Erupted Wisdom Tooth

Erupted Wisdom Tooth

Dealing with an erupted wisdom tooth can be a confusing experience for many adults. Often, people assume that because a tooth has successfully broken through the gum line, it is perfectly healthy and does not require professional intervention. However, the reality is that even an erupted wisdom tooth can harbor hidden risks, ranging from deep-seated decay to chronic gum inflammation. Understanding how these final molars function and when they become a problem is essential for maintaining long-term oral health and avoiding unexpected dental emergencies.

What Exactly Is an Erupted Wisdom Tooth?

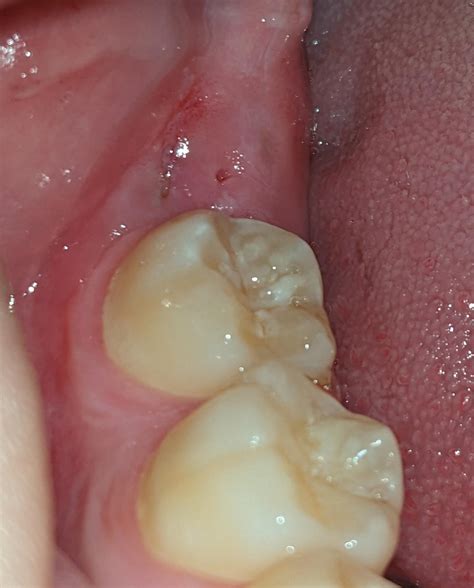
Wisdom teeth, also known as third molars, are the last set of teeth to develop in the human mouth. For most people, they emerge during the late teens or early twenties. An erupted wisdom tooth refers to a tooth that has successfully broken through the surface of the gingival tissue. Unlike an impacted tooth, which remains trapped beneath the bone or gum, an erupted tooth is visible in the oral cavity.

While visibility makes them easier to clean than impacted teeth, they are frequently positioned in the very back of the mouth, making them difficult to reach with a standard toothbrush or dental floss. This anatomical challenge often turns an otherwise "normal" tooth into a hotspot for bacteria and plaque accumulation.

Common Challenges Associated with Erupted Wisdom Teeth

Even when a tooth erupts fully, it does not guarantee a trouble-free existence. Several factors contribute to why dentists often recommend their removal regardless of their eruption status:

  • Hard-to-reach areas: Because they are located at the back of the jaw, it is very easy to miss spots when brushing, leading to plaque buildup.
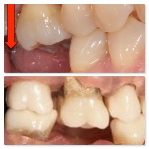
  • Pericoronitis: This is an inflammation of the gum tissue surrounding the crown of a tooth, which is common if the tooth has only partially erupted or is covered by a flap of gum tissue known as an operculum.
  • Increased risk of cavities: The grooves of wisdom teeth are often deep and narrow, making them susceptible to decay that is difficult to treat with standard fillings.
  • Crowding of existing teeth: Even if a tooth has emerged, it may exert pressure on the surrounding teeth, potentially causing misalignment or shifting over time.

Signs That Your Wisdom Tooth Needs Professional Attention

Monitoring your oral health is vital. You should consult a dentist if you notice any of the following symptoms related to your erupted wisdom tooth:

  • Persistent bad breath or a strange metallic taste in the mouth.
  • Sensitivity or sharp pain when biting down.
  • Swollen, red, or bleeding gums around the back molars.
  • Difficulty opening your mouth wide or discomfort while chewing.
  • Visible signs of decay or holes in the enamel.

Comparison: Impacted vs. Erupted Teeth

Feature Impacted Wisdom Tooth Erupted Wisdom Tooth
Visibility Hidden below gum or bone Visible in the mouth
Cleaning Difficulty Impossible to clean Difficult but possible
Infection Risk High (cysts, abscesses) Moderate (cavities, gum disease)
Treatment Surgical extraction required May require extraction or filling

💡 Note: Even if you are not currently experiencing pain, regular dental X-rays are crucial to determine the internal health of your wisdom teeth, as decay can occur between teeth where a brush cannot reach.

Maintaining Oral Hygiene Around Wisdom Teeth

If your dentist has decided that your erupted wisdom tooth can remain for the time being, you must adopt a rigorous cleaning routine to ensure it does not compromise the rest of your dental health. Here are the best practices for keeping these molars clean:

  • Use a compact-head toothbrush: A smaller brush head makes it significantly easier to navigate the tight space behind your second molars.
  • Incorporate an interdental brush: These specialized tools are designed to reach the gaps between the wisdom tooth and the tooth next to it, which is the most common site for cavities.
  • Use antimicrobial mouthwash: Rinsing with an alcohol-free, antimicrobial mouthwash can help reduce the bacterial load in the back of the mouth where brushing might be less effective.
  • Consider a water flosser: A water flosser can help dislodge food debris from the gum flaps around an erupted tooth more effectively than string floss.

The Decision-Making Process for Extraction

Deciding whether to remove an erupted wisdom tooth is not a one-size-fits-all process. Dentists weigh several variables, including the age of the patient, the position of the tooth in the jaw, and the integrity of the opposing teeth. Younger patients often recover from extractions much faster than older adults. Additionally, if the tooth is healthy, functional, and positioned correctly in the dental arch to assist with chewing, a dentist might advise keeping it. Conversely, if the tooth is frequently prone to infection or decay, extraction is usually the recommended route to prevent future complications.

💡 Note: Always ask your dentist to show you your digital X-rays so you can visualize the positioning and root development of your wisdom teeth yourself.

When Should You Seek Emergency Care?

There are instances where an erupted wisdom tooth moves from being a mild annoyance to a serious health issue. If you develop a fever, swelling that extends to the neck or throat, or difficulty swallowing, you should seek immediate dental or medical attention. These symptoms can indicate a spreading infection or abscess, which requires urgent treatment, such as antibiotics or professional drainage, to prevent more severe complications in the systemic health of your body.

Staying informed about your dental health is the best way to prevent long-term issues. While an erupted wisdom tooth might seem like it belongs in your mouth, it often brings more maintenance challenges than it is worth. By practicing excellent hygiene and keeping up with regular dental checkups, you can identify whether these teeth are assets or liabilities. Remember that consistent monitoring by a dental professional is the ultimate key to determining if your wisdom teeth should stay or be removed. Taking proactive steps today will help you maintain a healthier, more comfortable smile for years to come.

Related Terms:

  • erupted impacted wisdom tooth
  • fully erupted wisdom tooth extraction
  • impacted vs erupted wisdom teeth
  • impacted wisdom teeth
  • erupted vs impacted tooth
  • fully erupted wisdom tooth removal