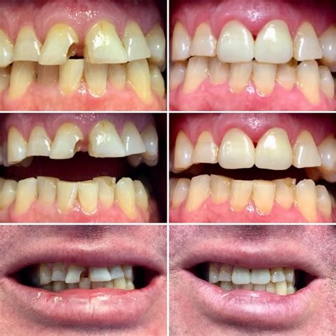
A front tooth cap, commonly referred to in dentistry as a dental crown, is a highly effective restorative solution designed to protect, cover, and restore the shape, size, and appearance of a tooth that has been compromised. Whether your front tooth has suffered from severe decay, a fracture, or deep discoloration, a cap acts as a custom-fitted "helmet" that sits over the entire visible portion of the tooth. Because front teeth are the most visible part of your smile, choosing the right material and procedure is crucial for achieving both functional durability and a natural, aesthetic result.
Understanding Why You Might Need a Front Tooth Cap
Dental professionals typically recommend a front tooth cap when a filling is no longer sufficient to restore the tooth's structure. Front teeth are thin, and once a significant portion of the natural tooth structure is lost, it becomes fragile. A cap provides the necessary reinforcement to prevent further breakage and restores your ability to bite and speak comfortably.
Common scenarios that necessitate this procedure include:
- Severe Tooth Decay: When a cavity is too large to be supported by a standard filling.
- Chipped or Fractured Teeth: Often resulting from accidents, sports injuries, or biting down on hard objects.
- Cosmetic Enhancement: To mask deep, intrinsic staining or to correct the shape of misshapen teeth.
- Post-Root Canal Treatment: A tooth that has undergone root canal therapy often becomes brittle and requires a cap for protection.
- Replacing Large, Worn-out Fillings: Over time, old fillings can shrink or fracture, leaving the tooth vulnerable.

Types of Materials for Front Tooth Caps
When selecting a front tooth cap, aesthetics are paramount. Unlike back molars, which require maximum structural strength, front teeth require materials that mimic the translucency and color of natural enamel. Modern dentistry offers several excellent options:
| Material Type | Best For | Aesthetics |
|---|---|---|
| All-Ceramic (Porcelain) | Superior appearance | Excellent, high translucency |
| Zirconia | Strength & Durability | Very good, opaque |
| Porcelain-Fused-to-Metal | Structural integrity | Good, but can show a dark line |
For the front teeth, All-Ceramic or Porcelain crowns are usually the gold standard because they reflect light similarly to natural teeth, ensuring that your dental work remains virtually invisible to others.
The Procedure: What to Expect
Getting a front tooth cap is generally a two-visit process, though some modern practices offer same-day crown technology. Understanding the workflow helps alleviate anxiety regarding the appointment.
- Examination and Preparation: Your dentist will take X-rays to assess the health of the tooth root. The tooth is then filed down to create space for the new cap.
- Impressions: A physical or digital impression is taken of your teeth to ensure the laboratory creates a precise fit.
- Temporary Crown: While your permanent cap is being fabricated, a temporary crown is placed to protect the prepared tooth and maintain your smile's appearance.
- Final Fitting: During the second visit, the dentist removes the temporary, places the permanent crown, and checks the bite, color match, and comfort.
💡 Note: Sensitivity to cold or heat is common immediately after the procedure. If the discomfort persists for more than a few days, contact your dentist to ensure the bite is properly aligned.
Maintaining Your New Smile
Once your front tooth cap is placed, it does not mean the tooth is immune to future issues. Proper oral hygiene is essential to ensure the longevity of your dental work. The margin where the crown meets the gum line is the most vulnerable area for plaque buildup.
- Brush Twice Daily: Use a soft-bristled toothbrush to clean around the gum line gently.
- Floss Every Day: This is non-negotiable. Use waxed floss or interdental brushes to remove debris from between the teeth.
- Avoid Chewing Hard Objects: Refrain from biting on ice, pens, or opening packages with your teeth, as this can crack the porcelain material.
- Schedule Regular Check-ups: Professional cleanings allow the dentist to inspect the integrity of the crown and the health of the underlying tooth structure.
Choosing to restore your smile with a high-quality front tooth cap is an investment in both your oral health and your self-confidence. By selecting the right material and adhering to a diligent maintenance routine, you can enjoy a durable, natural-looking restoration for many years. Remember that professional guidance is the best way to determine if a crown is the right solution for your specific dental needs. With the advancements in modern restorative dentistry, there is no reason to hide your smile due to damaged or unsightly front teeth; talk to your dental provider today to discuss how these restorations can help you achieve the healthy, bright appearance you desire.
Related Terms:
- front tooth cap fell off
- dental cap for front teeth
- pictures of front teeth crowns
- tooth cap for front teeth
- permanent front tooth crowns
- temporary front tooth cap