Fractured Tibial Plateau

Fractured Tibial Plateau

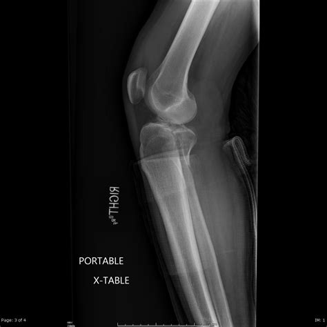
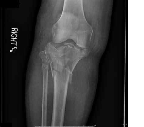
A fractured tibial plateau is a significant injury that affects the top portion of the tibia (shinbone), specifically the part that forms the knee joint. Because the tibial plateau is crucial for supporting the weight of the entire body and facilitating knee movement, a break in this area can be physically debilitating and requires precise medical intervention. Understanding the nature of this injury, the symptoms that accompany it, and the recovery journey is essential for anyone dealing with this diagnosis or helping a loved one navigate it.

What is a Fractured Tibial Plateau?

The knee is a complex joint where the femur (thigh bone) meets the tibia (shinbone). The tibial plateau is the flat, top surface of the tibia, covered in cartilage to ensure smooth movement. When excessive force is applied to this area, the bone can crack or shatter. This type of injury often results from high-energy trauma, such as car accidents or falls from significant heights, though it can also occur in older individuals with lower bone density due to minor accidents.

Because the tibial plateau is integral to stability, a fracture here is considered a serious injury. It not only damages the bone structure but can also affect the soft tissues, ligaments, and nerves surrounding the knee joint. Proper diagnosis using imaging techniques like X-rays or CT scans is critical to determine the severity and the best course of treatment.

Common Symptoms and Causes

Recognizing the signs of a fractured tibial plateau immediately following an accident is vital. Because this area bears weight, symptoms are usually immediate and severe.

Common symptoms include:

  • Intense pain that worsens when putting weight on the leg.
  • Significant swelling and bruising around the knee joint.
  • Inability to move the knee or straighten the leg.
  • Deformity or visible misalignment of the knee.
  • Numbness in the foot, which could indicate nerve damage.

Primary causes include:

  • High-impact collisions: Motor vehicle or motorcycle accidents.
  • Falls: Falling from a ladder, roof, or significant height.
  • Sports injuries: High-speed sports that involve sudden stops or collisions.
  • Osteoporosis: In older populations, bones become brittle, making them more prone to fractures from minor falls.

Classification and Diagnosis

Medical professionals use specialized systems to classify these injuries, which helps dictate the surgical or non-surgical approach. The Schatzker Classification is the most widely used system to categorize the fracture type, ranging from simple cracks to complex, multi-fragmentary injuries.

Classification Description
Type I Split fracture, usually lateral, without depression.
Type II Split-depression fracture of the lateral tibial plateau.
Type III Pure depression fracture of the lateral plateau.
Type IV Fracture involving the medial tibial plateau.
Type V Bicondylar fracture (both medial and lateral plateaus).
Type VI Fracture involving the plateau and the tibial shaft.

⚠️ Note: Always seek emergency medical attention if you suspect a knee fracture. Delaying treatment can lead to long-term complications, including chronic pain, arthritis, and restricted mobility.

Treatment Approaches: Surgical vs. Non-Surgical

Treatment for a fractured tibial plateau depends entirely on the stability of the knee and the extent of the bone displacement. If the bones are not misaligned, or if the patient cannot undergo surgery for health reasons, a non-surgical approach may be taken.

Non-Surgical Management

This typically involves immobilizing the knee with a brace or cast to allow the bone to heal naturally. During this time, the patient is usually instructed to avoid putting any weight on the affected leg. Regular X-rays are required to ensure the bone does not shift out of place during the healing process.

Surgical Intervention

Most significant fractures require surgery to realign the bone fragments and restore the smooth surface of the knee joint. Surgeons often use hardware—such as plates and screws—to hold the bone fragments in the correct position until they knit back together.

Key goals of surgical treatment include:

  • Restoring the anatomical alignment of the joint surface.
  • Stabilizing the fracture to allow for early movement.
  • Preventing long-term complications like post-traumatic arthritis.

Rehabilitation and Recovery

Recovery from a fractured tibial plateau is a marathon, not a sprint. The process requires patience and adherence to a structured rehabilitation program. Because the knee joint is immobilized, muscles in the leg often weaken (atrophy), and the joint can become stiff.

Stages of the recovery process:

  1. Immediate Post-Op: Focus on pain management, reducing swelling, and keeping the leg elevated.
  2. Early Motion: Physical therapy often begins early, focusing on gentle range-of-motion exercises to prevent stiffness.
  3. Weight-Bearing Progression: Surgeons typically restrict weight-bearing for 6 to 12 weeks. Gradually, you will be cleared to put more weight on the leg.
  4. Strengthening: Once bone healing is confirmed, focus shifts to rebuilding muscle strength in the quadriceps, hamstrings, and calves.

💡 Note: Physical therapy is the most critical component of your recovery. Skipping sessions or progressing too fast can lead to setbacks, including hardware failure or permanent joint stiffness.

Managing Long-Term Expectations

Even with successful treatment, the journey does not end when the bone heals. Many patients find that their knee feels different than it did before the injury. Some degree of stiffness, especially in cold weather, or mild chronic discomfort can be common. Engaging in low-impact activities like swimming or cycling is often recommended over high-impact sports to protect the knee joint from excessive stress in the years following the injury.

By prioritizing consistent physical therapy and following your orthopedic surgeon’s advice, you can maximize your chances of returning to a high level of function. While the process is undeniably challenging, maintaining a proactive mindset toward recovery and recognizing the signs of progress will help you navigate this difficult path toward regaining your mobility and independence.

Related Terms:

  • tibial plateau fracture surgery
  • fracture tibial plateau treatment
  • tibial plateau fracture pain
  • tibial plateau fracture complications
  • open right tibial plateau fracture
  • tibial plateau fracture treatment options