Gastric Intestinal Metaplasia

Gastric Intestinal Metaplasia

Receiving a diagnosis of Gastric Intestinal Metaplasia (GIM) can be understandably overwhelming, but understanding what it is and how it is managed is the first step toward effective care. Essentially, GIM is a condition where the normal cells lining the stomach are replaced by cells that more closely resemble those found in the intestines. While this transformation is not cancer, it is recognized as a potential precursor to gastric (stomach) cancer, making it a condition that requires proactive monitoring and management under the guidance of a gastroenterologist.

What is Gastric Intestinal Metaplasia?

To understand Gastric Intestinal Metaplasia, it helps to first understand the normal stomach lining. The stomach is designed to produce acid and enzymes to digest food. When the lining is chronically irritated—most commonly by the bacterium Helicobacter pylori (H. pylori) or chronic acid reflux—the stomach cells may undergo a "metaplasia," which is a change in cell type.

Essentially, the stomach lining is attempting to protect itself from the persistent injury by changing into a type of tissue that is more resistant to that irritation, unfortunately resembling intestinal tissue instead. It is important to note that this is a process, and it does not happen overnight. It typically occurs over many years.

Why Does Gastric Intestinal Metaplasia Occur?

The primary driver of Gastric Intestinal Metaplasia is chronic inflammation. There are several well-established risk factors and contributors to this cellular change:

  • Helicobacter pylori (H. pylori) infection: This is the most significant and well-documented cause. Addressing this infection is often the first line of defense.
  • Chronic Gastritis: Long-standing inflammation of the stomach lining.
  • Dietary factors: High consumption of salt-preserved foods, smoked meats, and low intake of fresh fruits and vegetables may increase risk.
  • Smoking and Alcohol: Both habits contribute to chronic inflammation and cellular damage in the gastrointestinal tract.
  • Genetics and Family History: While less common, some individuals have a higher genetic predisposition to gastric conditions.

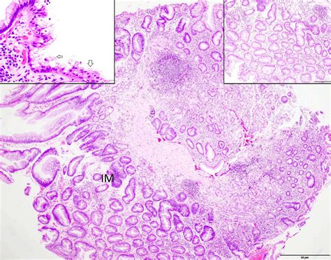
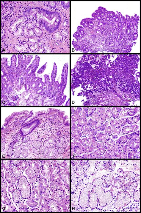
Classification of GIM

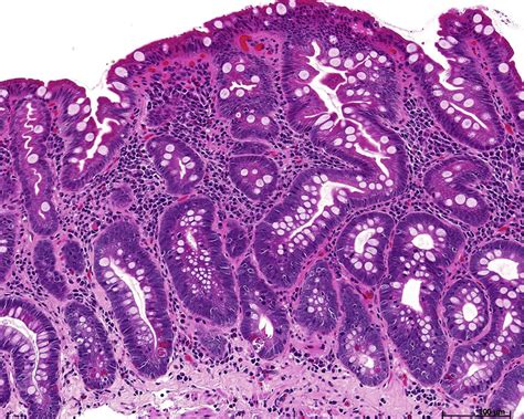
When a pathologist examines a biopsy sample, they may classify Gastric Intestinal Metaplasia into different types. These distinctions help doctors determine the potential risk profile of the condition.

Classification Description
Complete (Type I) The intestinal cells closely resemble the small intestine; generally considered lower risk.
Incomplete (Type II/III) The cells resemble those of the colon; these types are often associated with a slightly higher risk of progression.

Diagnosis and Monitoring

Gastric Intestinal Metaplasia is rarely symptomatic on its own; it is usually discovered during an endoscopy performed for other gastrointestinal complaints like persistent indigestion, bloating, or abdominal pain. If a gastroenterologist notices suspicious tissue, they will perform a biopsy to confirm the diagnosis.

Once diagnosed, the focus shifts to management and surveillance. This is not necessarily a "watch and wait" approach, but rather a "manage and monitor" strategy. Key aspects include:

  • Eradication of H. pylori: If testing confirms the presence of H. pylori, a course of antibiotics and acid-suppressing medication is essential. This can sometimes halt or even reverse the progression of GIM.
  • Periodic Endoscopy: Depending on the severity, extent, and type of metaplasia, your doctor may recommend follow-up endoscopies every 1 to 3 years to ensure no further concerning cellular changes occur.
  • Lifestyle Adjustments: Reducing salt intake, quitting smoking, and increasing dietary antioxidants can create a less inflammatory environment in the stomach.

⚠️ Note: It is crucial to follow the specific surveillance schedule recommended by your gastroenterologist, as they tailor the frequency of check-ups based on the biopsy results and your individual risk factors.

Lifestyle Strategies for Stomach Health

While you cannot always reverse Gastric Intestinal Metaplasia once it has developed, lifestyle modifications play a critical role in preventing further damage and optimizing the health of your stomach lining.

  • Adopt a Stomach-Friendly Diet: Focus on whole foods, including plenty of colorful vegetables and fruits that are rich in Vitamin C and beta-carotene.
  • Minimize Salt and Processed Meats: Excessive salt can damage the stomach lining and exacerbate inflammation. Limit intake of cured, smoked, or heavily salted foods.
  • Manage Stress: Chronic stress can negatively impact digestive health and immune function, which may indirectly influence the stomach environment.
  • Avoid Non-Steroidal Anti-Inflammatory Drugs (NSAIDs): Frequently using NSAIDs like ibuprofen or aspirin can irritate the stomach lining. Consult your doctor for safer pain management alternatives if necessary.

The Path Forward

The progression from Gastric Intestinal Metaplasia to cancer is a slow and infrequent process for most people. The presence of GIM is, above all, a signal that your stomach requires attention and care. By successfully treating underlying causes like H. pylori, adhering to a recommended surveillance schedule, and adopting healthier lifestyle habits, the vast majority of individuals with this condition will never develop serious complications.

The most important takeaway is that knowledge is your best tool. Being aware of this diagnosis allows you to take active control of your gastrointestinal health. Engage in open, ongoing conversations with your healthcare provider, ask questions about your biopsy results, and stay committed to the recommended follow-up plan. With appropriate medical supervision and a proactive lifestyle, you can effectively manage this condition and maintain a healthy, functional digestive system for the long term.

Related Terms:

  • gastric intestinal metaplasia acg guidelines
  • gastric intestinal metaplasia treatments
  • intestinal metaplasia
  • gastric intestinal metaplasia symptoms
  • gastric mapping
  • acg gastric intestinal metaplasia