Erosive Lichen Planus

Erosive Lichen Planus

Living with a chronic condition can be challenging, but understanding the nature of your diagnosis is the first step toward effective management and relief. Erosive Lichen Planus is a particularly painful variant of oral lichen planus, a condition that affects the mucosal tissues in your mouth. Unlike the milder reticular form, which often presents as painless white lacy patches, the erosive type is characterized by open sores or ulcers that can significantly impact your daily quality of life, making eating, drinking, and even speaking a difficult task.

What is Erosive Lichen Planus?

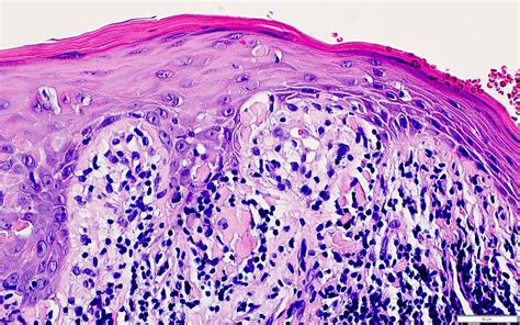
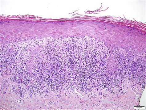
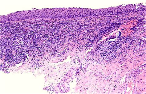
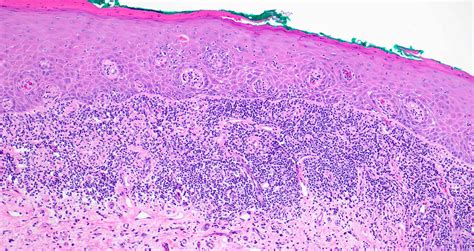
At its core, Erosive Lichen Planus is an autoimmune inflammatory condition. While the exact cause remains unknown, it occurs when the body's immune system mistakenly attacks the lining cells of the mucous membranes. This persistent inflammation leads to the breakdown of the tissue, resulting in painful, red, and eroded areas that are often rimmed with white, radiating lines known as Wickham striae. Because it is a chronic condition, patients often experience periods of remission followed by painful flares.

Identifying the condition early is vital, as the chronic inflammation and constant cell turnover associated with this form have been linked, in rare instances, to an increased risk of oral cancer. Therefore, consistent monitoring by a dental professional or an oral medicine specialist is non-negotiable for those diagnosed with the condition.

Symptoms and Clinical Presentation

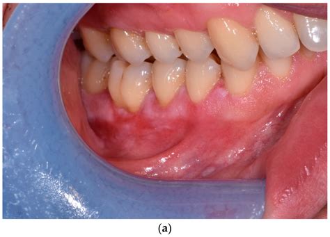
The primary symptom that sets this condition apart is the intense pain associated with the erosions. Patients often describe a burning sensation that intensifies when they consume acidic, spicy, or hot foods. The appearance can be quite alarming, often presenting as:

  • Bright red patches: Areas where the outer layer of the mucosal lining has been shed.
  • Ulcerations: Open, raw sores that bleed easily.
  • White striae: Lacy, web-like white lines surrounding the red or ulcerated areas.
  • Gingival involvement: Often manifesting as desquamative gingivitis, where the gum tissue appears raw and peels away.

⚠️ Note: If you notice persistent sores in your mouth that do not heal within two weeks, seek an evaluation from a dentist or oral pathologist immediately to rule out other mucosal diseases or malignancies.

Management and Treatment Strategies

While there is no known "cure" that makes Erosive Lichen Planus disappear permanently, the condition is highly manageable. Treatment goals focus on reducing inflammation, healing active ulcers, managing pain, and preventing secondary infections like candidiasis (yeast infection).

Treatment Type Purpose
Topical Corticosteroids To reduce immune system activity and inflammation in the affected area.
Calcineurin Inhibitors Alternative to steroids for long-term use in sensitive mucosal areas.
Systemic Medication Reserved for severe cases that do not respond to topical therapy.
Antifungal Agents Used to manage secondary infections that often thrive in inflamed tissue.

Lifestyle Adjustments for Better Comfort

Beyond clinical treatments, small lifestyle adjustments can make a profound difference in the day-to-day comfort of a patient suffering from Erosive Lichen Planus. The goal is to minimize physical and chemical trauma to the already delicate oral tissues.

  • Modify your diet: Eliminate citrus fruits, tomatoes, spicy seasonings, and jagged foods like chips or crusty bread that can physically scrape the sores.
  • Oral hygiene routine: Switch to a mild, non-foaming, and non-whitening toothpaste, as some ingredients like sodium lauryl sulfate (SLS) and essential oils can irritate sensitive oral tissues.
  • Hydration: Keep your mouth moist, as dry mouth (xerostomia) can exacerbate the discomfort of erosive lesions.
  • Stress reduction: Since stress is a well-documented trigger for flare-ups, incorporating mindfulness, yoga, or deep-breathing exercises can help manage the frequency of outbreaks.

💡 Note: Always consult with your primary care provider or specialist before starting any new supplements or alternative therapies, as they may interact with your prescribed medications.

The Importance of Regular Professional Monitoring

Because the disease state can change, you should view your dental team as your primary partners in health. Regular check-ups are not just for cleaning your teeth; they are essential for conducting an oral cancer screening. A biopsy might be required if the clinical appearance of a lesion changes or if it does not respond to standard treatment protocols. Never skip these appointments, as early detection of any tissue transformation offers the best possible prognosis.

Holistic Considerations and Future Research

Recent research continues to explore the link between the gut microbiome and immune-mediated conditions. While definitive evidence is still evolving, some practitioners suggest that maintaining a healthy, anti-inflammatory diet—rich in omega-3 fatty acids and antioxidants—may help regulate systemic immune responses. It is also important to address potential nutritional deficiencies, particularly Vitamin B12, folate, and iron, as these are sometimes found to be low in patients with chronic mucosal disorders. By taking a proactive approach to your overall health, you can often stabilize the condition and regain a sense of control over your body.

Navigating the challenges of this chronic condition requires patience and a structured approach to care. By working closely with medical professionals to find the right balance of topical or systemic treatments, you can significantly reduce the pain and frequency of flare-ups. Implementing gentle oral hygiene, avoiding dietary triggers, and maintaining a stress-aware lifestyle are equally vital components of your long-term success. Always remember that while the path may involve ups and downs, consistent monitoring and proactive symptom management are your most effective tools for living comfortably and minimizing the impact of the disease on your daily life. Stay informed, listen to your body, and ensure that you have a supportive healthcare team to guide you through every stage of your health journey.

Related Terms:

  • erosive lichen planus differential diagnosis
  • erosive lichen planus pictures
  • lichen planus
  • oral erosive lichen planus
  • erosive lichen planus mouth
  • erosive lichen planus genital