Fractured Inferior Pubic Ramus

Fractured Inferior Pubic Ramus

A fractured inferior pubic ramus is a specific type of pelvic fracture that often occurs following high-energy trauma or, more commonly in older adults, low-energy falls. The pelvis is a complex, ring-like structure, and when one part is compromised, it can lead to significant pain, mobility issues, and concern regarding the stability of the pelvic ring. Understanding the nature of this injury, how it is diagnosed, and the typical recovery trajectory is essential for patients, caregivers, and those looking to understand orthopedic rehabilitation better.

Understanding the Anatomy of the Pelvis

To grasp what a fractured inferior pubic ramus is, one must first understand the anatomy of the pelvis. The pelvis is composed of several bones joined together: the ilium, ischium, and pubis. These bones form a sturdy, basin-like structure that protects internal organs and connects the spine to the lower extremities.

The pubic rami are thin, bridge-like structures connecting the anterior part of the pelvis. Specifically, the pubic bone is divided into two rami: the superior pubic ramus and the inferior pubic ramus. A fracture here means that the integrity of this thin bony bridge has been compromised. While often classified as a "stable" fracture, meaning the pelvic ring remains intact, it can still be exceptionally painful and debilitating.

Common Causes of a Fractured Inferior Pubic Ramus

The mechanism of injury varies significantly based on the age and bone density of the patient:

  • Low-Energy Trauma: This is the most frequent cause in the elderly population. A simple trip, slip, or fall from a standing height can apply enough stress to brittle bones—often affected by osteoporosis—to cause a fracture.
  • High-Energy Trauma: In younger patients, this injury is typically the result of significant forces, such as motor vehicle accidents, pedestrian collisions, or falls from a significant height.
  • Stress Fractures: In some cases, athletes or individuals involved in repetitive, high-impact activities may develop stress fractures in the pubic ramus due to muscle pull or repetitive loading.

Symptoms and Clinical Presentation

Recognizing the symptoms of a fractured inferior pubic ramus is the first step toward getting appropriate care. If you suspect an injury, it is crucial to seek medical evaluation immediately.

  • Pain: The most common symptom is localized pain in the groin, hip, or lower abdominal area.
  • Difficulty Walking: Pain often makes bearing weight on the affected leg extremely uncomfortable or nearly impossible.
  • Swelling and Bruising: While not always visible due to the depth of the bone, some patients may notice swelling or tenderness in the inguinal region.
  • Restricted Range of Motion: The pain usually prevents the patient from moving the hip joint through its full range, especially with movements that involve hip flexion or abduction.

Diagnostic Procedures

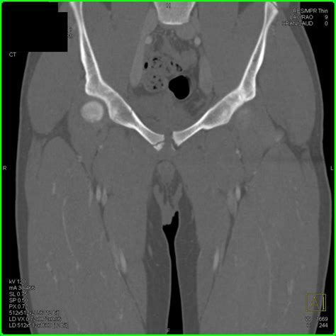
Doctors rely on a combination of physical examinations and imaging techniques to confirm a fracture. Because a fractured inferior pubic ramus can sometimes be associated with other, more severe pelvic injuries, a thorough assessment is vital.

Diagnostic Method Purpose
Physical Exam To check for tenderness and evaluate weight-bearing ability.
X-Ray The primary imaging tool to visualize bony breaks and alignment.
CT Scan Used for detailed cross-sectional views if the X-ray is unclear or if complex fractures are suspected.
MRI Often used to identify occult or stress fractures that do not show up on standard X-rays.

💡 Note: If you experience sudden, severe groin pain after a fall, avoid putting weight on that side and seek urgent orthopedic evaluation to prevent further displacement of the fracture.

Treatment Approaches: The Path to Recovery

The treatment for a fractured inferior pubic ramus is usually conservative, as the pelvis is often stable enough that surgery is not required. However, the recovery process requires patience and adherence to medical advice.

Conservative Management

Most patients are treated with a regimen of rest, pain management, and gradual mobilization. This includes:

  • Pain Control: Over-the-counter or prescription analgesics help manage initial pain, allowing the patient to participate in physical therapy.
  • Weight-Bearing Restrictions: Depending on the severity, a doctor may recommend "touch-down" or partial weight-bearing using crutches or a walker for a few weeks.
  • Physical Therapy: Once the acute pain subsides, guided physical therapy is essential to regain hip strength, balance, and gait mechanics.

Surgical Intervention

Surgery is rarely indicated for a lone inferior pubic ramus fracture. It may only be considered if the fracture is highly displaced, if there is involvement of the hip socket (acetabulum), or if the pelvic ring is determined to be unstable.

Recovery and Rehabilitation

The timeline for recovery varies. While the bone itself may heal in 6 to 12 weeks, the surrounding muscle and soft tissue may take longer to return to pre-injury strength. It is common for elderly patients to require a period of rehabilitation in a supervised facility to ensure safe mobility before returning home.

Key focuses during rehabilitation include:

  • Core Stabilization: Strengthening the abdominal and pelvic floor muscles to support the pelvis.
  • Hip Strengthening: Focusing on the gluteal muscles and hip flexors to restore a natural walking pattern.
  • Balance Training: Crucial for preventing future falls, especially in the elderly demographic.

💡 Note: Always consult with a physical therapist before starting any new exercise routine following a pelvic injury to ensure that the movements are appropriate for your specific healing stage.

Preventing Future Pelvic Injuries

For those who have experienced this injury, preventing a recurrence is a top priority. Prevention strategies include:

  • Fall Prevention: Remove hazards in the home, such as loose rugs, and ensure adequate lighting.
  • Bone Health: Maintain adequate levels of Vitamin D and Calcium. For those at risk, discuss bone density screening and potential osteoporosis treatments with your doctor.
  • Exercise: Regular strength and balance training can help improve stability and reduce the likelihood of trips and falls.

Recovering from a fractured inferior pubic ramus is a process that balances rest with carefully introduced activity. While the diagnosis may feel alarming, the majority of these fractures heal successfully with conservative treatment plans. The key to a positive outcome lies in early diagnosis, strictly following weight-bearing guidelines, and engaging in a comprehensive physical therapy program. By addressing both the immediate fracture and the underlying factors—such as bone health or mobility deficits—patients can regain their independence and return to their daily activities with confidence. Always maintain open communication with your orthopedic team, as they are best equipped to monitor your progress and adjust your recovery plan to ensure the best possible long-term results.

Related Terms:

  • Inferior Pubic Rami Stress Fracture
  • Inferior Pubic Ramus CT
  • Superior and Inferior Rami Fracture
  • Pelvis X-ray Fracture
  • Sacral and Pubic Rami Fracture
  • Pelvic Fracture Treatment