steps, including:

  • Size: Whether the nodule is smaller or larger than 5-8 millimeters.
  • Consistency: Whether the nodule is "pure" (completely hazy) or "part-solid" (containing a denser core).
  • Persistence: Whether the nodule remains present on follow-up scans performed weeks or months later.

Common Causes and Diagnostic Context

It is a common misconception that all lung findings are malignant. In reality, a ground glass nodule can be caused by a variety of benign conditions, many of which are inflammatory or infectious in nature. Before jumping to alarming conclusions, doctors consider several potential culprits:

  • Inflammation: Localized irritation from past infections or environmental exposures.
  • Infection: Residual effects from viral or bacterial pneumonia that has not fully cleared.
  • Fibrosis: Small areas of scarring resulting from previous lung injury.
  • Hyperplasia: Benign cell growth, such as atypical adenomatous hyperplasia.
  • Malignancy: In some cases, persistent nodules may represent early-stage lung adenocarcinoma, which is why monitoring is critical.

⚠️ Note: If a nodule appears on a scan after an acute illness, doctors often recommend a repeat scan in 6 to 12 weeks to see if it resolves on its own, as many GGNs are simply transient inflammatory responses.

Classifying Nodule Risk Levels

To better manage patient care, medical professionals categorize these findings based on their characteristics. This helps determine whether a patient needs immediate intervention, frequent surveillance, or simply a routine follow-up.

Nodule Type Description Clinical Action
Pure Ground Glass Uniformly hazy, < 5mm Usually monitor annually
Pure Ground Glass Uniformly hazy, > 5mm Short-interval CT follow-up
Part-Solid Nodule Contains a solid component Closer monitoring or biopsy

The Role of Surveillance and Monitoring

The primary strategy for managing a ground glass nodule is "active surveillance." Because these findings often grow extremely slowly—sometimes over the course of several years—there is rarely a need for immediate, invasive surgery. By performing serial CT scans, your pulmonologist or thoracic surgeon can track changes in size, density, and shape.

During this period, it is vital to follow these protocols:

  • Maintain a consistent imaging schedule to compare apples-to-apples results.
  • Ensure that follow-up scans are performed using the same technical parameters.
  • Communicate any new respiratory symptoms, such as a persistent cough or shortness of breath, to your physician immediately.
  • Avoid smoking, as it irritates the lung tissue and complicates the interpretation of diagnostic imaging.

💡 Note: Always consult with a board-certified radiologist or a pulmonary specialist to interpret your specific scan results, as internet research cannot substitute for clinical expertise.

When Should You Be Concerned?

While the majority of these nodules are benign or very slow-growing, there are specific "red flags" that may prompt a more aggressive diagnostic approach. If a ground glass nodule begins to develop a larger solid component, or if it shows a rapid increase in size over a short timeframe, your medical team may transition from surveillance to diagnostic testing. This could involve a PET scan to check for metabolic activity or a biopsy to extract a tissue sample for laboratory analysis.

Modern medicine has significantly improved the prognosis for early-detected lung abnormalities. Through the use of low-dose CT screening, many early-stage growths are identified when they are still highly curable. The key is consistency in your follow-up appointments and maintaining open communication with your healthcare provider.

Ultimately, discovering a ground glass nodule is not a reason for panic, but rather a prompt for proactive health management. Because many of these findings are either remnants of past infections or harmless, slow-moving growths, the standard of care emphasizes cautious observation over aggressive treatment. By keeping up with recommended follow-up scans and working closely with a specialist, you ensure that any changes are detected early and addressed appropriately. Staying informed and adhering to a professional monitoring schedule remains the most effective way to protect your long-term lung health and peace of mind.

Related Terms:

  • ground glass nodule fleischner
  • pure ground glass nodule
  • ground glass nodule follow up
  • ground glass nodule radiopaedia
  • ground glass pulmonary nodule
  • ground glass nodule in lung