Enlarged Pancreatic Duct

Enlarged Pancreatic Duct

Discovering that you have an enlarged pancreatic duct on an imaging report can be an understandably anxious experience. The pancreas is a vital organ responsible for producing enzymes that aid digestion and hormones that regulate blood sugar. The pancreatic duct acts as the main "highway" for these enzymes to travel from the pancreas into the small intestine. When this duct becomes wider than normal—a condition often referred to in medical terms as pancreatic duct dilation—it serves as a signal to healthcare providers that something may be obstructing the normal flow of these digestive juices. Understanding what this means, why it happens, and what steps come next is essential for navigating your healthcare journey with clarity and confidence.

What Exactly Is an Enlarged Pancreatic Duct?

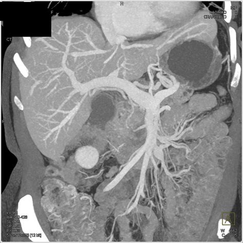
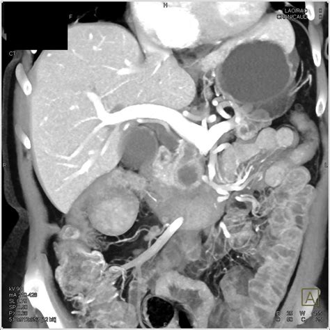
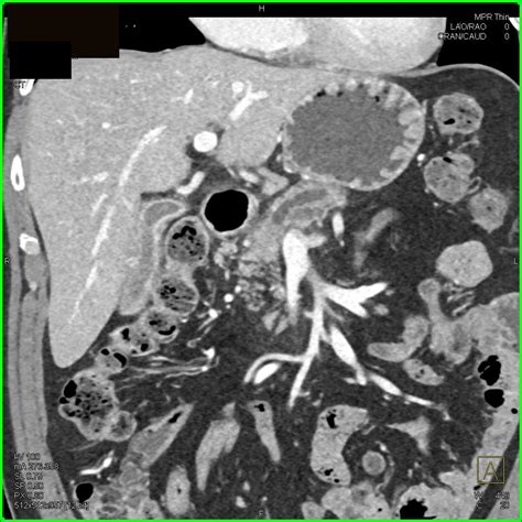
To understand dilation, one must first understand the anatomy. The main pancreatic duct, or the Duct of Wirsung, typically runs the length of the pancreas. In a healthy individual, this duct has a specific, narrow diameter. When a radiologist performs an ultrasound, CT scan, or MRI and notes an enlarged pancreatic duct, they are observing that the diameter of this duct exceeds the normal, expected measurement. This dilation is rarely a condition in itself; rather, it is usually a symptom or a sign of an underlying issue causing back-pressure or blockage within the ductal system.

Just as a clogged pipe in a house can cause the pipes behind the clog to bulge or expand due to pressure, the pancreatic duct expands when fluid cannot move freely toward the intestine. Determining the cause of this restriction is the primary goal of further diagnostic investigation.

Common Causes of Pancreatic Duct Dilation

There are several reasons why the duct may widen. Some causes are benign and manageable, while others require more urgent medical attention. Identifying the root cause is critical for determining the appropriate treatment plan. Common causes include:

  • Pancreatic Stones: Similar to kidney stones, calcifications can form within the pancreas and physically block the duct.
  • Chronic Pancreatitis: Long-term inflammation of the pancreas can cause scarring (fibrosis), which narrows the duct further down, causing the area behind it to dilate.
  • Pancreatic Cysts: Certain types of cysts, such as Intraductal Papillary Mucinous Neoplasms (IPMNs), can grow within the duct and cause it to expand.
  • Tumors or Growths: A mass, whether benign or malignant, located in the head of the pancreas can compress the duct, obstructing flow.
  • Gallstones: A gallstone may lodge in the common bile duct at the point where it joins the pancreatic duct, causing a "backup" that affects both systems.

Diagnostic Process and Evaluation

If an enlarged pancreatic duct is identified, your physician will likely order additional tests to get a clearer picture of what is happening. The goal is to determine the exact location and nature of the obstruction. The following table outlines common diagnostic tools used in this evaluation.

Diagnostic Tool What It Does
EUS (Endoscopic Ultrasound) Uses a specialized endoscope with an ultrasound probe to get high-resolution images of the pancreas from inside the stomach/duodenum.
MRCP (Magnetic Resonance Cholangiopancreatography) A non-invasive MRI technique specifically designed to visualize the bile ducts and the pancreatic duct in detail.
CT Scan with Contrast Provides detailed cross-sectional images to look for masses, inflammation, or large stones.
ERCP (Endoscopic Retrograde Cholangiopancreatography) A therapeutic procedure that allows the doctor to see the duct and potentially remove stones or place a stent to relieve blockage.

💡 Note: While these diagnostic tools are highly effective, your doctor will choose the most appropriate one based on your specific symptoms, medical history, and the findings of your initial scan.

Symptoms to Monitor

An enlarged pancreatic duct does not always cause symptoms, especially in the early stages. However, when the dilation is significant or caused by a blockage, you might experience specific warning signs. It is important to pay close attention to your body and report any of the following to your healthcare provider promptly:

  • Abdominal Pain: Often described as a persistent, dull ache in the upper abdomen that may radiate to the back.
  • Digestive Issues: Unexplained weight loss, nausea, vomiting, or diarrhea.
  • Steatorrhea: Stools that are pale, bulky, oily, or foul-smelling, which can indicate that pancreatic enzymes are not properly reaching the intestines to digest fats.
  • Jaundice: Yellowing of the skin or the whites of the eyes, which can occur if the blockage affects the bile duct as well.

Treatment Approaches

The treatment for an enlarged pancreatic duct is entirely dependent on the underlying cause identified during testing. Because the dilation is a symptom, the treatment focuses on treating the cause rather than the duct itself.

For example, if the duct is dilated due to pancreatic stones, a gastroenterologist may use an endoscopic procedure to remove the stones and restore normal flow. If the cause is a benign cyst, the doctor may recommend active surveillance (regular monitoring) to ensure it does not change over time. If a tumor is found, treatment may involve surgical intervention or other oncology-based therapies depending on the stage and type of the growth.

It is important to remember that not all dilated ducts require surgery. In many cases, especially when the dilation is mild and stable, a "watch and wait" approach combined with periodic imaging is the most appropriate course of action.

⚠️ Note: Always consult with a gastroenterologist or a pancreatic specialist if your imaging shows ductal dilation, as they have the expertise to interpret these findings in the context of your overall health.

Wrapping Up Your Health Assessment

Receiving news of an enlarged pancreatic duct requires a structured approach to evaluation, but it is not automatically cause for alarm. By working closely with a medical team to determine the cause of the dilation—whether it be inflammation, stones, or a growth—you can ensure that you receive the correct monitoring or treatment. The key takeaway is to prioritize further diagnostic investigations to rule out serious conditions and to monitor your physical symptoms carefully. With modern diagnostic imaging and specialized endoscopic procedures, doctors are well-equipped to manage these findings effectively. Taking proactive steps, attending follow-up appointments, and maintaining open communication with your healthcare provider will empower you to manage your pancreatic health successfully and maintain your long-term well-being.

Related Terms:

  • what causes an enlarged pancreas
  • enlarged pancreatic duct icd 10
  • cause of pancreatitis in humans
  • pancreatic enlargement symptoms
  • acute pancreatitis pain location
  • 7 symptoms of pancreas problems