Fungal In Sinus

Fungal In Sinus

Persistent sinus congestion, facial pressure, and a lingering sense of being unwell often lead people to search for answers, only to discover that the culprit might not be a common cold or bacterial infection. A fungal in sinus infection, medically known as fungal rhinosinusitis, is a condition that occurs when fungal spores, which are naturally present in our environment, take hold within the nasal passages and sinuses. While most people breathe in these spores every day without incident, certain environmental factors, underlying health conditions, or anatomical issues can create an environment where these fungi thrive, leading to uncomfortable and sometimes severe symptoms.

Understanding Fungal Infections in the Sinuses

Fungal infections in the sinuses are not a single, uniform condition; they exist on a spectrum ranging from non-invasive, benign forms to rare, life-threatening invasive types. Understanding this spectrum is crucial for both diagnosis and treatment. In many instances, the body’s immune system is perfectly capable of keeping these fungi in check, but when the local environment in the sinus cavity changes—perhaps due to chronic inflammation, poor drainage, or a weakened immune system—the fungi can colonize the area.

The prevalence of a fungal in sinus issue is often underestimated because symptoms frequently mimic those of chronic bacterial sinusitis or allergic rhinitis. However, there are distinct differences in how these infections manifest and how they must be managed clinically.

Types of Fungal Sinusitis

Clinicians generally categorize fungal sinusitis into several distinct types based on how the fungus interacts with the host tissue:

  • Fungal Ball (Mycetoma): This is a non-invasive form where a dense accumulation of fungal hyphae develops in a single sinus cavity, usually the maxillary sinus. It often occurs in individuals with normal immune systems and is usually cleared through surgical removal.
  • Allergic Fungal Rhinosinusitis (AFRS): This is an allergic reaction to fungal spores. The body reacts by producing thick, peanut-butter-like mucus, which can cause polyps and obstruct sinus drainage.
  • Chronic Indolent Sinusitis: A rare, slow-growing, but persistent infection that can occur in immunocompetent individuals.
  • Invasive Fungal Sinusitis: This is a serious medical emergency, typically seen in individuals with severely compromised immune systems (such as those with uncontrolled diabetes, transplant recipients, or cancer patients). It requires immediate and aggressive intervention.

Common Symptoms to Watch For

Recognizing the symptoms early can prevent the condition from worsening. While symptoms can vary depending on the specific type of infection, there are common signs that suggest a fungal in sinus issue:

  • Chronic nasal congestion that does not improve with standard antibiotics.
  • Thick, colored nasal discharge, sometimes with a foul odor.
  • Facial pain or pressure, especially around the eyes, cheeks, or forehead.
  • Reduced sense of smell (hyposmia).
  • Frequent headaches that are localized to the sinus area.
  • Development of nasal polyps that return even after treatment.

⚠️ Note: If you experience sudden vision changes, severe facial pain, high fever, or swelling around the eyes, seek immediate medical attention, as these can be signs of a more severe, invasive infection.

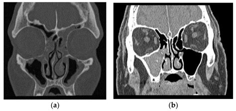
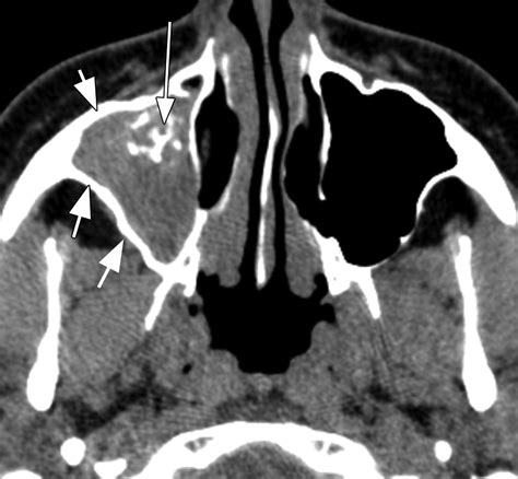
Comparison Table: Bacterial vs. Fungal Sinusitis

It is often difficult to distinguish between bacterial and fungal causes based on symptoms alone. The following table highlights common clinical differences:

Feature Bacterial Sinusitis Fungal Sinusitis
Onset Usually acute; follows a viral cold Typically chronic; develops slowly
Antibiotic Response Often improves with antibiotics Usually shows little to no improvement
Mucus Characteristics Yellow/Green Thick, sticky, sometimes metallic odor
Imaging (CT Scan) Mucosal thickening High-density spots or calcifications

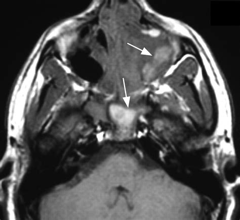
Diagnosis and Medical Evaluation

If you suspect you have a fungal in sinus infection, seeing an Otolaryngologist (Ear, Nose, and Throat specialist) is essential. Because standard treatments for bacterial infections often fail for fungal cases, accurate diagnosis is the most important step in finding relief.

The diagnostic process typically involves:

  • Nasal Endoscopy: A doctor uses a thin, flexible tube with a camera to look directly into the nasal passages and sinuses, checking for polyps or fungal debris.
  • Computed Tomography (CT) Scan: This imaging provides a detailed view of the sinuses and can highlight calcifications or specific patterns characteristic of fungal growth.
  • Fungal Culture and Biopsy: A sample of the mucus or tissue may be taken during the endoscopy to identify the specific type of fungus in a laboratory setting.

Management and Treatment Options

The treatment approach for a fungal in sinus issue is highly dependent on the diagnosis. For a non-invasive fungal ball, surgery is often the primary and only necessary treatment to clear the cavity. For Allergic Fungal Rhinosinusitis (AFRS), the approach is typically a combination of surgical cleaning, topical steroid sprays, and sometimes oral anti-fungal or steroid medications to manage the body's allergic response.

Invasive cases require urgent surgical debridement (removal of infected tissue) alongside systemic (oral or intravenous) antifungal therapy. In all cases, treating any underlying issues, such as poor drainage or systemic immune compromise, is critical for long-term resolution.

💡 Note: Do not attempt to treat a suspected fungal sinus infection with over-the-counter anti-fungal creams meant for skin issues; these are not appropriate for nasal passages and could cause significant irritation.

Long-Term Outlook and Prevention

Most cases of fungal sinusitis, when properly diagnosed and managed, have a positive outlook. The primary challenge is often the chronicity of the condition, particularly in allergic forms where environmental factors can trigger recurrence. Maintaining good sinus health through saline irrigation and managing allergies can go a long way in preventing re-colonization. Furthermore, individuals with chronic health conditions should work closely with their primary care physicians to ensure their underlying health is well-managed, as this strengthens the body's natural defenses against opportunistic fungal growth.

Managing sinus health effectively requires persistence and a clear understanding of the root cause of your symptoms. While many sinus issues are caused by bacteria or viruses, recognizing the signs of a fungal infection is essential for receiving the correct care. By working with a medical specialist to perform proper diagnostic testing, you can avoid unnecessary courses of ineffective antibiotics and move toward an appropriate treatment plan. Whether the solution involves clearing a simple fungal ball or managing a complex allergic response, early detection remains your best tool for reclaiming your sinus health and comfort.

Related Terms:

  • sinus fungal infection treatment
  • antifungal for sinus fungal infection
  • sinus fungal colonization
  • sinus fungal infection symptoms
  • sinus fungal infection
  • sinus fungal balls pictures