Endometrial Cancer Ultrasound

Endometrial Cancer Ultrasound

When it comes to diagnosing gynecological health concerns, medical professionals rely on a variety of diagnostic tools. One of the most frequently utilized and non-invasive methods in the evaluation of abnormal uterine bleeding, especially in postmenopausal individuals, is an Endometrial Cancer Ultrasound. By providing a clear, real-time look at the lining of the uterus, this imaging technology helps physicians assess risk factors and determine whether further, more invasive testing—such as a biopsy—is necessary. Understanding how this procedure works, what doctors look for, and its overall efficacy is vital for patients navigating these health concerns.

Understanding the Role of Ultrasound in Endometrial Health

The endometrium is the inner lining of the uterus, which naturally thickens and sheds during a woman's reproductive years. In postmenopausal women, however, this lining should remain thin. When bleeding occurs after menopause, or if there is concern regarding uterine abnormalities, an Endometrial Cancer Ultrasound is typically the first line of defense. This imaging technique uses high-frequency sound waves to create detailed images of the uterus, allowing radiologists and gynecologists to measure the thickness of the endometrium, often referred to as the endometrial stripe.

While an ultrasound cannot definitively diagnose cancer on its own, it serves as an excellent triage tool. If the lining appears thicker than expected, it acts as a red flag, prompting further investigation. This helps prevent unnecessary, invasive procedures for patients whose uterine lining is within normal limits.

⚠️ Note: Always discuss your specific symptoms with your healthcare provider. An ultrasound is just one piece of the diagnostic puzzle and must be interpreted in the context of your overall medical history.

The Procedure: What to Expect

There are two primary types of ultrasound used to examine the endometrium: transabdominal and transvaginal. For the best visualization of the uterus, the transvaginal approach is generally preferred.

  • Transabdominal Ultrasound: A transducer is moved over the lower abdomen. This usually requires a full bladder to act as an acoustic window, providing a wider view of the pelvic organs.
  • Transvaginal Ultrasound: A specialized, slim transducer is inserted into the vagina. This provides much higher resolution images, particularly of the endometrium, because the transducer is positioned closer to the uterus.

In many cases, a doctor may suggest a saline infusion sonohysterography (SIS). During this procedure, sterile saline is gently injected into the uterine cavity through a thin catheter. This fluid expands the uterine cavity, allowing the ultrasound to highlight potential polyps, fibroids, or thickened areas of the lining that might be missed on a standard scan.

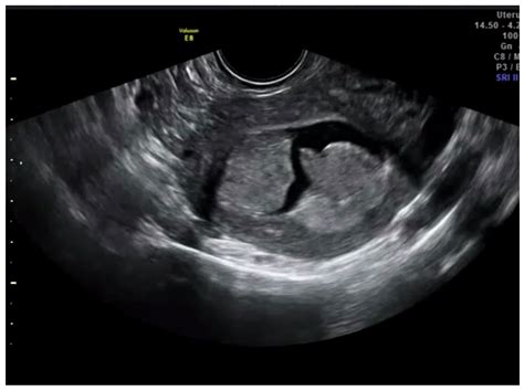
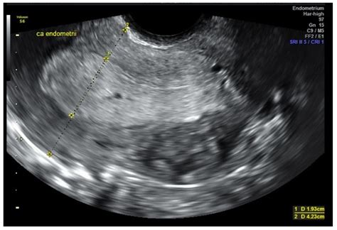
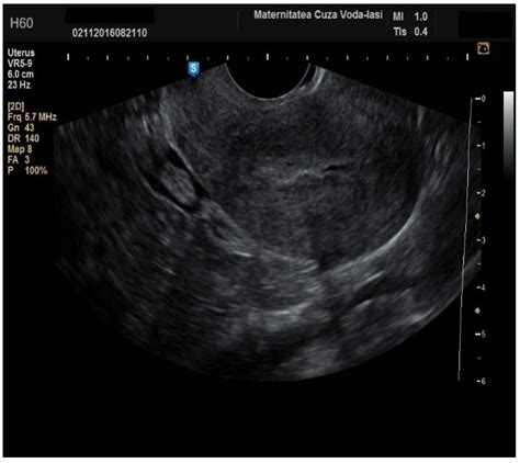
Interpreting Ultrasound Results: Measuring the Endometrial Stripe

The primary metric used during an Endometrial Cancer Ultrasound is the thickness of the endometrial stripe. Doctors measure the thickest part of the lining in a longitudinal plane. While thresholds can vary based on individual risk factors, general guidelines exist to help guide clinical decision-making.

Clinical Status Endometrial Thickness Guideline Action
Postmenopausal (with bleeding) 4-5 mm or less Low risk; observation may be sufficient.
Postmenopausal (with bleeding) Greater than 5 mm Further investigation (biopsy) recommended.
Asymptomatic (incidental finding) Often higher threshold Individualized clinical assessment.

It is important to emphasize that these measurements are guidelines, not absolute rules. A thin endometrium does not completely rule out malignancy, and a thick endometrium does not automatically mean cancer is present. Conditions such as benign polyps, hormone replacement therapy usage, or hormonal imbalances can also cause the lining to appear thickened.

Limitations of Ultrasound Technology

While an Endometrial Cancer Ultrasound is highly effective, it has limitations that patients and providers must understand. Firstly, it is a morphological assessment; it looks at structure, not cellular function. Therefore, it cannot differentiate between benign hyperplasia (an overgrowth of cells), polyps, or malignant cells.

Secondly, visualization can be impaired in certain patients. Factors such as uterine position (e.g., a retroverted uterus), obesity, or large fibroids can make it challenging to obtain a clear, accurate measurement of the endometrial stripe. In these instances, the physician may recommend alternative imaging, such as magnetic resonance imaging (MRI), or proceed directly to an endometrial biopsy to ensure an accurate diagnosis.

Next Steps Following an Ultrasound

If an ultrasound reveals a thickened endometrium or suspicious findings, the next logical step is usually a histological evaluation. This is achieved through an endometrial biopsy. This is a quick procedure, often done in the office, where a thin instrument is used to collect a small sample of the uterine lining, which is then sent to a pathologist for examination.

The pathology report from the biopsy is the gold standard for diagnosis. It confirms or rules out endometrial cancer or hyperplasia. The ultrasound findings, while not definitive, provide crucial guidance to the gynecologist on how urgently or thoroughly the biopsy needs to be performed, especially if the patient is experiencing active bleeding.

💡 Note: A negative ultrasound result in a patient with persistent, unexplained postmenopausal bleeding does not always end the diagnostic process. Persistent symptoms often necessitate a biopsy regardless of the ultrasound findings.

The Importance of Early Detection

The primary benefit of utilizing imaging technology like an Endometrial Cancer Ultrasound is the potential for early detection. When endometrial cancer is caught in its earliest stages, the prognosis is generally very favorable. Abnormal uterine bleeding is the most common symptom, and taking action by scheduling an ultrasound when this occurs can be life-saving.

By effectively triaging patients based on ultrasound findings, healthcare providers can ensure that those who truly need interventions get them promptly, while those with benign findings can be reassured. This balance is key to both patient care and the efficient use of healthcare resources.

In summary, while an ultrasound of the endometrium is not a definitive test for cancer, it is an indispensable tool for evaluating the health of the uterine lining. It allows clinicians to visualize structural abnormalities, measure endometrial thickness, and determine the necessary next steps for a patient’s care. Whether used as a first-line assessment for postmenopausal bleeding or as a follow-up to other symptoms, this imaging technique provides critical data to guide medical decisions. Patients should feel encouraged to advocate for their health, prioritize routine check-ups, and promptly consult with a gynecologist if they experience any concerning symptoms, knowing that modern diagnostic methods are well-equipped to assist in early and accurate evaluations.

Related Terms:

  • pelvic ultrasound images cancer
  • endometrial stages ultrasound
  • how serious is endometrial cancer
  • endometrial mass on ultrasound
  • ca 125 for endometrial cancer
  • ultrasound images of endometrial carcinoma